Suppr超能文献

内源性 TLR2 配体嵌入到人半胱氨酰-tRNA 合成酶 1 的催化结构域中。

Endogenous TLR2 ligand embedded in the catalytic region of human cysteinyl-tRNA synthetase 1.

机构信息

Medicinal Bioconvergence Research Center and College of Pharmacy, Seoul National University, Suwon, South Korea.

Department of Molecular Medicine and Biopharmaceutical Sciences, Graduate School of Convergence Science and Technology, and College of Pharmacy, Seoul National University, Seoul, South Korea.

出版信息

J Immunother Cancer. 2020 May;8(1). doi: 10.1136/jitc-2019-000277.

Abstract

BACKGROUND

The generation of antigen-specific cytotoxic T lymphocyte (CTL) responses is required for successful cancer vaccine therapy. In this regard, ligands of Toll-like receptors (TLRs) have been suggested to activate adaptive immune responses by modulating the function of antigen-presenting cells (APCs). Despite their therapeutic potential, the development of TLR ligands for immunotherapy is often hampered due to rapid systemic toxicity. Regarding the safety concerns of currently available TLR ligands, finding a new TLR agonist with potent efficacy and safety is needed.

METHODS

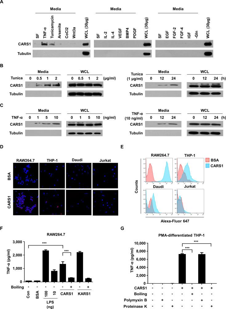
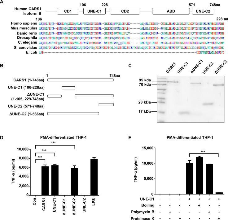
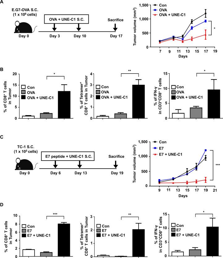
A unique structural domain (UNE-C1) was identified as a novel TLR2/6 in the catalytic region of human cysteinyl-tRNA synthetase 1 (CARS1) using comprehensive approaches, including RNA sequencing, the human embryonic kidney (HEK)-TLR Blue system, pull-down, and ELISA. The potency of its immunoadjuvant properties was analyzed by assessing antigen-specific antibody and CTL responses. In addition, the efficacy of tumor growth inhibition and the presence of the tumor-infiltrating leukocytes were evaluated using E.G7-OVA and TC-1 mouse models. The combined effect of UNE-C1 with an immune checkpoint inhibitor, anti-CTLA-4 antibody, was also evaluated in vivo. The safety of UNE-C1 immunization was determined by monitoring splenomegaly and cytokine production in the blood.

RESULTS

Here, we report that CARS1 can be secreted from cancer cells to activate immune responses via specific interactions with TLR2/6 of APCs. A unique domain (UNE-C1) inserted into the catalytic region of CARS1 was determined to activate dendritic cells, leading to the stimulation of robust humoral and cellular immune responses in vivo. UNE-C1 also showed synergistic efficacy with cancer antigens and checkpoint inhibitors against different cancer models in vivo. Further, the safety assessment of UNE-C1 showed lower systemic cytokine levels than other known TLR agonists.

CONCLUSIONS

We identified the endogenous TLR2/6 activating domain from human cysteinyl-tRNA synthetase CARS1. This novel TLR2/6 ligand showed potent immune-stimulating activity with little toxicity. Thus, the UNE-C1 domain can be developed as an effective immunoadjuvant with checkpoint inhibitors or cancer antigens to boost antitumor immunity.

摘要

背景

产生抗原特异性细胞毒性 T 淋巴细胞 (CTL) 反应是癌症疫苗治疗成功的关键。在这方面, Toll 样受体 (TLR) 的配体已被证明可以通过调节抗原呈递细胞 (APC) 的功能来激活适应性免疫反应。尽管它们具有治疗潜力,但由于快速的全身毒性,TLR 配体的开发常常受到阻碍。鉴于目前可用的 TLR 配体的安全性问题,需要寻找一种新的具有强大疗效和安全性的 TLR 激动剂。

方法

通过综合方法,包括 RNA 测序、人胚肾 (HEK)-TLR Blue 系统、下拉和 ELISA,在人类半胱氨酰-tRNA 合成酶 1 (CARS1) 的催化区域中鉴定出一种独特的结构域 (UNE-C1) 作为新型 TLR2/6。通过评估抗原特异性抗体和 CTL 反应来分析其免疫佐剂特性的效力。此外,使用 E.G7-OVA 和 TC-1 小鼠模型评估肿瘤生长抑制的疗效和肿瘤浸润白细胞的存在。还在体内评估了 UNE-C1 与免疫检查点抑制剂抗 CTLA-4 抗体的联合作用。通过监测脾肿大和血液中细胞因子的产生来确定 UNE-C1 免疫接种的安全性。

结果

在这里,我们报告 CARS1 可以从癌细胞中分泌出来,通过与 APCs 的 TLR2/6 特异性相互作用来激活免疫反应。插入 CARS1 催化区域的独特结构域 (UNE-C1) 被确定为激活树突状细胞,导致体内产生强大的体液和细胞免疫反应。UNE-C1 还与癌症抗原和检查点抑制剂在体内对不同的癌症模型表现出协同疗效。此外,UNE-C1 的安全性评估显示其系统细胞因子水平低于其他已知的 TLR 激动剂。

结论

我们从人类半胱氨酰-tRNA 合成酶 CARS1 中鉴定出内源性 TLR2/6 激活结构域。这种新型 TLR2/6 配体具有强大的免疫刺激活性,毒性较小。因此,UNE-C1 结构域可以与检查点抑制剂或癌症抗原一起开发为有效的免疫佐剂,以增强抗肿瘤免疫。

https://cdn.ncbi.nlm.nih.gov/pmc/blobs/e802/7254149/3b75e08ece3d/jitc-2019-000277f01.jpg

文献AI研究员

20分钟写一篇综述,助力文献阅读效率提升50倍。

立即体验

用中文搜PubMed

大模型驱动的PubMed中文搜索引擎

马上搜索

文档翻译

学术文献翻译模型,支持多种主流文档格式。

立即体验