Suppr超能文献

评估 CD-1 小鼠在妊娠期接触全氟辛酸(PFOA)或六氟丙烯氧化物二聚体酸(HFPO-DA 或 GenX)后的母体、胚胎和胎盘效应。

Evaluation of Maternal, Embryo, and Placental Effects in CD-1 Mice following Gestational Exposure to Perfluorooctanoic Acid (PFOA) or Hexafluoropropylene Oxide Dimer Acid (HFPO-DA or GenX).

机构信息

Curriculum in Toxicology and Environmental Medicine, University of North Carolina at Chapel Hill, Chapel Hill, North Carolina, USA.

Division of the National Toxicology Program (DNTP), NTP Laboratory, National Institute of Environmental Health Sciences (NIEHS), National Institutes of Health (NIH), Research Triangle Park, North Carolina, USA.

出版信息

Environ Health Perspect. 2020 Feb;128(2):27006. doi: 10.1289/EHP6233. Epub 2020 Feb 13.

Abstract

BACKGROUND

Perfluorooctanoic acid (PFOA) is a poly- and perfluoroalkyl substance (PFAS) associated with adverse pregnancy outcomes in mice and humans, but little is known regarding one of its replacements, hexafluoropropylene oxide dimer acid (HFPO-DA, referred to here as GenX), both of which have been reported as contaminants in drinking water.

OBJECTIVES

We compared the toxicity of PFOA and GenX in pregnant mice and their developing embryo-placenta units, with a specific focus on the placenta as a hypothesized target.

METHODS

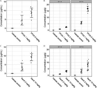
Pregnant CD-1 mice were exposed daily to PFOA (0, 1, or ) or GenX (0, 2, or ) via oral gavage from embryonic day (E) 1.5 to 11.5 or 17.5 to evaluate exposure effects on the dam and embryo-placenta unit. Gestational weight gain (GWG), maternal clinical chemistry, maternal liver histopathology, placental histopathology, embryo weight, placental weight, internal chemical dosimetry, and placental thyroid hormone levels were determined.

RESULTS

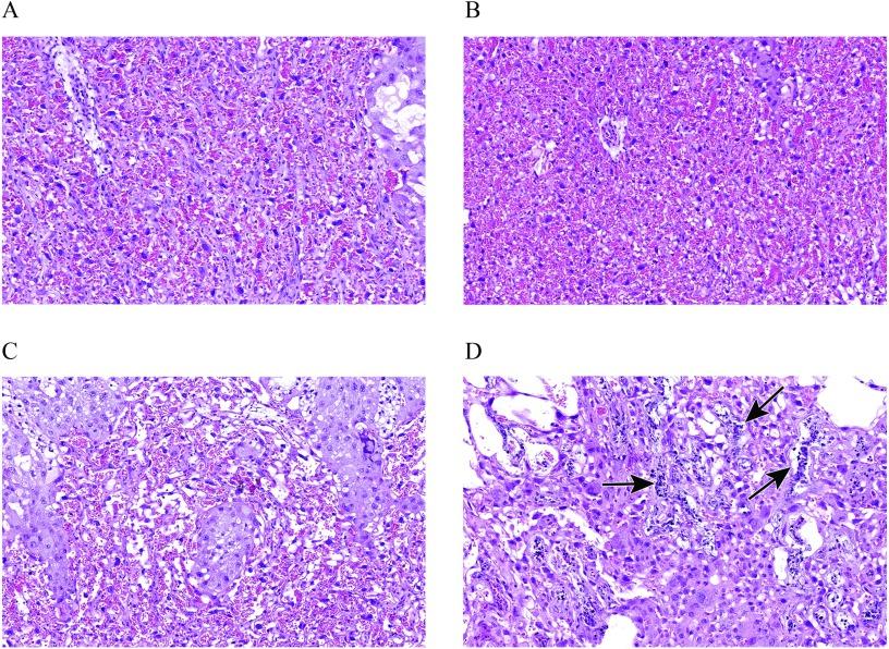
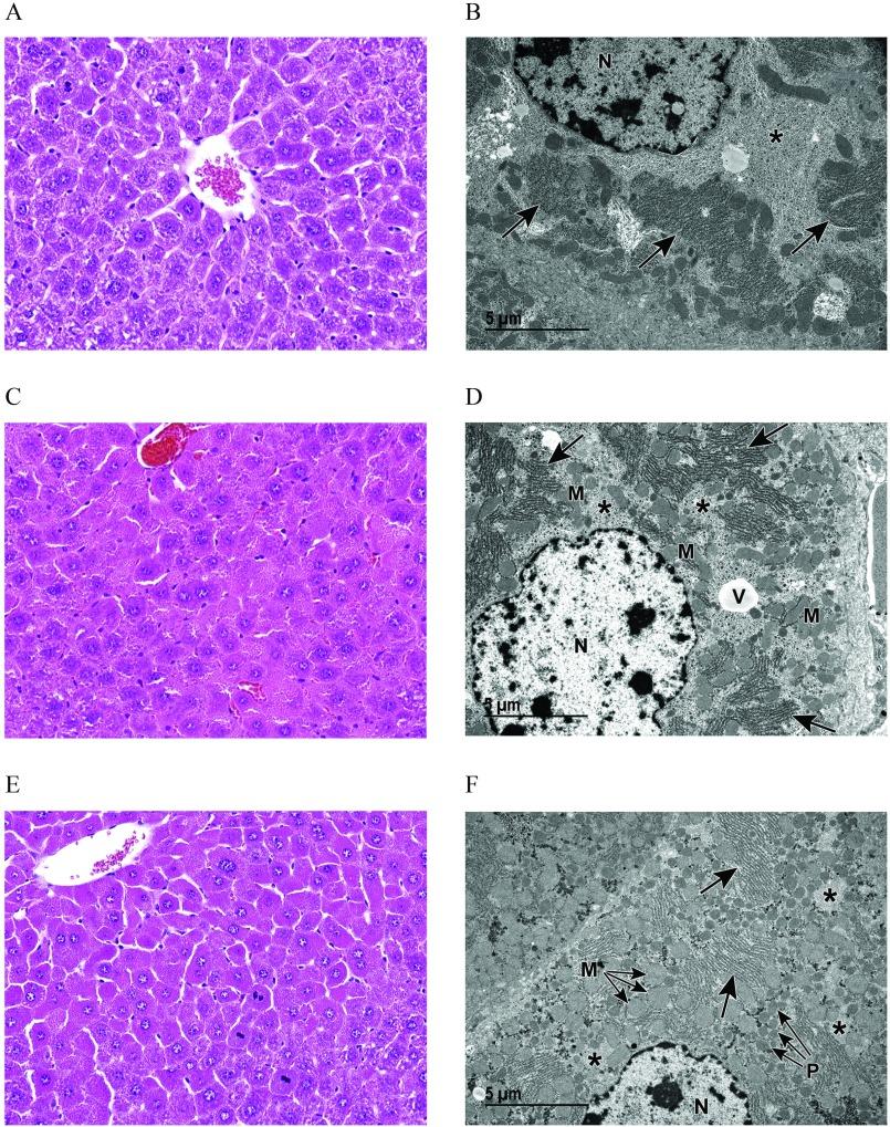
Exposure to GenX or PFOA resulted in increased GWG, with increase in weight most prominent and of shortest latency with GenX exposure. Embryo weight was significantly lower after exposure to PFOA (9.4% decrease relative to controls). Effect sizes were similar for higher doses ( PFOA and GenX) and lower doses ( PFOA and GenX), including higher maternal liver weights, changes in liver histopathology, higher placental weights and embryo-placenta weight ratios, and greater incidence of placental abnormalities relative to controls. Histopathological features in placentas suggested that PFOA and GenX may exhibit divergent mechanisms of toxicity in the embryo-placenta unit, whereas PFOA- and GenX-exposed livers shared a similar constellation of adverse pathological features.

