Suppr超能文献

新型冠状病毒 2019 年 SARS-CoV-2 患者的影像学和临床特征。

Imaging and clinical features of patients with 2019 novel coronavirus SARS-CoV-2.

机构信息

Department of Medical Imaging Center, The First Affiliated Hospital, Jinan University, No. 613, Huangpu Road West, Tianhe District, Guangzhou, 510630, Guangdong Province, China.

Department of Radiology, Guangzhou Eighth People's Hospital, Guangzhou Medical University, No. 8, Huaying Road, Baiyun District, Guangzhou, 510060, Guangdong Province, China.

出版信息

Eur J Nucl Med Mol Imaging. 2020 May;47(5):1275-1280. doi: 10.1007/s00259-020-04735-9. Epub 2020 Feb 28.

Abstract

BACKGROUND

The pneumonia caused by the 2019 novel coronavirus (SARS-CoV-2, also called 2019-nCoV) recently break out in Wuhan, China, and was named as COVID-19. With the spread of the disease, similar cases have also been confirmed in other regions of China. We aimed to report the imaging and clinical characteristics of these patients infected with SARS-CoV-2 in Guangzhou, China.

METHODS

All patients with laboratory-identified SARS-CoV-2 infection by real-time polymerase chain reaction (PCR) were collected between January 23, 2020, and February 4, 2020, in a designated hospital (Guangzhou Eighth People's Hospital). This analysis included 90 patients (39 men and 51 women; median age, 50 years (age range, 18-86 years). All the included SARS-CoV-2-infected patients underwent non-contrast enhanced chest computed tomography (CT). We analyzed the clinical characteristics of the patients, as well as the distribution characteristics, pattern, morphology, and accompanying manifestations of lung lesions. In addition, after 1-6 days (mean 3.5 days), follow-up chest CT images were evaluated to assess radiological evolution.

FINDINGS

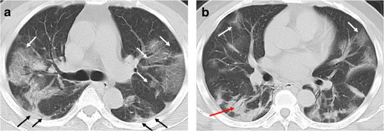
The majority of infected patients had a history of exposure in Wuhan or to infected patients and mostly presented with fever and cough. More than half of the patients presented bilateral, multifocal lung lesions, with peripheral distribution, and 53 (59%) patients had more than two lobes involved. Of all included patients, COVID-19 pneumonia presented with ground glass opacities in 65 (72%), consolidation in 12 (13%), crazy paving pattern in 11 (12%), interlobular thickening in 33 (37%), adjacent pleura thickening in 50 (56%), and linear opacities combined in 55 (61%). Pleural effusion, pericardial effusion, and lymphadenopathy were uncommon findings. In addition, baseline chest CT did not show any abnormalities in 21 patients (23%), but 3 patients presented bilateral ground glass opacities on the second CT after 3-4 days.

CONCLUSION

SARS-CoV-2 infection can be confirmed based on the patient's history, clinical manifestations, imaging characteristics, and laboratory tests. Chest CT examination plays an important role in the initial diagnosis of the novel coronavirus pneumonia. Multiple patchy ground glass opacities in bilateral multiple lobular with periphery distribution are typical chest CT imaging features of the COVID-19 pneumonia.

摘要

背景

近期在中国武汉爆发的由 2019 年新型冠状病毒(SARS-CoV-2,也称为 2019-nCoV)引起的肺炎,被命名为 COVID-19。随着疾病的传播,中国其他地区也确诊了类似病例。我们旨在报告在中国广州感染 SARS-CoV-2 的这些患者的影像学和临床特征。

方法

2020 年 1 月 23 日至 2 月 4 日,我们在一家指定医院(广州第八人民医院)收集了所有经实时聚合酶链反应(PCR)检测证实的 SARS-CoV-2 感染患者。本分析包括 90 例患者(39 名男性和 51 名女性;中位年龄 50 岁(年龄范围 18-86 岁)。所有纳入的 SARS-CoV-2 感染患者均接受非增强胸部 CT 检查。我们分析了患者的临床特征,以及肺部病变的分布特征、模式、形态和伴随表现。此外,在 1-6 天后(平均 3.5 天),评估随访胸部 CT 图像以评估影像学演变。

结果

大多数感染患者有武汉接触史或感染患者接触史,主要表现为发热和咳嗽。超过一半的患者表现为双侧、多灶性肺部病变,呈外周分布,53 例(59%)患者有两个以上肺叶受累。所有纳入患者中,COVID-19 肺炎 65 例(72%)表现为磨玻璃影,12 例(13%)为实变,11 例(12%)为铺路石征,33 例(37%)为小叶间隔增厚,50 例(56%)为邻近胸膜增厚,55 例(61%)为线状混浊合并。胸腔积液、心包积液和淋巴结病少见。此外,21 例患者(23%)基线胸部 CT 无任何异常,但 3 例患者在第 3-4 天后第二次 CT 检查时出现双侧磨玻璃影。

结论

根据患者的病史、临床表现、影像学特征和实验室检查可以确诊 SARS-CoV-2 感染。胸部 CT 检查在新型冠状病毒肺炎的初步诊断中起重要作用。双侧多发性肺叶多灶性分布的多发性斑片状磨玻璃影是 COVID-19 肺炎的典型胸部 CT 影像学特征。

https://cdn.ncbi.nlm.nih.gov/pmc/blobs/bc0a/7080117/2d8dc701dbf2/259_2020_4735_Fig1_HTML.jpg

文献AI研究员

20分钟写一篇综述,助力文献阅读效率提升50倍。

立即体验

用中文搜PubMed

大模型驱动的PubMed中文搜索引擎

马上搜索

文档翻译

学术文献翻译模型,支持多种主流文档格式。

立即体验