Suppr超能文献

长链非编码 RNA01134 通过海绵吸附 microRNA-4784 和下调结构特异性识别蛋白 1 加速肝细胞癌进展。

Long intergenic noncoding RNA01134 accelerates hepatocellular carcinoma progression by sponging microRNA-4784 and downregulating structure specific recognition protein 1.

机构信息

Department of thyroid and breast surgery, The Third Affiliated Hospital of Sun Yat-sen University , Guangzhou, China.

Department of breast surgery, The Third Affiliated Hospital of Guangzhou medical college , Guangzhou, China.

出版信息

Bioengineered. 2020 Dec;11(1):1016-1026. doi: 10.1080/21655979.2020.1818508.

Abstract

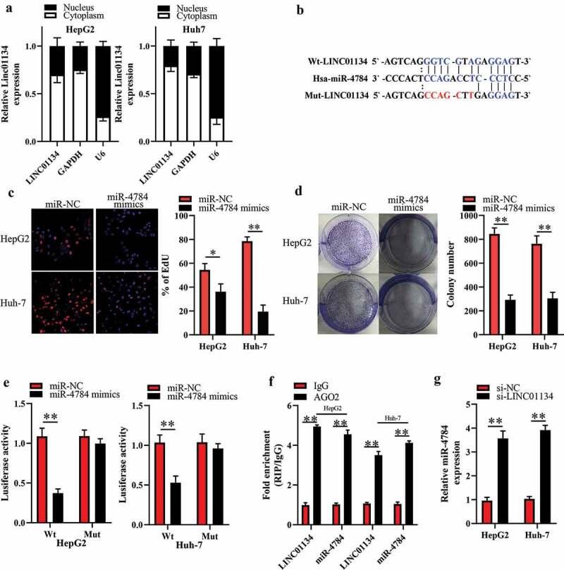
Dysregulation of long noncoding RNAs (lncRNAs) has been suggested to foster the carcinogenesis of hepatocellular carcinoma (HCC). To date, the role of long intergenic noncoding RNA01134 (LINC01134) in HCC have never been researched yet. Herein, we found that LINC01134 was highly expressed in HCC tissues in comparison with the matched normal liver tissues and increased LINC01134 expression correlated with shorter overall survival of patients with HCC. Additionally, we demonstrated LINC01134 downregulation significantly suppressed the proliferation ability and colony formation capacity of HCC cells. Furthermore, we revealed that LINC01134 functioned as a competitive endogenous RNA (ceRNA) for miR-4784 to upregulate structure-specific recognition protein 1 (SSRP1) in HCC cells. Meanwhile, miR-4784 inhibitor or restoration of SSRP1 could markedly attenuate the inhibitory effect of LINC01134 downregulation on HCC cells. Taken together, LINC01134 may promote the carcinogenesis of HCC at least partly via the miR-4784/SSRP1 axis. Therefore, LINC01134/miR-4784/SSRP1 axis should be developed as the promising therapeutic target for HCC.

摘要

长链非编码 RNA(lncRNAs)的失调被认为促进了肝细胞癌(HCC)的发生。迄今为止,长基因间非编码 RNA01134(LINC01134)在 HCC 中的作用尚未被研究过。在此,我们发现与匹配的正常肝组织相比,LINC01134 在 HCC 组织中表达水平较高,并且 LINC01134 表达的增加与 HCC 患者的总生存期缩短相关。此外,我们证明 LINC01134 的下调显著抑制了 HCC 细胞的增殖能力和集落形成能力。此外,我们揭示了 LINC01134 作为 HCC 细胞中 miR-4784 的竞争性内源性 RNA(ceRNA)发挥作用,以上调结构特异性识别蛋白 1(SSRP1)。同时,miR-4784 抑制剂或 SSRP1 的恢复可以显著减弱 LINC01134 下调对 HCC 细胞的抑制作用。总之,LINC01134 可能至少部分通过 miR-4784/SSRP1 轴促进 HCC 的发生。因此,LINC01134/miR-4784/SSRP1 轴可作为 HCC 的有前途的治疗靶点。

https://cdn.ncbi.nlm.nih.gov/pmc/blobs/e894/8291876/1c0f04992b48/KBIE_A_1818508_UF0001_OC.jpg

文献AI研究员

20分钟写一篇综述,助力文献阅读效率提升50倍。

立即体验

用中文搜PubMed

大模型驱动的PubMed中文搜索引擎

马上搜索

文档翻译

学术文献翻译模型,支持多种主流文档格式。

立即体验