Suppr超能文献

庞贝病小鼠模型的呼吸表型。

The Respiratory Phenotype of Pompe Disease Mouse Models.

机构信息

Department of Pediatrics, School of Medicine, Duke University, Durham, NC 27707, USA.

出版信息

Int J Mol Sci. 2020 Mar 24;21(6):2256. doi: 10.3390/ijms21062256.

Abstract

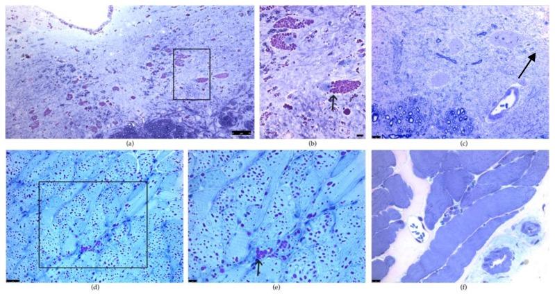
Pompe disease is a glycogen storage disease caused by a deficiency in acid α-glucosidase (GAA), a hydrolase necessary for the degradation of lysosomal glycogen. This deficiency in GAA results in muscle and neuronal glycogen accumulation, which causes respiratory insufficiency. Pompe disease mouse models provide a means of assessing respiratory pathology and are important for pre-clinical studies of novel therapies that aim to treat respiratory dysfunction and improve quality of life. This review aims to compile and summarize existing manuscripts that characterize the respiratory phenotype of Pompe mouse models. Manuscripts included in this review were selected utilizing specific search terms and exclusion criteria. Analysis of these findings demonstrate that Pompe disease mouse models have respiratory physiological defects as well as pathologies in the diaphragm, tongue, higher-order respiratory control centers, phrenic and hypoglossal motor nuclei, phrenic and hypoglossal nerves, neuromuscular junctions, and airway smooth muscle. Overall, the culmination of these pathologies contributes to severe respiratory dysfunction, underscoring the importance of characterizing the respiratory phenotype while developing effective therapies for patients.

摘要

庞贝病是一种糖原贮积病,由酸性α-葡萄糖苷酶(GAA)缺乏引起,GAA 是溶酶体糖原降解所必需的水解酶。这种 GAA 的缺乏导致肌肉和神经元糖原积累,从而导致呼吸功能不全。庞贝病小鼠模型为评估呼吸病理学提供了一种手段,对于旨在治疗呼吸功能障碍和提高生活质量的新型治疗方法的临床前研究非常重要。本综述旨在编译和总结现有的描述庞贝病小鼠模型呼吸表型的文献。本综述中纳入的文献是利用特定的搜索词和排除标准选择的。对这些发现的分析表明,庞贝病小鼠模型存在呼吸生理缺陷以及膈肌、舌、高级呼吸控制中心、膈神经和舌下神经运动核、膈神经和舌下神经、神经肌肉接头和气道平滑肌的病理学改变。总的来说,这些病变的综合作用导致严重的呼吸功能障碍,强调了在开发针对患者的有效治疗方法的同时,对呼吸表型进行特征描述的重要性。

https://cdn.ncbi.nlm.nih.gov/pmc/blobs/e01f/7139647/2e4cde0cdaea/ijms-21-02256-g001.jpg

文献AI研究员

20分钟写一篇综述,助力文献阅读效率提升50倍。

立即体验

用中文搜PubMed

大模型驱动的PubMed中文搜索引擎

马上搜索

文档翻译

学术文献翻译模型,支持多种主流文档格式。

立即体验