Suppr超能文献

STAT3 的激活是 TLR4 信号转导介导的黑色素瘤进展中的关键事件。

Activation of STAT3 is a key event in TLR4 signaling-mediated melanoma progression.

机构信息

Center for Cancer and Inflammation Research, School of Chinese Medicine, Hong Kong Baptist University, Hong Kong, China.

Consun Chinese Medicines Research Centre for Renal Diseases, Hong Kong Baptist University, Hong Kong, China.

出版信息

Cell Death Dis. 2020 Apr 20;11(4):246. doi: 10.1038/s41419-020-2440-1.

Abstract

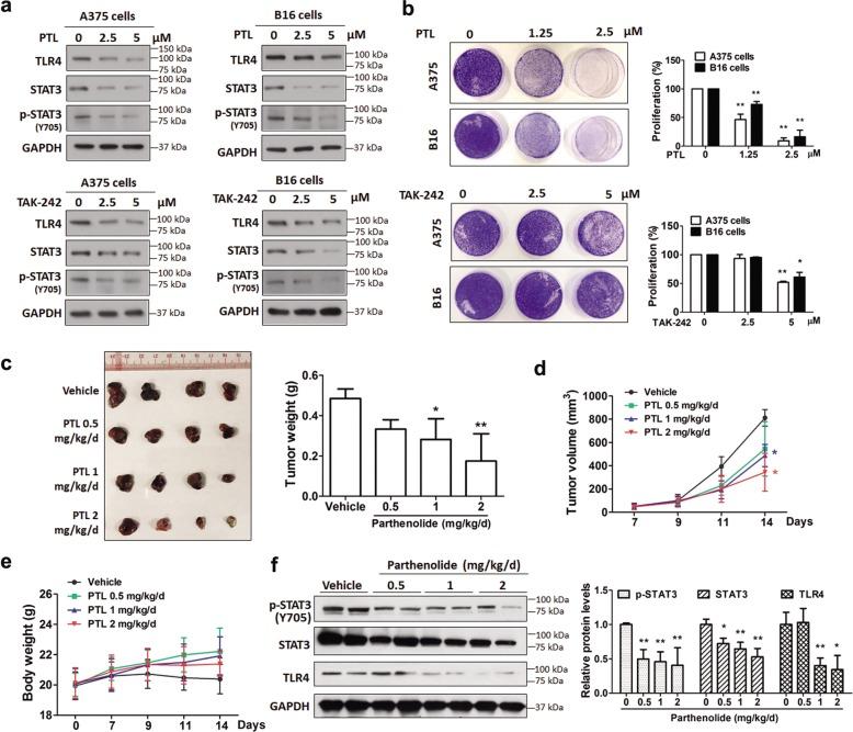
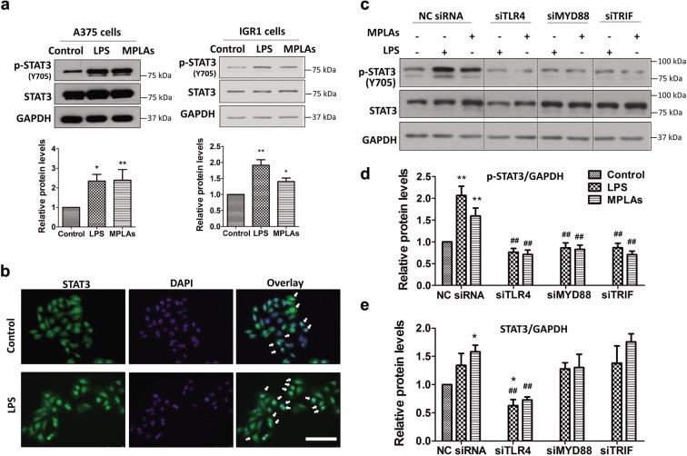
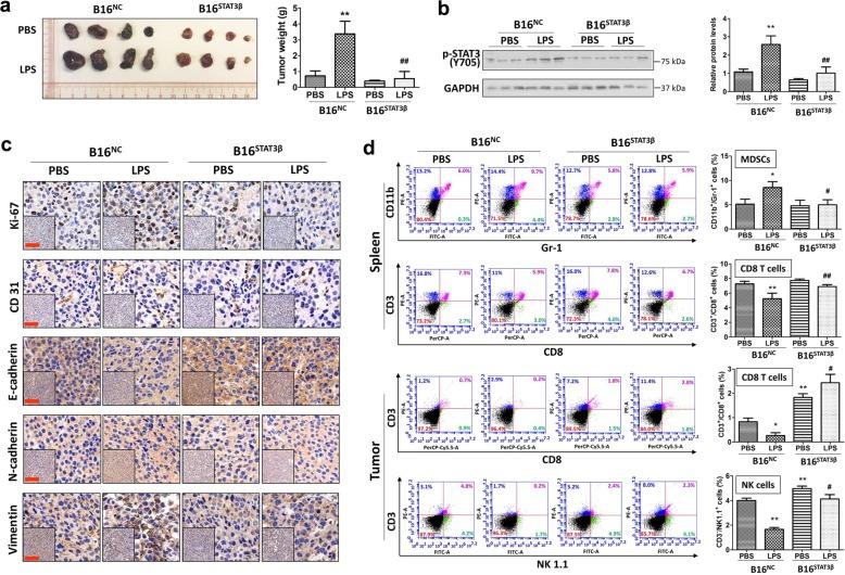
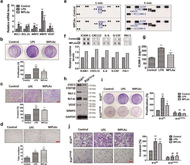
Malignant melanoma is aggressive and has a high mortality rate. Toll-like receptor 4 (TLR4) has been linked to melanoma growth, angiogenesis and metastasis. However, signal transduction mediated by TLR4 for driving melanoma progression is not fully understood. Signal transducer and activator of transcription 3 (STAT3) has been identified as a major oncogene in melanoma progression. We found: that TLR4 expression positively correlates with activation/phosphorylation of STAT3 in human melanoma samples; that TLR4 ligands activate STAT3 through MYD88 and TRIF in melanoma cells; and that intratumoral activation of TLR4 increases STAT3 activation in the tumor and promotes tumor growth, angiogenesis, epithelial-mesenchymal transition (EMT) and the formation of an immunosuppressive tumor microenvironment in mice. Further, we found that the effects mediated by activating TLR4 are weakened by suppressing STAT3 function with a dominant negative STAT3 variant in melanoma. Collectively, our work identifies STAT3 activation as a key event in TLR4 signaling-mediated melanoma progression, shedding new light on the pathophysiology of melanoma.

