Suppr超能文献

肌酸磷酸系统在胰腺腺癌中具有机械反应性,为侵袭和转移提供燃料。

The creatine-phosphagen system is mechanoresponsive in pancreatic adenocarcinoma and fuels invasion and metastasis.

机构信息

University of Glasgow Centre for the Cellular Microenvironment, Glasgow, UK.

University of Glasgow Institute of Cancer Sciences, Glasgow, UK.

出版信息

Nat Metab. 2020 Jan;2(1):62-80. doi: 10.1038/s42255-019-0159-z. Epub 2020 Jan 20.

Abstract

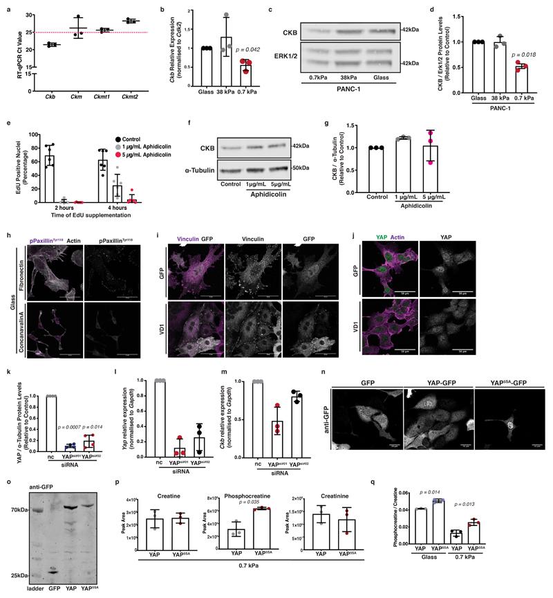
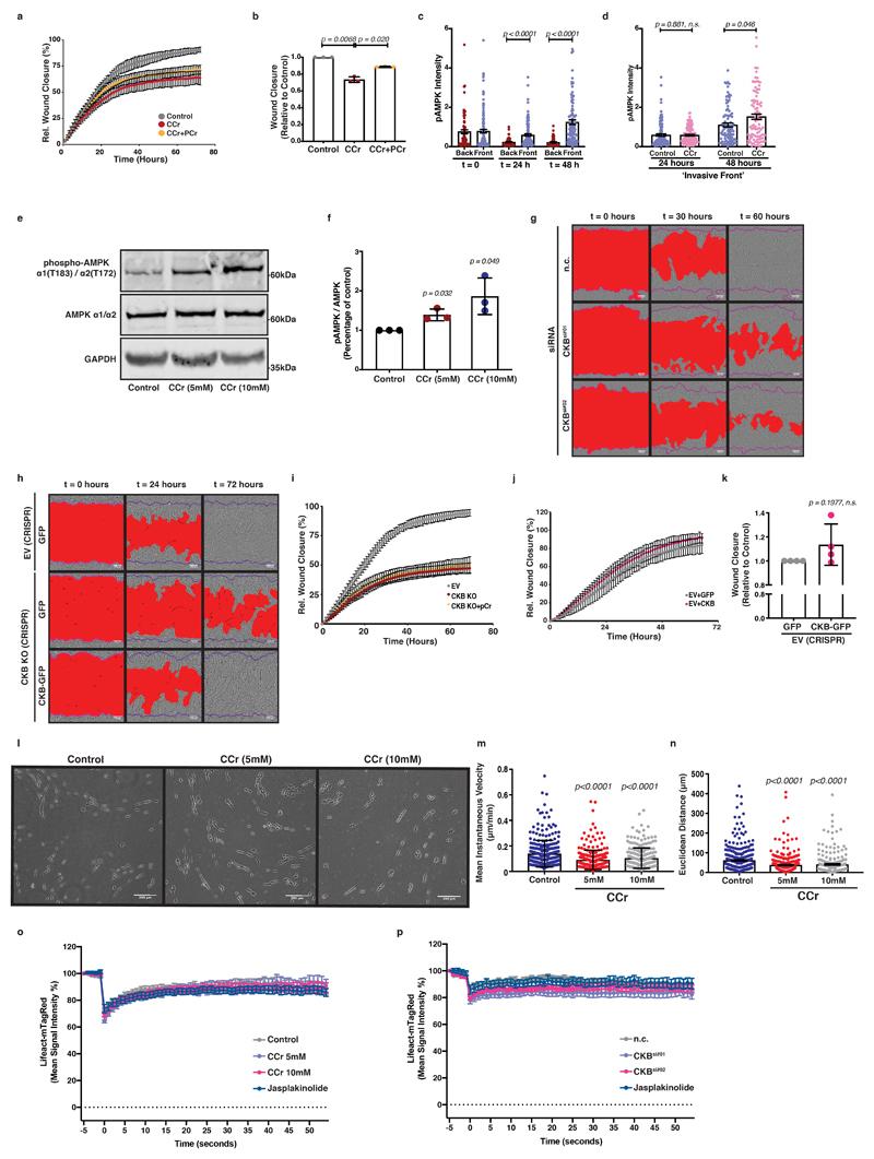
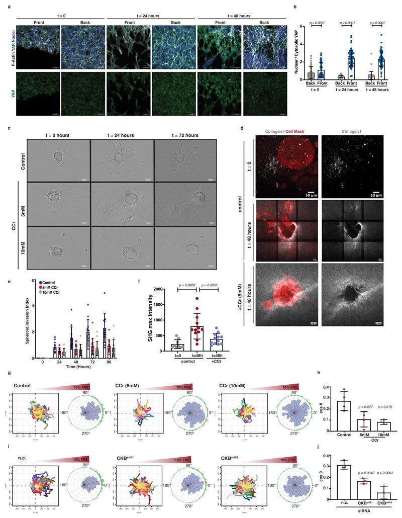
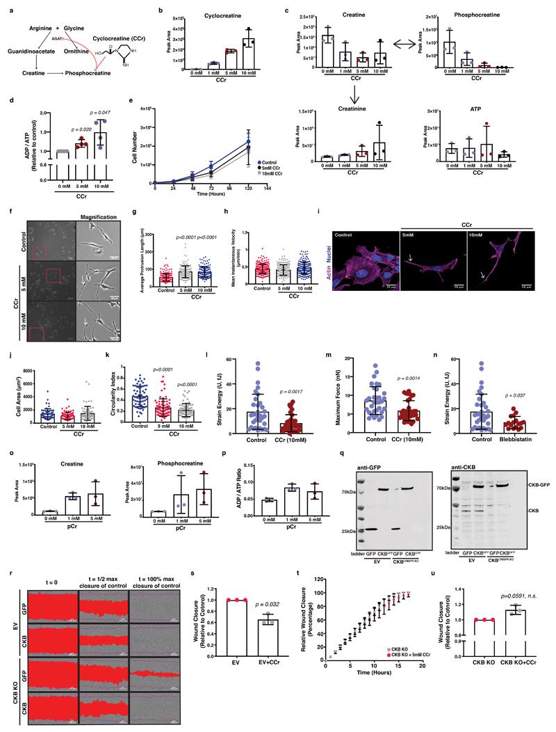
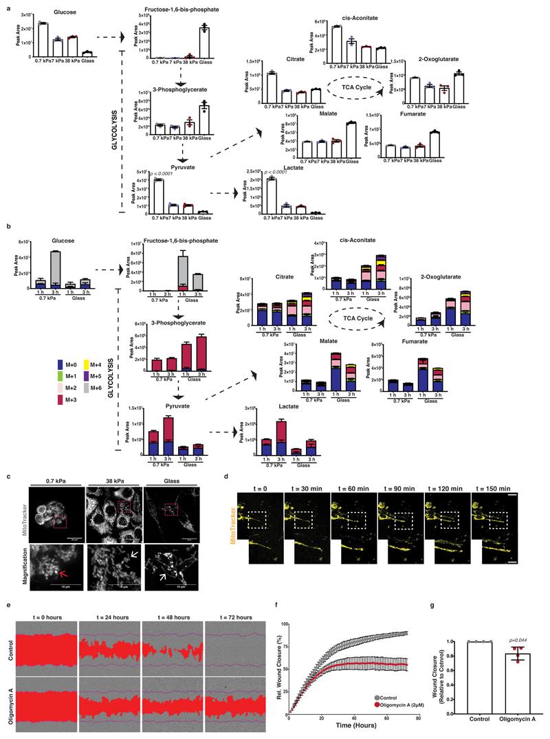
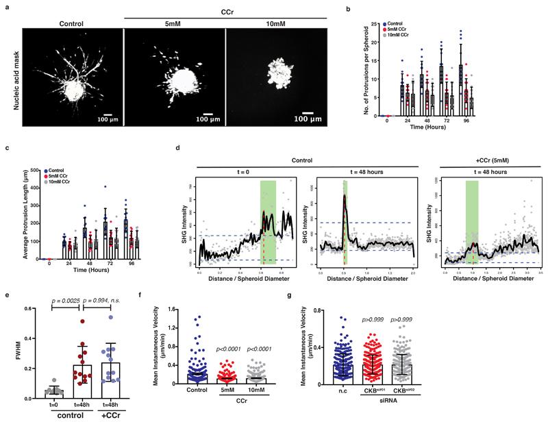
Pancreatic ductal adenocarcinoma is particularly metastatic, with dismal survival rates and few treatment options. Stiff fibrotic stroma is a hallmark of pancreatic tumours, but how stromal mechanosensing affects metastasis is still unclear. Here, we show that mechanical changes in the pancreatic cancer cell environment affect not only adhesion and migration, but also ATP/ADP and ATP/AMP ratios. Unbiased metabolomic analysis reveals that the creatine-phosphagen ATP-recycling system is a major mechanosensitive target. This system depends on arginine flux through the urea cycle, which is reflected by the increased incorporation of carbon and nitrogen from L-arginine into creatine and phosphocreatine on stiff matrix. We identify that CKB is a mechanosensitive transcriptional target of YAP, and thus it increases phosphocreatine production. We further demonstrate that the creatine-phosphagen system has a role in invasive migration, chemotaxis and liver metastasis of cancer cells.

