Suppr超能文献

与 SARS-CoV-2 感染相关的中枢神经系统并发症:病理生理学的综合概念和病例报告。

Central nervous system complications associated with SARS-CoV-2 infection: integrative concepts of pathophysiology and case reports.

机构信息

Department of Neurology, Zucker School of Medicine at Hofstra/Northwell, Lenox Hill Hospital, New York, NY, USA.

Department of Neurology, Zucker School of Medicine at Hofstra/Northwell, North Shore University Hospital, Manhasset, NY, USA.

出版信息

J Neuroinflammation. 2020 Aug 6;17(1):231. doi: 10.1186/s12974-020-01896-0.

Abstract

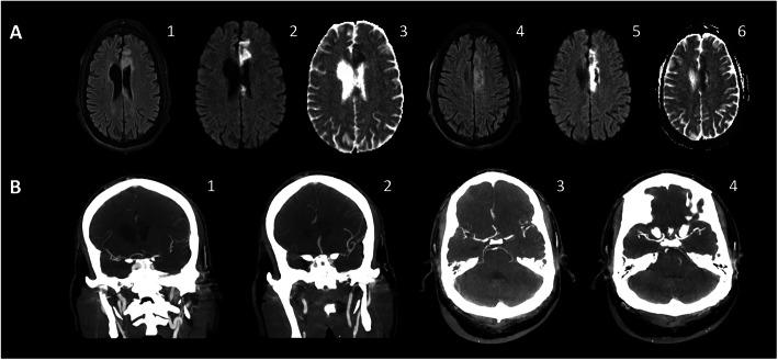
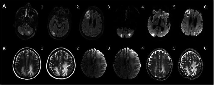
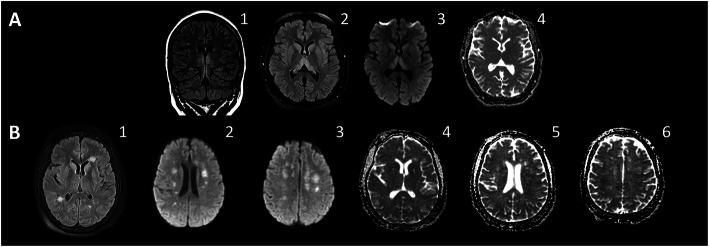
Coronavirus disease 2019 (COVID-19) is a highly infectious pandemic caused by a novel coronavirus called severe acute respiratory syndrome coronavirus 2 (SARS-CoV-2). It frequently presents with unremitting fever, hypoxemic respiratory failure, and systemic complications (e.g., gastrointestinal, renal, cardiac, and hepatic involvement), encephalopathy, and thrombotic events. The respiratory symptoms are similar to those accompanying other genetically related beta-coronaviruses (CoVs) such as severe acute respiratory syndrome CoV (SARS-CoV) and Middle East Respiratory Syndrome CoV (MERS-CoV). Hypoxemic respiratory symptoms can rapidly progress to Acute Respiratory Distress Syndrome (ARDS) and secondary hemophagocytic lymphohistiocytosis, leading to multi-organ system dysfunction syndrome. Severe cases are typically associated with aberrant and excessive inflammatory responses. These include significant systemic upregulation of cytokines, chemokines, and pro-inflammatory mediators, associated with increased acute-phase proteins (APPs) production such as hyperferritinemia and elevated C-reactive protein (CRP), as well as lymphocytopenia. The neurological complications of SARS-CoV-2 infection are high among those with severe and critical illnesses. This review highlights the central nervous system (CNS) complications associated with COVID-19 attributed to primary CNS involvement due to rare direct neuroinvasion and more commonly secondary CNS sequelae due to exuberant systemic innate-mediated hyper-inflammation. It also provides a theoretical integration of clinical and experimental data to elucidate the pathogenesis of these disorders. Specifically, how systemic hyper-inflammation provoked by maladaptive innate immunity may impair neurovascular endothelial function, disrupt BBB, activate CNS innate immune signaling pathways, and induce para-infectious autoimmunity, potentially contributing to the CNS complications associated with SARS-CoV-2 infection. Direct viral infection of the brain parenchyma causing encephalitis, possibly with concurrent neurovascular endotheliitis and CNS renin angiotensin system (RAS) dysregulation, is also reviewed.

摘要

新型冠状病毒病(COVID-19)是由一种新型冠状病毒(严重急性呼吸综合征冠状病毒 2[SARS-CoV-2])引起的高度传染性大流行疾病。它常表现为持续发热、低氧性呼吸衰竭和全身并发症(如胃肠道、肾脏、心脏和肝脏受累)、脑病和血栓事件。呼吸道症状类似于其他基因相关的β冠状病毒(CoV),如严重急性呼吸综合征 CoV(SARS-CoV)和中东呼吸综合征 CoV(MERS-CoV)。低氧血症呼吸症状可迅速进展为急性呼吸窘迫综合征(ARDS)和继发噬血细胞性淋巴组织细胞增多症,导致多器官系统功能障碍综合征。严重病例通常与异常和过度炎症反应有关。这些包括细胞因子、趋化因子和促炎介质的全身性显著上调,与急性相蛋白(APP)如高血铁蛋白血症和 C 反应蛋白(CRP)升高以及淋巴细胞减少症的产生相关。SARS-CoV-2 感染的神经系统并发症在严重和危重病患者中很高。这篇综述强调了 COVID-19 相关的中枢神经系统(CNS)并发症归因于由于罕见的直接神经入侵和更常见的继发于过度全身固有介导的高炎症的 CNS 后遗症导致的原发性 CNS 受累。它还提供了临床和实验数据的理论整合,以阐明这些疾病的发病机制。具体而言,固有免疫失调引起的全身性过度炎症如何可能损害神经血管内皮功能,破坏血脑屏障,激活 CNS 固有免疫信号通路,并诱导副感染性自身免疫,这可能与 SARS-CoV-2 感染相关的 CNS 并发症有关。脑实质的直接病毒感染导致脑炎,可能伴有并发的神经血管内皮炎和 CNS 肾素血管紧张素系统(RAS)失调,也进行了综述。

https://cdn.ncbi.nlm.nih.gov/pmc/blobs/358f/7409651/910fc9dc3e56/12974_2020_1896_Fig1_HTML.jpg

文献AI研究员

20分钟写一篇综述,助力文献阅读效率提升50倍。

立即体验

用中文搜PubMed

大模型驱动的PubMed中文搜索引擎

马上搜索

文档翻译

学术文献翻译模型,支持多种主流文档格式。

立即体验