Suppr超能文献

姜黄素胆碱杯[4]芳烃纳米水凝胶经皮给药提高其治疗银屑病模型的疗效。

Topical Delivery of Curcumin by Choline-Calix[4]arene-Based Nanohydrogel Improves Its Therapeutic Effect on a Psoriasis Mouse Model.

机构信息

Department of Chemical, Biological, Pharmaceutical and Environmental Sciences, University of Messina, Viale Ferdinando Stagno D'Alcontres, 31-98166 Messina, Italy.

Institute of Biomolecular Chemistry-C.N.R., Via P. Gaifami 18, 95126 Catania, Italy.

出版信息

Int J Mol Sci. 2020 Jul 17;21(14):5053. doi: 10.3390/ijms21145053.

Abstract

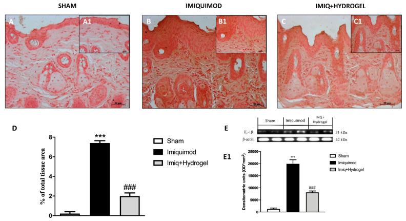
Curcumin (CUR) has shown remarkable efficacy in the treatment of skin diseases, but its effective transdermal delivery is still a major challenge and stimulates interest in the design of novel systems for CUR dispersion, preservation, and delivery facilitation to the deeper layers of the skin. The present work aimed to investigate the potential of a nanohydrogel, formed by a micellar choline-calix[4]arene amphiphile (CALIX) and CUR, in the treatment of skin diseases through an imiquimod (IMQ)-induced psoriasis model. Psoriasis plaques are associated with aberrant keratinization, abnormal distribution of tight junctions (TJs) proteins, and enhanced expression of inflammatory markers. The nanohydrogel restored the normal distribution of TJs proteins ZO1 and occludin and reduced the expression of TNF-α and inducible nitric oxide synthetase (iNOS) compared to the untreated IMQ group. The novelty lies in the calix[4]arene-based nanohydrogel as a potential new soft material for the topical skin delivery of CUR. The nanohydrogel, due to its physicochemical and mechanical properties, enhances the drug water-solubility, preserves CUR from rapid degradation, and eases the local skin administration and penetration.

摘要

姜黄素(CUR)在皮肤病治疗方面显示出显著的疗效,但有效的经皮给药仍然是一个主要挑战,这激发了人们对新型系统的设计兴趣,以促进 CUR 的分散、保存,并促进其向皮肤深层输送。本工作旨在通过咪喹莫特(IMQ)诱导的银屑病模型研究由胶束型胆碱杯[4]芳烃两亲物(CALIX)和 CUR 形成的纳米水凝胶在皮肤病治疗中的潜力。银屑病斑块与异常角化、紧密连接(TJ)蛋白的异常分布以及炎症标志物的表达增强有关。与未治疗的 IMQ 组相比,纳米水凝胶恢复了 TJ 蛋白 ZO1 和 occludin 的正常分布,并降低了 TNF-α 和诱导型一氧化氮合酶(iNOS)的表达。新颖之处在于基于杯[4]芳烃的纳米水凝胶作为一种用于 CUR 局部皮肤递送的潜在新型软材料。由于其物理化学和机械性能,纳米水凝胶提高了药物的水溶性,防止 CUR 快速降解,并便于局部皮肤给药和渗透。

https://cdn.ncbi.nlm.nih.gov/pmc/blobs/b368/7404063/2ee3e403eeb2/ijms-21-05053-g001.jpg

文献AI研究员

20分钟写一篇综述,助力文献阅读效率提升50倍。

立即体验

用中文搜PubMed

大模型驱动的PubMed中文搜索引擎

马上搜索

文档翻译

学术文献翻译模型,支持多种主流文档格式。

立即体验