Suppr超能文献

肿瘤相关巨噬细胞衍生的 CCL5 通过激活 β-catenin/STAT3 信号促进前列腺癌干细胞和转移。

CCL5 derived from tumor-associated macrophages promotes prostate cancer stem cells and metastasis via activating β-catenin/STAT3 signaling.

机构信息

The Research Centre of Integrative Cancer Medicine, Discipline of Integrated Chinese and Western Medicine, The Second Affiliated Hospital of Guangzhou University of Chinese Medicine, 510006, Guangzhou, Guangdong, China.

Guangdong Provincial Key Laboratory of Clinical Research on Traditional Chinese Medicine Syndrome, Guangdong Provincial Academy of Chinese Medical Sciences, Guangdong Provincial Hospital of Chinese Medicine, 510006, Guangzhou, Guangdong, China.

出版信息

Cell Death Dis. 2020 Apr 16;11(4):234. doi: 10.1038/s41419-020-2435-y.

Abstract

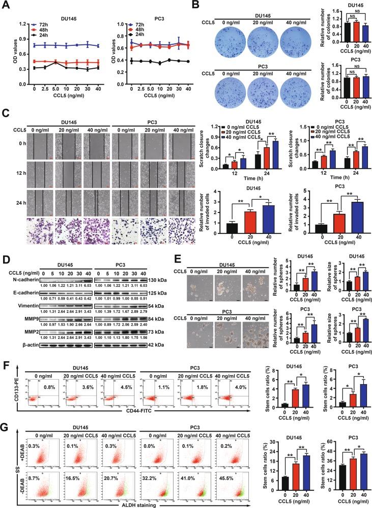
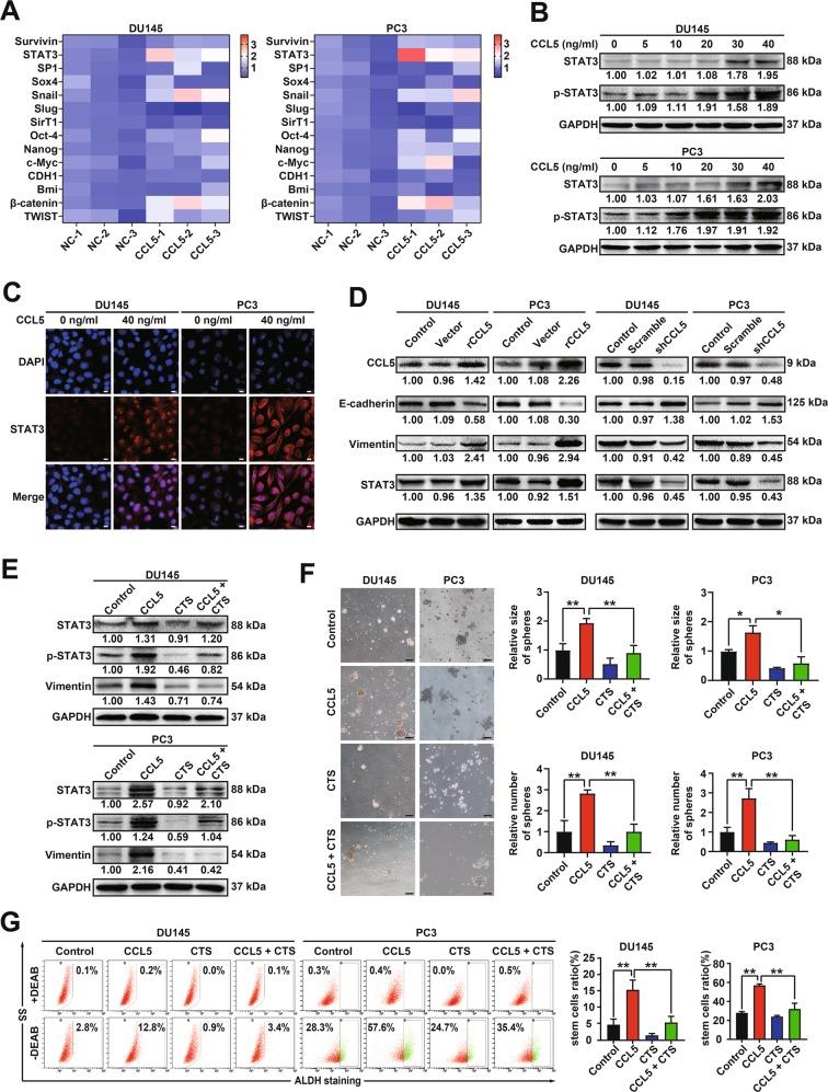
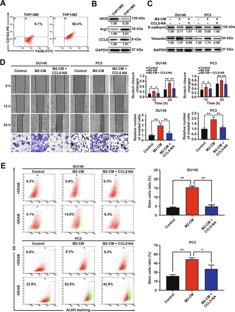
Prostate cancer stem cells (PCSCs) play a critical role in prostate cancer progression and metastasis, which remains an obstacle for successful prostate cancer treatment. Tumor-associated macrophages (TAMs) are the most abundant immune cell population within the tumor microenvironment (TME). Systematic investigation of the interaction and network signaling between PCSCs and TAMs may help in searching for the critical target to suppress PCSCs and metastasis. Herein, we demonstrated that TAMs-secreted CCL5 could significantly promote the migration, invasion, epithelial-mesenchymal transition (EMT) of prostate cancer cells as well as the self-renewal of PCSCs in vitro. QPCR screening validated STAT3 as the most significant response gene in prostate cancer cells following CCL5 treatment. RNA-sequencing and mechanistic explorations further revealed that CCL5 could promote PCSCs self-renewal and prostate cancer metastasis via activating the β-catenin/STAT3 signaling. Notably, CCL5 knockdown in TAMs not only significantly suppressed prostate cancer xenografts growth and bone metastasis but also inhibited the self-renewal and tumorigenicity of PCSCs in vivo. Finally, clinical investigations and bioinformatic analysis suggested that high CCL5 expression was significantly correlated with high Gleason grade, poor prognosis, metastasis as well as increased PCSCs activity in prostate cancer patients. Taken together, TAMs/CCL5 could promote PCSCs self-renewal and prostate cancer metastasis via activating β-catenin/STAT3 signaling. This study provides a novel rationale for developing TAMs/CCL5 as a potential molecular target for PCSCs elimination and metastatic prostate cancer prevention.

