Suppr超能文献

临近生物素化揭示了刚地弓形虫缓殖子的新型分泌致密颗粒蛋白。

Proximity biotinylation reveals novel secreted dense granule proteins of Toxoplasma gondii bradyzoites.

机构信息

Department of Microbiology, Immunology and Molecular Genetics, University of California, Los Angeles, California, United States of America.

Division of Pediatric Infectious Diseases, Department of Pediatrics, Cedar-Sinai Medical Center, Los Angeles, California, United States of America.

出版信息

PLoS One. 2020 May 6;15(5):e0232552. doi: 10.1371/journal.pone.0232552. eCollection 2020.

Abstract

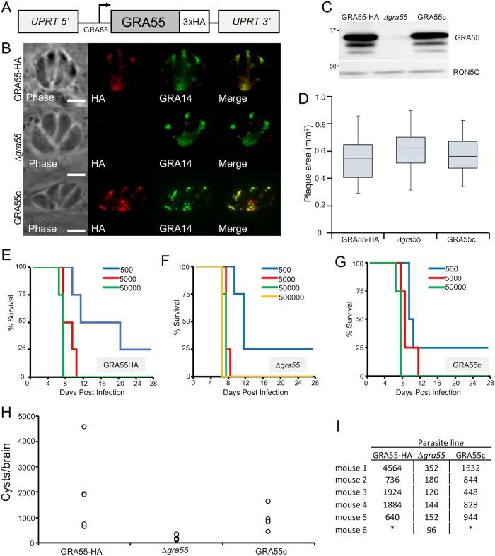
Toxoplasma gondii is an obligate intracellular parasite which is capable of establishing life-long chronic infection in any mammalian host. During the intracellular life cycle, the parasite secretes an array of proteins into the parasitophorous vacuole (PV) where it resides. Specialized organelles called the dense granules secrete GRA proteins that are known to participate in nutrient acquisition, immune evasion, and host cell-cycle manipulation. Although many GRAs have been discovered which are expressed during the acute infection mediated by tachyzoites, little is known about those that participate in the chronic infection mediated by the bradyzoite form of the parasite. In this study, we sought to uncover novel bradyzoite-upregulated GRA proteins using proximity biotinylation, which we previously used to examine the secreted proteome of the tachyzoites. Using a fusion of the bradyzoite upregulated protein MAG1 to BirA* as bait and a strain with improved switch efficiency, we identified a number of novel GRA proteins which are expressed in bradyzoites. After using the CRISPR/Cas9 system to characterize these proteins by gene knockout, we focused on one of these GRAs (GRA55) and found it was important for the establishment or maintenance of cysts in the mouse brain. These findings highlight new components of the GRA proteome of the tissue-cyst life stage of T. gondii and identify potential targets that are important for maintenance of parasite persistence in vivo.

摘要

刚地弓形虫是一种专性细胞内寄生虫,能够在任何哺乳动物宿主体内建立终身慢性感染。在细胞内生命周期中,寄生虫将一系列蛋白质分泌到寄生泡(PV)中,寄生泡是寄生虫所在的地方。称为致密颗粒的专门细胞器分泌 GRA 蛋白,这些蛋白已知参与营养物质获取、免疫逃逸和宿主细胞周期操纵。尽管已经发现了许多在速殖子介导的急性感染期间表达的 GRAs,但对于参与寄生虫缓殖子形式介导的慢性感染的那些 GRA 知之甚少。在这项研究中,我们试图使用邻近生物素化来揭示新的缓殖子上调 GRA 蛋白,我们之前曾使用该方法来研究速殖子的分泌蛋白质组。使用与 BirA*融合的缓殖子上调蛋白 MAG1 作为诱饵,并使用改进的开关效率的菌株,我们鉴定出许多在缓殖子中表达的新的 GRA 蛋白。在用 CRISPR/Cas9 系统通过基因敲除对这些蛋白质进行特征分析后,我们专注于这些 GRAs 之一(GRA55),并发现它对小鼠大脑中囊泡的建立或维持很重要。这些发现突出了刚地弓形虫组织囊泡生命阶段 GRA 蛋白质组的新成分,并确定了维持寄生虫在体内持续存在的重要潜在靶标。

https://cdn.ncbi.nlm.nih.gov/pmc/blobs/9d2a/7202600/e426b075b1eb/pone.0232552.g001.jpg

文献AI研究员

20分钟写一篇综述,助力文献阅读效率提升50倍。

立即体验

用中文搜PubMed

大模型驱动的PubMed中文搜索引擎

马上搜索

文档翻译

学术文献翻译模型,支持多种主流文档格式。

立即体验