Suppr超能文献

接受PD-(L)1抑制剂治疗的寡进展性非小细胞肺癌

Oligoprogressive Non-Small-Cell Lung Cancer under Treatment with PD-(L)1 Inhibitors.

作者信息

Rheinheimer Stephan, Heussel Claus-Peter, Mayer Philipp, Gaissmaier Lena, Bozorgmehr Farastuk, Winter Hauke, Herth Felix J, Muley Thomas, Liersch Stephan, Bischoff Helge, Kriegsmann Mark, El Shafie Rami A, Stenzinger Albrecht, Thomas Michael, Kauczor Hans-Ulrich, Christopoulos Petros

机构信息

Translational Lung Research Center Heidelberg (TLRC-H), Member of the German Center for Lung Research (DZL), 69120 Heidelberg, Germany.

Department for Diagnostic and Interventional Radiology, Heidelberg University Hospital, 69120 Heidelberg, Germany.

出版信息

Cancers (Basel). 2020 Apr 23;12(4):1046. doi: 10.3390/cancers12041046.

Abstract

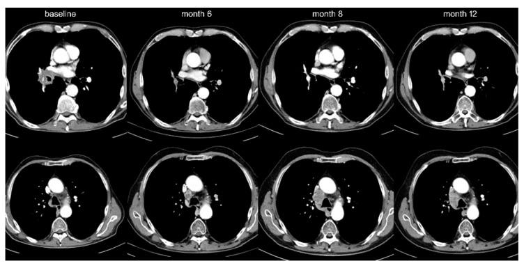
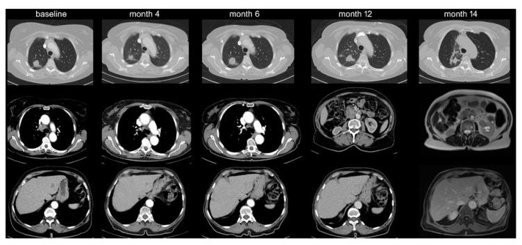
Oligoprogression (OPD) of non-small-cell lung cancer (NSCLC) occurs in approximately half of patients under targeted compounds (TKI) and facilitates use of regional therapies that can prolong survival. In order to characterize OPD in immunotherapy (IO)-treated NSCLC, we analyzed the failure pattern under PD-1/PD-L1 inhibitors ( = 297) or chemoimmunotherapy ( = 75). Under IO monotherapy, OPD was more frequent (20% vs. 10%, < 0.05), occurred later (median 11 vs. 5 months, < 0.01), affected fewer sites (mean 1.1 vs. 1.5, < 0.05), and involved fewer lesions (1.4 vs. 2.3, < 0.05) in the first compared to later lines. Lymph nodes (42%, mainly mediastinal) and the brain (39%) were mostly affected, followed by the lung (24%) and other organs. Compared to multifocal progression, OPD occurred later (11 vs. 4 months, < 0.001) and was associated with longer survival (26 vs. 13 months, < 0.001) and higher tumor PD-L1 expression ( < 0.001). Chemoimmunotherapy showed a similar incidence of OPD as IO monotherapy (13% vs. 11% at 2 years). Local treatments were applied regularly for brain but only in 50% for extracranial lesions. Thus, NSCLC oligoprogression is less common under IO than under TKI, but also favorable. Since its frequency drops later in the disease, regular restaging and multidisciplinary evaluation are essential in order to exploit the full therapeutic potential.

摘要

非小细胞肺癌(NSCLC)的寡进展(OPD)约发生在半数接受靶向化合物(TKI)治疗的患者中,这促进了可延长生存期的局部治疗方法的应用。为了明确免疫治疗(IO)的NSCLC中的OPD特征,我们分析了接受PD-1/PD-L1抑制剂(n = 297)或化疗免疫治疗(n = 75)患者的疾病进展模式。在IO单药治疗中,OPD更为常见(20% 对10%,P < 0.05),出现时间更晚(中位时间11个月对5个月,P < 0.01),与后续治疗线相比,在一线治疗中受影响的部位更少(平均1.1个对1.5个,P < 0.05),累及的病灶更少(1.4个对2.3个,P < 0.05)。淋巴结(42%,主要为纵隔淋巴结)和脑(39%)最常受累,其次是肺(24%)和其他器官。与多灶性进展相比,OPD出现时间更晚(11个月对4个月,P < 0.001),且与更长的生存期(26个月对13个月,P < 0.001)和更高的肿瘤PD-L1表达相关(P < 0.001)。化疗免疫治疗的OPD发生率与IO单药治疗相似(2年时为13%对11%)。局部治疗常用于脑转移,但仅50%用于颅外病灶。因此,NSCLC的寡进展在IO治疗下比TKI治疗下更少见,但预后也更好。由于其发生率在疾病后期下降,定期重新分期和多学科评估对于充分发挥治疗潜力至关重要。

https://cdn.ncbi.nlm.nih.gov/pmc/blobs/fcbb/7226015/c8b9d68dc322/cancers-12-01046-g001.jpg

文献AI研究员

20分钟写一篇综述,助力文献阅读效率提升50倍。

立即体验

用中文搜PubMed

大模型驱动的PubMed中文搜索引擎

马上搜索

文档翻译

学术文献翻译模型,支持多种主流文档格式。

立即体验