摘要

恶性黑色素瘤具有侵袭性且死亡率较高。Toll 样受体 4(TLR4)与黑色素瘤的生长、血管生成和转移有关。然而,TLR4 介导的信号转导在驱动黑色素瘤进展方面的机制尚未完全阐明。信号转导和转录激活因子 3(STAT3)已被确定为黑色素瘤进展中的主要癌基因。我们发现:人黑色素瘤样本中 TLR4 的表达与 STAT3 的激活/磷酸化呈正相关;TLR4 配体通过 MYD88 和 TRIF 在黑色素瘤细胞中激活 STAT3;肿瘤内 TLR4 的激活增加了肿瘤中 STAT3 的激活,促进了肿瘤生长、血管生成、上皮-间充质转化(EMT)以及形成免疫抑制性肿瘤微环境在小鼠中。此外,我们发现,通过在黑色素瘤中使用显性负 STAT3 变体抑制 STAT3 功能,可减弱激活 TLR4 介导的作用。总之,我们的工作确定了 STAT3 激活是 TLR4 信号转导介导的黑色素瘤进展中的关键事件,为黑色素瘤的病理生理学提供了新的见解。

https://cdn.ncbi.nlm.nih.gov/pmc/blobs/e96f/7171093/d929b645f2a2/41419_2020_2440_Fig1_HTML.jpg

文献AI研究员

20分钟写一篇综述,助力文献阅读效率提升50倍。

立即体验

用中文搜PubMed

大模型驱动的PubMed中文搜索引擎

马上搜索

文档翻译

学术文献翻译模型,支持多种主流文档格式。

立即体验