摘要

胰腺导管腺癌具有很强的转移性,患者生存率低,治疗选择有限。坚硬的纤维性基质是胰腺肿瘤的一个标志,但基质的机械感知如何影响转移尚不清楚。在这里,我们表明,胰腺癌细胞环境中的机械变化不仅会影响细胞黏附和迁移,还会影响 ATP/ADP 和 ATP/AMP 比值。无偏代谢组学分析显示,肌酸磷酸原 ATP 循环系统是一个主要的机械敏感靶点。该系统依赖于精氨酸通过尿素循环的通量,这反映在刚性基质上,L-精氨酸的碳和氮掺入到肌酸和磷酸肌酸中的增加。我们发现 CKB 是 YAP 的机械敏感转录靶点,因此它增加了磷酸肌酸的产生。我们进一步证明,肌酸磷酸原系统在癌细胞的侵袭性迁移、趋化性和肝转移中起作用。

https://cdn.ncbi.nlm.nih.gov/pmc/blobs/b211/7617069/852834ac5eb9/EMS85197-f009.jpg

文献AI研究员

20分钟写一篇综述,助力文献阅读效率提升50倍。

立即体验

用中文搜PubMed

大模型驱动的PubMed中文搜索引擎

马上搜索

文档翻译

学术文献翻译模型,支持多种主流文档格式。

立即体验