摘要

前列腺癌干细胞 (PCSCs) 在前列腺癌的进展和转移中起着关键作用,这仍然是成功治疗前列腺癌的障碍。肿瘤相关巨噬细胞 (TAMs) 是肿瘤微环境 (TME) 中最丰富的免疫细胞群体。系统研究 PCSCs 和 TAMs 之间的相互作用和网络信号可能有助于寻找抑制 PCSCs 和转移的关键靶标。在此,我们证明 TAMs 分泌的 CCL5 可显著促进前列腺癌细胞的迁移、侵袭、上皮-间充质转化 (EMT) 以及体外 PCSCs 的自我更新。QPCR 筛选验证了 STAT3 是 CCL5 处理后前列腺癌细胞中最显著的响应基因。RNA 测序和机制探索进一步表明,CCL5 可通过激活 β-catenin/STAT3 信号促进 PCSCs 自我更新和前列腺癌转移。值得注意的是,TAMs 中的 CCL5 敲低不仅显著抑制了前列腺癌异种移植物的生长和骨转移,而且还抑制了体内 PCSCs 的自我更新和致瘤性。最后,临床研究和生物信息学分析表明,高 CCL5 表达与高 Gleason 分级、预后不良、转移以及前列腺癌患者中 PCSCs 活性增加显著相关。总之,TAMs/CCL5 通过激活 β-catenin/STAT3 信号促进 PCSCs 自我更新和前列腺癌转移。该研究为开发 TAMs/CCL5 作为消除 PCSCs 和预防转移性前列腺癌的潜在分子靶标提供了新的依据。

https://cdn.ncbi.nlm.nih.gov/pmc/blobs/dbf9/7162982/23e6473d6b46/41419_2020_2435_Fig1_HTML.jpg

文献AI研究员

20分钟写一篇综述,助力文献阅读效率提升50倍。

立即体验

用中文搜PubMed

大模型驱动的PubMed中文搜索引擎

马上搜索

文档翻译

学术文献翻译模型,支持多种主流文档格式。

立即体验