Suppr超能文献

成纤维细胞激活蛋白抑制剂(FAPI)PET 用于头颈部癌症的诊断和先进的靶向放射治疗。

Fibroblast activation protein inhibitor (FAPI) PET for diagnostics and advanced targeted radiotherapy in head and neck cancers.

机构信息

Heidelberg Institute of Radiation Oncology (HIRO), Im Neuenheimer Feld 400, 69120, Heidelberg, Germany.

Heidelberg Ion-Beam Therapy Center (HIT), Im Neuenheimer Feld 450, 69120, Heidelberg, Germany.

出版信息

Eur J Nucl Med Mol Imaging. 2020 Nov;47(12):2836-2845. doi: 10.1007/s00259-020-04859-y. Epub 2020 May 23.

Abstract

PURPOSE

Cancer-associated fibroblasts (CAFs) expressing fibroblast activation protein (FAP) have been associated with the aggressive nature of head and neck cancers (HNCs). These tumours grow diffusely, leading to extremely challenging differentiation between tumour and healthy tissue. This analysis aims to introduce a novel approach of tumour detection, contouring and targeted radiotherapy of HNCs using visualisation of CAFs: PET-CT with Ga-radiolabeled inhibitors of FAP (FAPI).

METHODS

FAPI PET-CT was performed without complications prior to radiotherapy in addition to contrast enhanced CT (CE-CT) and MRI on 14 patients with HNC. First, for tissue biodistribution analysis, volumes of interest were defined to quantify SUV and SUV in tumour and healthy parenchyma. Secondly, using four thresholds of three-, five-, seven- and tenfold increase of FAPI enhancement in the tumour as compared with normal tissue, four different gross tumour volumes (FAPI-GTV) were created automatically. These were compared with GTVs created conventionally with CE-CT and MRI (CT-GTV).

RESULTS

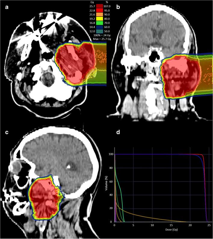
The biodistribution analysis revealed high FAPI avidity within tumorous lesions (e.g. primary tumours, SUV 14.62 ± 4.44; SUV 7.41 ± 2.39). In contrast, low background uptake was measured in healthy tissues of the head and neck region (e.g. salivary glands: SUV 1.76 ± 0.31; SUV 1.23 ± 0.28). Considering radiation planning, CT-GTV was of 27.3 ml, whereas contouring with FAPI resulted in significantly different GTVs of 67.7 ml (FAPI × 3, p = 0.0134), 22.1 ml (FAPI × 5, p = 0.0419), 7.6 ml (FAPI × 7, p = 0.0001) and 2.3 ml (FAPI × 10, p = 0.0001). Taking these significant disparities between the GTVs into consideration, we merged FAPI-GTVs with CT-GTVs. This resulted in median volumes, that were, as compared to CT-GTVs, significantly larger with FAPI × 3 (54.7 ml, + 200.5% relative increase, p = 0.0005) and FAPI × 5 (15.0 ml, + 54.9%, p = 0.0122). Furthermore, FAPI-GTVs were not covered by CE-CT-based planning target volumes (CT-PTVs) in several cases.

CONCLUSION

We present first evidence of diagnostic and therapeutic potential of FAPI ligands in head and neck cancer. Larger studies with histopathological correlation are required to validate our findings.

摘要

目的

表达成纤维细胞激活蛋白(FAP)的癌相关成纤维细胞(CAFs)与头颈部癌症(HNCs)的侵袭性有关。这些肿瘤呈弥漫性生长,导致肿瘤与健康组织之间的区分极具挑战性。本分析旨在引入一种新的 HNC 检测、勾画和靶向放疗方法,即利用 CAFs 的可视化:使用 Ga 标记的 FAP 抑制剂(FAPI)进行正电子发射断层扫描(PET-CT)。

方法

在放疗前,14 例 HNC 患者除了进行对比增强 CT(CE-CT)和 MRI 外,还进行了 FAPI PET-CT 检查。首先,为了进行组织生物分布分析,定义了感兴趣区域以量化肿瘤和健康组织中的 SUV 和 SUV。其次,使用肿瘤中 FAPI 增强的三个、五个、七个和十倍作为与正常组织相比的四个不同阈值,自动创建了四个不同的大体肿瘤体积(FAPI-GTV)。这些与使用 CE-CT 和 MRI 常规创建的 GTV(CT-GTV)进行了比较。

结果

生物分布分析显示肿瘤病变内具有高 FAPI 亲和力(例如原发性肿瘤,SUV14.62±4.44;SUV7.41±2.39)。相比之下,头颈部区域的健康组织中摄取量较低(例如唾液腺:SUV1.76±0.31;SUV1.23±0.28)。考虑到放射治疗计划,CT-GTV 为 27.3ml,而用 FAPI 勾画则导致 GTV 显著不同,分别为 67.7ml(FAPI×3,p=0.0134)、22.1ml(FAPI×5,p=0.0419)、7.6ml(FAPI×7,p=0.0001)和 2.3ml(FAPI×10,p=0.0001)。考虑到 GTV 之间的这些显著差异,我们将 FAPI-GTV 与 CT-GTV 合并。与 CT-GTV 相比,这导致中位数体积明显更大,FAPI×3(54.7ml,相对增加 200.5%,p=0.0005)和 FAPI×5(15.0ml,增加 54.9%,p=0.0122)。此外,在多个病例中,FAPI-GTV 未被基于 CE-CT 的计划靶区(CT-PTV)覆盖。

结论

我们首次提供了 FAPI 配体在头颈部癌症中的诊断和治疗潜力的证据。需要进行具有组织病理学相关性的更大研究来验证我们的发现。

https://cdn.ncbi.nlm.nih.gov/pmc/blobs/c178/7567680/5cd018195bb7/259_2020_4859_Fig1_HTML.jpg

文献AI研究员

20分钟写一篇综述,助力文献阅读效率提升50倍。

立即体验

用中文搜PubMed

大模型驱动的PubMed中文搜索引擎

马上搜索

文档翻译

学术文献翻译模型,支持多种主流文档格式。

立即体验