Suppr超能文献

通过 COP1/c-Jun/HDAC3 轴增强 PD-L1 启动子上的组蛋白 H3 乙酰化对于耐药癌细胞中 PD-L1 的表达是必需的。

Enhanced histone H3 acetylation of the PD-L1 promoter via the COP1/c-Jun/HDAC3 axis is required for PD-L1 expression in drug-resistant cancer cells.

机构信息

Laboratory Medicine Center, Nanfang Hospital, Southern Medical University, Guangzhou, 510515, China.

Department of Microbial and Biochemical Pharmacy, School of Pharmaceutical Sciences, Sun Yat-sen University, Guangzhou, 510006, China.

出版信息

J Exp Clin Cancer Res. 2020 Feb 5;39(1):29. doi: 10.1186/s13046-020-1536-x.

Abstract

BACKGROUND

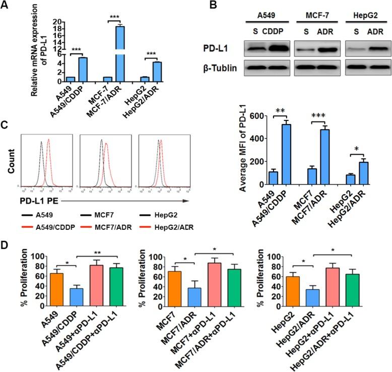
Drug resistance is a major obstacle to treating cancers because it desensitizes cancer cells to chemotherapy. Recently, attention has been focused on changes in the tumor immune landscape after the acquisition of drug resistance. Programmed death-ligand-1 (PD-L1) is an immune suppressor that inhibits T cell-based immunity. Evidence has shown that acquired chemoresistance is associated with increased PD-L1 expression in cancer cells. However, the underlying mechanism is still largely unknown.

METHODS

PD-L1 expression in three drug-resistant A549/CDDP, MCF7/ADR and HepG2/ADR cell lines was detected by qRT-PCR, western blotting and flow cytometry, and a T cell proliferation assay was performed to test its functional significance. Then, the potential roles of JNK/c-Jun, histone H3 acetylation, histone deacetylase 3 (HDAC3) and the E3 ligase COP1 in the PD-L1 increase were explored through ChIP assays and gain- and loss-of-function gene studies. Furthermore, murine xenograft tumor models were used to verify the role of JNK/c-Jun and HDAC3 in PD-L1 expression in A549/CDDP cells in vivo. Finally, the correlations of PD-L1, c-Jun and HDAC3 expression in clinical cisplatin-sensitive and cisplatin-resistant non-small cell lung cancer (NSCLC) tissues were analyzed by immunohistochemistry and Pearson's correlation coefficient.

RESULTS

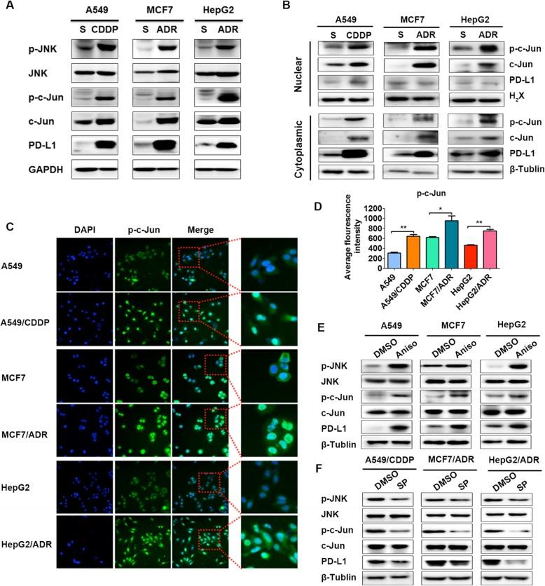
PD-L1 expression was significantly increased in A549/CDDP, MCF7/ADR and HepG2/ADR cells and was attributed mainly to enhanced JNK/c-Jun signaling activation. Mechanistically, decreased COP1 increased c-Jun accumulation, which subsequently inhibited HDAC3 expression and thereby enhanced histone H3 acetylation of the PD-L1 promoter. Furthermore, PD-L1 expression could be inhibited by JNK/c-Jun inhibition or HDAC3 overexpression in vivo, which could largely reverse inhibited CD3 T cell proliferation in vitro. PD-L1 expression was significantly increased in the cisplatin-resistant clinical NSCLC samples and positively correlated with c-Jun expression but negatively correlated with HDAC3 expression.

