Suppr超能文献

奥克托明通过阻断 TLRs/NF-κB 信号转导抑制 LPS 诱导的 RAW264.7 巨噬细胞趋化因子和促炎细胞因子的分泌。

Octominin Inhibits LPS-Induced Chemokine and Pro-inflammatory Cytokine Secretion from RAW 264.7 Macrophages via Blocking TLRs/NF-κB Signal Transduction.

机构信息

Department of Marine Life Science, Jeju National University, Jeju 63243, Korea.

Marine Science Institute, Jeju National University, Jeju Self-Governing Province 63333, Korea.

出版信息

Biomolecules. 2020 Mar 27;10(4):511. doi: 10.3390/biom10040511.

Abstract

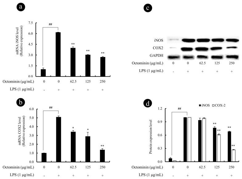
Inflammation is a well-organized innate immune response that plays an important role during the pathogen attacks and mechanical injuries. The Toll-like receptors (TLR)/nuclear factor kappa-light-chain-enhancer of activated B cells (NF-κB) is a major signal transduction pathway observed in RAW 264.7 macrophages during the inflammatory responses. Here, we investigated the anti-inflammatory effects of Octominin; a bio-active peptide developed from in RAW 264.7 macrophages in vitro. Octominin was found to inhibit lipopolysaccharides (LPS)-stimulated transcriptional activation of NF-κB in RAW 264.7 cells and dose-dependently decreased the mRNA expression levels of TLR4. Specifically, in silico docking results demonstrated that Octominin has a potential to inhibit TLR4 mediated inflammatory responses via blocking formation of TLR4/MD-2/LPS complex. We also demonstrated that Octominin could significantly inhibit LPS-induced secretion of pro-inflammatory cytokine (interleukin-β; IL-1β, IL-6, and tumor necrosis factor-α) and chemokines (CCL3, CCL4, CCL5, and CXCL10) from RAW 264.7 cells. Additionally, Octominin repressed the LPS-induced pro-inflammatory mediators including nitric oxide (NO), prostaglandin E2, inducible NO synthase, and cyclooxygenase 2 in macrophages. These results suggest that Octominin is a potential inhibitor of TLRs/NF-κB signal transduction pathway and is a potential candidate for the treatment of inflammatory diseases.

摘要

炎症是一种组织良好的先天免疫反应,在病原体攻击和机械损伤时发挥重要作用。Toll 样受体(TLR)/核因子 kappa 轻链增强子的 B 细胞激活(NF-κB)是 RAW 264.7 巨噬细胞炎症反应中观察到的主要信号转导途径。在这里,我们研究了 Octominin 的抗炎作用;一种从 中开发的生物活性肽在 RAW 264.7 巨噬细胞中体外。发现 Octominin 抑制脂多糖(LPS)刺激的 RAW 264.7 细胞中 NF-κB 的转录激活,并呈剂量依赖性降低 TLR4 的 mRNA 表达水平。具体而言,计算机对接结果表明,Octominin 通过阻止 TLR4/MD-2/LPS 复合物的形成,具有抑制 TLR4 介导的炎症反应的潜力。我们还表明,Octominin 可显著抑制 LPS 诱导的促炎细胞因子(白细胞介素-β;IL-1β、IL-6 和肿瘤坏死因子-α)和趋化因子(CCL3、CCL4、CCL5 和 CXCL10)从 RAW 264.7 细胞中分泌。此外,Octominin 抑制了 LPS 诱导的巨噬细胞中促炎介质,包括一氧化氮(NO)、前列腺素 E2、诱导型一氧化氮合酶和环加氧酶 2。这些结果表明,Octominin 是 TLRs/NF-κB 信号转导途径的潜在抑制剂,是治疗炎症性疾病的潜在候选药物。

https://cdn.ncbi.nlm.nih.gov/pmc/blobs/4ca9/7226457/87c4375324ab/biomolecules-10-00511-g001.jpg

文献AI研究员

20分钟写一篇综述,助力文献阅读效率提升50倍。

立即体验

用中文搜PubMed

大模型驱动的PubMed中文搜索引擎

马上搜索

文档翻译

学术文献翻译模型,支持多种主流文档格式。

立即体验