Suppr超能文献

鼠源 Na1.7、Na1.8 和 Na1.9 在急性瘙痒信号转导中的互补作用。

Complementary roles of murine Na1.7, Na1.8 and Na1.9 in acute itch signalling.

机构信息

Department of Medicine 1, Friedrich-Alexander-University Erlangen-Nürnberg, Ulmenweg 18, Erlangen, Germany.

Institute of Physiology and Pathophysiology, Friedrich-Alexander-University Erlangen-Nürnberg, Universitätsstrasse 17, Erlangen, Germany.

出版信息

Sci Rep. 2020 Feb 11;10(1):2326. doi: 10.1038/s41598-020-59092-2.

Abstract

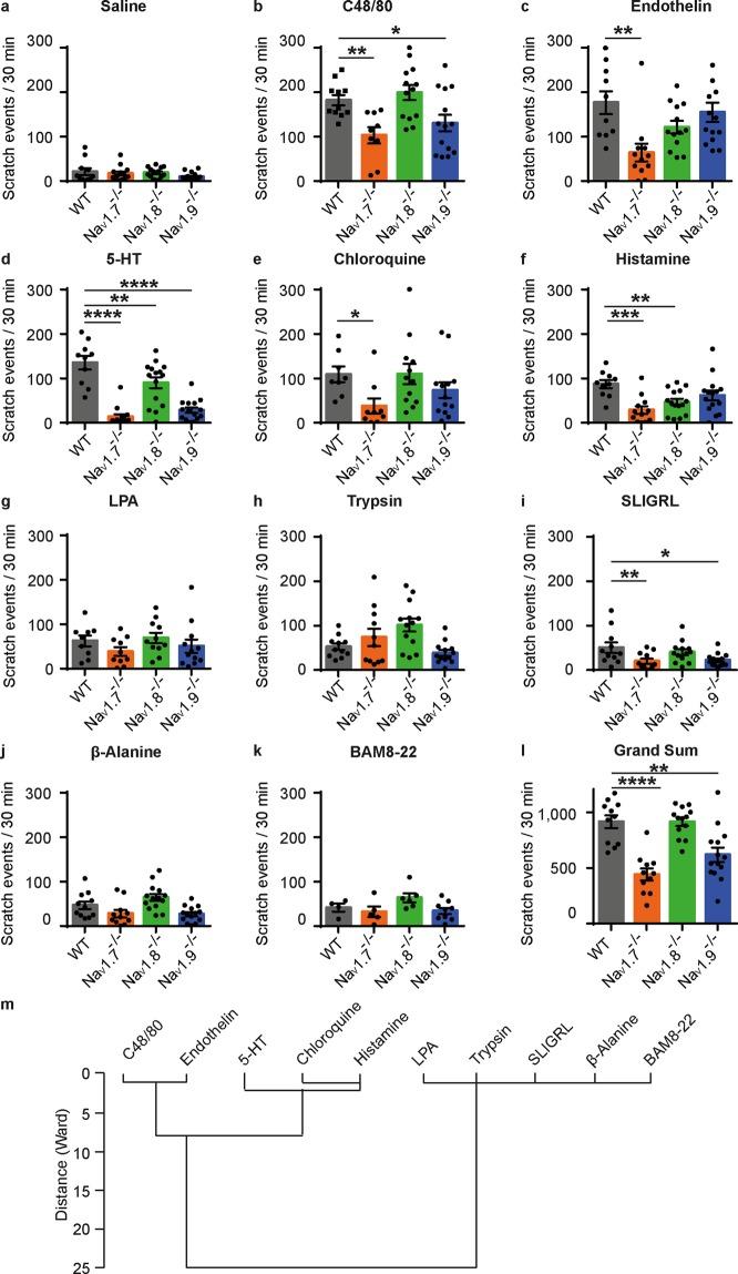
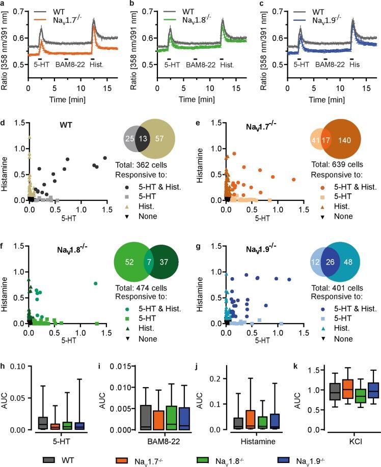
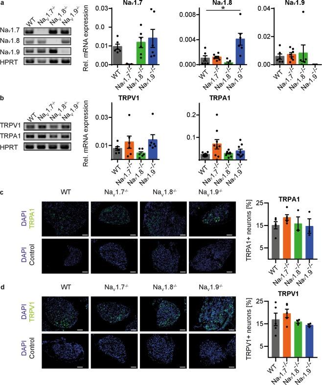
Acute pruritus occurs in various disorders. Despite severe repercussions on quality of life treatment options remain limited. Voltage-gated sodium channels (Na) are indispensable for transformation and propagation of sensory signals implicating them as drug targets. Here, Na1.7, 1.8 and 1.9 were compared for their contribution to itch by analysing Na-specific knockout mice. Acute pruritus was induced by a comprehensive panel of pruritogens (C48/80, endothelin, 5-HT, chloroquine, histamine, lysophosphatidic acid, trypsin, SLIGRL, β-alanine, BAM8-22), and scratching was assessed using a magnet-based recording technology. We report an unexpected stimulus-dependent diversity in Na channel-mediated itch signalling. Na1.7 showed substantial scratch reduction mainly towards strong pruritogens. Na1.8 impaired histamine and 5-HT-induced scratching while Na1.9 was involved in itch signalling towards 5-HT, C48/80 and SLIGRL. Furthermore, similar microfluorimetric calcium responses of sensory neurons and expression of itch-related TRP channels suggest no change in sensory transduction but in action potential transformation and conduction. The cumulative sum of scratching over all pruritogens confirmed a leading role of Na1.7 and indicated an overall contribution of Na1.9. Beside the proposed general role of Na1.7 and 1.9 in itch signalling, scrutiny of time courses suggested Na1.8 to sustain prolonged itching. Therefore, Na1.7 and 1.9 may represent targets in pruritus therapy.

