Suppr超能文献

一种新型抗菌化合物预防继发龋

Prevention of secondary caries by a new antibacterial compound.

作者信息

Eskandarizadeh Ali, Mohammadzadeh Iman, Shahravan Arash, Bavafa Mohammad, Kakooei Sina, Torabi Molouk

机构信息

Oral and Dental Disease Research Center, Kerman University of Medical Sciences, Kerman, Iran.

Department of Engineering, Ayandegan Institute of Higher Education, Tonekabon, Iran.

出版信息

Dent Res J (Isfahan). 2020 Jan 21;17(1):40-47. eCollection 2020 Jan-Feb.

Abstract

BACKGROUND

Since secondary caries is one of the main problems of dental composites. The creation of an antibacterial property in these composites is essential. The objective of this study was to synthesize 3-(2, 5-dimethylfuran-3-yl)-1H-pyrazole-5(4H)-one and check its biocompatibility and antibacterial properties in flowable dental composites.

MATERIALS AND METHODS

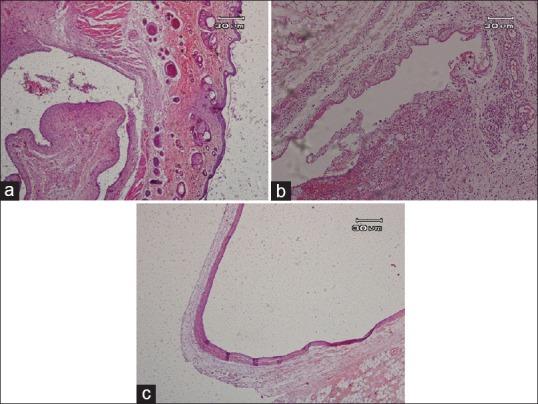
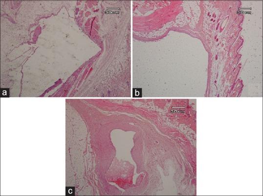
In this animal study, the antibacterial activity of flowable resin composites containing 0-5 wt% 3-(2,5-dimethylfuran-3-yl)-1H-pyrazole-5(4H)-one was investigated by using agar diffusion and direct contact tests on the cured resins. Statistical analysis was performed using one-way ANOVA test ( < 0.001). Thirty male albino Wistar rats were used, weighing 200-250 g. Animals were randomly divided into three groups of ten; each animal received three implants, 3-(2, 5-dimethylfuran-3-yl)-1H-pyrazole-5(4H)-one, penicillin V, and an empty polyethylene tube. A pathologist, without knowing the type of material tested and the timing of the test, examined the samples. Statistical analysis was performed using Kruskal-Wallis test ( < 0.001).

RESULTS

According to our findings, although the agar diffusion test reveals no significant difference between the groups, the direct contact test demonstrates that, by increasing the 3-(2,5-dimethylfuran-3-yl)-1H-pyrazole-5(4H)-one content, the bacterial growth was significantly diminished and the 3-(2,5-dimethylfuran-3-yl)-1H-pyrazole-5(4H)-one has a good biocompatibility ( < 0.05).

CONCLUSION

Incorporation of 3-(2,5-dimethylfuran-3-yl)-IH-pyrazole-5(4H)-one into flowable resin composites can be useful to prevent activity.

摘要

背景

由于继发龋是牙科复合材料的主要问题之一。在这些复合材料中赋予抗菌性能至关重要。本研究的目的是合成3-(2,5-二甲基呋喃-3-基)-1H-吡唑-5(4H)-酮,并检测其在可流动牙科复合材料中的生物相容性和抗菌性能。

材料与方法

在本动物研究中,通过对固化树脂进行琼脂扩散试验和直接接触试验,研究了含0-5 wt% 3-(2,5-二甲基呋喃-3-基)-1H-吡唑-5(4H)-酮的可流动树脂复合材料的抗菌活性。使用单向方差分析进行统计分析(<0.001)。使用了30只体重200-250 g的雄性白化Wistar大鼠。动物被随机分为三组,每组十只;每只动物接受三个植入物,分别为3-(2,5-二甲基呋喃-3-基)-1H-吡唑-5(4H)-酮、青霉素V和一个空的聚乙烯管。一名病理学家在不知道测试材料类型和测试时间的情况下检查样本。使用Kruskal-Wallis检验进行统计分析(<0.001)。

结果

根据我们的研究结果,尽管琼脂扩散试验显示各组之间无显著差异,但直接接触试验表明,随着3-(2,5-二甲基呋喃-3-基)-1H-吡唑-5(4H)-酮含量的增加,细菌生长显著减少,且3-(2,5-二甲基呋喃-3-基)-1H-吡唑-5(4H)-酮具有良好的生物相容性(<0.05)。

结论

将3-(2,5-二甲基呋喃-3-基)-1H-吡唑-5(4H)-酮掺入可流动树脂复合材料中有助于预防 活性。 (原文此处“ activity”表述不完整)

https://cdn.ncbi.nlm.nih.gov/pmc/blobs/8fe3/7001570/25d9d210853d/DRJ-17-40-g001.jpg

文献AI研究员

20分钟写一篇综述,助力文献阅读效率提升50倍。

立即体验

用中文搜PubMed

大模型驱动的PubMed中文搜索引擎

马上搜索

文档翻译

学术文献翻译模型,支持多种主流文档格式。

立即体验