CONCLUSIONS

Enhanced histone H3 acetylation of the PD-L1 promoter via the COP1/c-Jun/HDAC3 axis was crucial for the PD-L1 increase in drug-resistant cancer cells. Our study reveals a novel regulatory network for the PD-L1 increase in drug-resistant cancer cells and that combined PD-L1-targeting strategies could improve T cell-based immunity in drug-resistant cancers.

摘要

背景

耐药性是治疗癌症的主要障碍,因为它使癌细胞对化疗药物不敏感。最近,人们关注的焦点是耐药性获得后肿瘤免疫景观的变化。程序性死亡配体-1(PD-L1)是一种免疫抑制剂,可抑制基于 T 细胞的免疫。有证据表明,获得性化疗耐药与癌细胞中 PD-L1 表达增加有关。然而,其潜在机制在很大程度上仍不清楚。

方法

通过 qRT-PCR、western blot 和流式细胞术检测三种耐药 A549/CDDP、MCF7/ADR 和 HepG2/ADR 细胞系中 PD-L1 的表达,并进行 T 细胞增殖试验以测试其功能意义。然后,通过 ChIP 试验和 gain- 和 loss-of-function 基因研究探索 JNK/c-Jun、组蛋白 H3 乙酰化、组蛋白去乙酰化酶 3(HDAC3)和 E3 连接酶 COP1 在 PD-L1 增加中的潜在作用。此外,使用小鼠异种移植肿瘤模型验证 JNK/c-Jun 和 HDAC3 在 A549/CDDP 细胞中体内 PD-L1 表达的作用。最后,通过免疫组化和 Pearson 相关系数分析临床顺铂敏感和耐药非小细胞肺癌(NSCLC)组织中 PD-L1、c-Jun 和 HDAC3 的表达相关性。

结果

PD-L1 在 A549/CDDP、MCF7/ADR 和 HepG2/ADR 细胞中的表达明显增加,主要归因于 JNK/c-Jun 信号通路的激活增强。在机制上,COP1 减少增加了 c-Jun 的积累,进而抑制了 HDAC3 的表达,从而增强了 PD-L1 启动子的组蛋白 H3 乙酰化。此外,体内抑制 JNK/c-Jun 或过表达 HDAC3 可抑制 PD-L1 表达,在体外可在很大程度上逆转抑制的 CD3 T 细胞增殖。在顺铂耐药的临床 NSCLC 样本中,PD-L1 的表达明显增加,与 c-Jun 表达呈正相关,与 HDAC3 表达呈负相关。

结论

通过 COP1/c-Jun/HDAC3 轴增强 PD-L1 启动子的组蛋白 H3 乙酰化对耐药癌细胞中 PD-L1 的增加至关重要。我们的研究揭示了耐药癌细胞中 PD-L1 增加的新调控网络,联合 PD-L1 靶向策略可提高耐药性癌症中的 T 细胞免疫。

https://cdn.ncbi.nlm.nih.gov/pmc/blobs/ee0b/7003365/8505b32564a3/13046_2020_1536_Fig1_HTML.jpg

文献AI研究员

20分钟写一篇综述,助力文献阅读效率提升50倍。

立即体验

用中文搜PubMed

大模型驱动的PubMed中文搜索引擎

马上搜索

文档翻译

学术文献翻译模型,支持多种主流文档格式。

立即体验