摘要

急性瘙痒可发生于多种疾病。尽管严重影响生活质量,但治疗选择仍然有限。电压门控钠离子通道(Na)对于感觉信号的转换和传播是必不可少的,这使其成为药物靶点。在这里,通过分析 Na 特异性敲除小鼠,比较 Na1.7、1.8 和 1.9 对瘙痒的贡献。通过使用综合瘙痒原(C48/80、内皮素、5-HT、氯喹、组氨酸、溶血磷脂酸、胰蛋白酶、SLIGRL、β-丙氨酸、BAM8-22)诱导急性瘙痒,并使用基于磁铁的记录技术评估搔抓。我们报告了 Na 通道介导的瘙痒信号在刺激依赖性方面的意外多样性。Na1.7 对强瘙痒原具有显著的止痒作用。Na1.8 损害组胺和 5-HT 诱导的搔抓,而 Na1.9 参与 5-HT、C48/80 和 SLIGRL 诱导的瘙痒信号。此外,感觉神经元的类似微荧光钙反应和瘙痒相关 TRP 通道的表达表明,感觉转导没有变化,而是动作电位的转换和传导发生了变化。所有瘙痒原引起的搔抓总和进一步证实了 Na1.7 的主导作用,并表明 Na1.9 总体上参与了瘙痒信号。除了 Na1.7 和 1.9 在瘙痒信号中的拟议的一般作用外,对时间过程的仔细研究表明 Na1.8 可维持持续的瘙痒。因此,Na1.7 和 1.9 可能是瘙痒治疗的靶点。

https://cdn.ncbi.nlm.nih.gov/pmc/blobs/6ed2/7012836/3bce97aacadb/41598_2020_59092_Fig1_HTML.jpg

文献AI研究员

20分钟写一篇综述,助力文献阅读效率提升50倍。

立即体验

用中文搜PubMed

大模型驱动的PubMed中文搜索引擎

马上搜索

文档翻译

学术文献翻译模型,支持多种主流文档格式。

立即体验