CONCLUSIONS

Gestational exposure to GenX recapitulated many documented effects of PFOA in CD-1 mice, regardless of its much shorter reported half-life; however, adverse effects toward the placenta appear to have compound-specific signatures. https://doi.org/10.1289/EHP6233.

摘要

背景

全氟辛酸(PFOA)是一种多氟和全氟烷基物质(PFAS),与小鼠和人类的不良妊娠结局有关,但人们对其替代品六氟丙烯氧化物二聚酸(HFPO-DA,这里称为 GenX)知之甚少,这两种物质都曾被报道为饮用水中的污染物。

目的

我们比较了 PFOA 和 GenX 在怀孕小鼠及其胚胎胎盘单位中的毒性,特别关注胎盘作为假设的靶标。

方法

从胚胎第 1.5 天到 11.5 天或第 17.5 天,通过口服灌胃的方式,每天向 CD-1 怀孕小鼠暴露于 PFOA(0、1 或 )或 GenX(0、2 或 )中,以评估对母体和胚胎胎盘单位的暴露效应。测定妊娠期体重增加(GWG)、母体临床化学、母体肝组织病理学、胎盘组织病理学、胚胎重量、胎盘重量、内部分子剂量和胎盘甲状腺激素水平。

结果

暴露于 GenX 或 PFOA 导致 GWG 增加,而 GenX 暴露的体重增加最为明显,潜伏期最短。与对照组相比,暴露于 PFOA 后胚胎重量显著降低(相对降低 9.4%)。高剂量(PFOA 和 GenX)和低剂量(PFOA 和 GenX)的效应大小相似,包括母体肝脏重量增加、肝组织病理学改变、胎盘重量和胚胎胎盘重量比增加以及胎盘异常发生率增加与对照组相比。胎盘的组织病理学特征表明,PFOA 和 GenX 可能在胚胎胎盘单位中表现出不同的毒性机制,而 PFOA 和 GenX 暴露的肝脏具有相似的不良病理特征组合。

结论

无论 GenX 的报告半衰期较短,妊娠期暴露于 GenX 均可重现 PFOA 在 CD-1 小鼠中的许多已证实的影响;然而,对胎盘的不良影响似乎具有特定于化合物的特征。https://doi.org/10.1289/EHP6233.

https://cdn.ncbi.nlm.nih.gov/pmc/blobs/1ac2/7064328/47bfb4ca5476/ehp-128-027006-g001.jpg

文献AI研究员

20分钟写一篇综述,助力文献阅读效率提升50倍。

立即体验

用中文搜PubMed

大模型驱动的PubMed中文搜索引擎

马上搜索

文档翻译

学术文献翻译模型,支持多种主流文档格式。

立即体验