Suppr超能文献

长链非编码 RNA DLX6-AS1 通过调节 miR-195-5p/VEGFA 信号通路促进膀胱癌进展。

Long non-coding RNA DLX6-AS1 facilitates bladder cancer progression through modulating miR-195-5p/VEGFA signaling pathway.

机构信息

Department of Urology, The Affiliated Huaian No.1 People's Hospital of Nanjing Medical University, Huai'an 223300, Jiangsu Province, China.

出版信息

Aging (Albany NY). 2020 Aug 3;12(16):16021-16034. doi: 10.18632/aging.103374.

Abstract

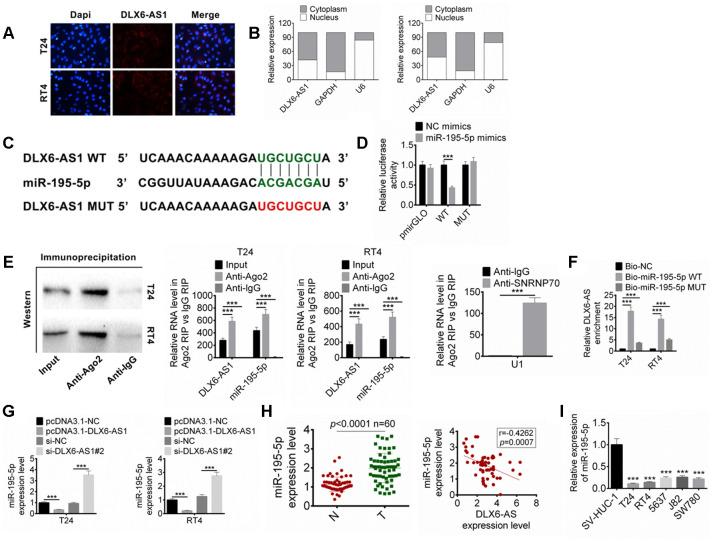
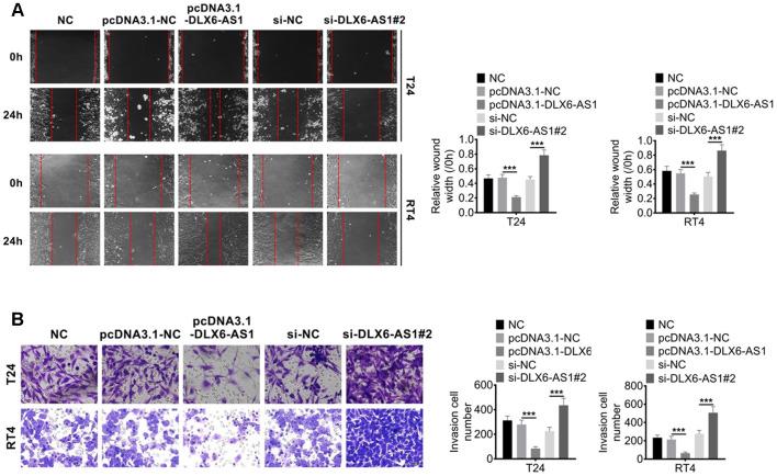
In this study, we aim at investigating the expression and regulation role of long non-coding RNA (lncRNA) DLX6-AS1 in bladder cancer (BC). DLX6-AS1 was highly expressed in BC tissues and significant negative correlation with the 5-year survival in the BC patients. The results showed that the proliferation, migration and invasion activities of BC cells were promoted by DLX6-AS1 overexpression, while cell apoptosis was repressed. However, knockdown DLX6-AS1 presented an pposite regulatory effect, and DLX6-AS1 knockdown delayed tumor . The potential target of DLX6-AS1 in BC was predicted and verified by RIP, RNA pull-down, and dual-luciferase reporter assays as miR-195-5p. The results showed that miR-195-5p was down-regulated in BC tissues, the expression of which was significantly negative correlated with DLX6-AS1 expression. In addition, the results also showed that miR-195-5p targeted and down-regulated the VEGFA. Knockdown of DLX6-AS1 up-regulated miR-195-5p expression and down-regulated VEGFA expression. Moreover, down-regulation of VEGFA expression caused by DLX6-AS1 inhibited phosphorylation of Raf-1, MEK1/2, and ERK1/2, while miR-195-5p inhibitors abolished the effect of silencing DLX6-AS1 expression. Our study demonstrated that DLX6-AS1 played an oncogenic role in BC through miR-195-5p-mediated VEGFA/Ras/Raf/MEK/ERK pathway.

摘要

在这项研究中,我们旨在研究长链非编码 RNA(lncRNA)DLX6-AS1 在膀胱癌(BC)中的表达和调节作用。DLX6-AS1 在 BC 组织中高表达,与 BC 患者的 5 年生存率呈显著负相关。结果表明,DLX6-AS1 过表达促进了 BC 细胞的增殖、迁移和侵袭活性,而抑制了细胞凋亡。然而,DLX6-AS1 的敲低则呈现出相反的调节作用,并且 DLX6-AS1 的敲低延迟了肿瘤的进展。通过 RIP、RNA 下拉和双荧光素酶报告基因检测等方法预测和验证了 DLX6-AS1 在 BC 中的潜在靶标 miR-195-5p。结果表明,miR-195-5p 在 BC 组织中下调,其表达与 DLX6-AS1 表达呈显著负相关。此外,结果还表明,miR-195-5p 靶向并下调了 VEGFA。DLX6-AS1 的敲低上调了 miR-195-5p 的表达并下调了 VEGFA 的表达。此外,DLX6-AS1 抑制 VEGFA 表达引起的 Raf-1、MEK1/2 和 ERK1/2 的磷酸化被抑制,而 miR-195-5p 抑制剂则消除了沉默 DLX6-AS1 表达的作用。我们的研究表明,DLX6-AS1 通过 miR-195-5p 介导的 VEGFA/Ras/Raf/MEK/ERK 通路在 BC 中发挥致癌作用。

https://cdn.ncbi.nlm.nih.gov/pmc/blobs/30de/7485696/6156c8026b65/aging-12-103374-g001.jpg

文献AI研究员

20分钟写一篇综述,助力文献阅读效率提升50倍。

立即体验

用中文搜PubMed

大模型驱动的PubMed中文搜索引擎

马上搜索

文档翻译

学术文献翻译模型,支持多种主流文档格式。

立即体验