Suppr超能文献

自噬在衰老和老化过程中使 SIRT1 下调。

SIRT1 is downregulated by autophagy in senescence and ageing.

机构信息

Penn Epigenetics Institute, Perelman School of Medicine, University of Pennsylvania, Philadelphia, PA, USA.

Department of Cell and Developmental Biology, Perelman School of Medicine, University of Pennsylvania, Philadelphia, PA, USA.

出版信息

Nat Cell Biol. 2020 Oct;22(10):1170-1179. doi: 10.1038/s41556-020-00579-5. Epub 2020 Sep 28.

Abstract

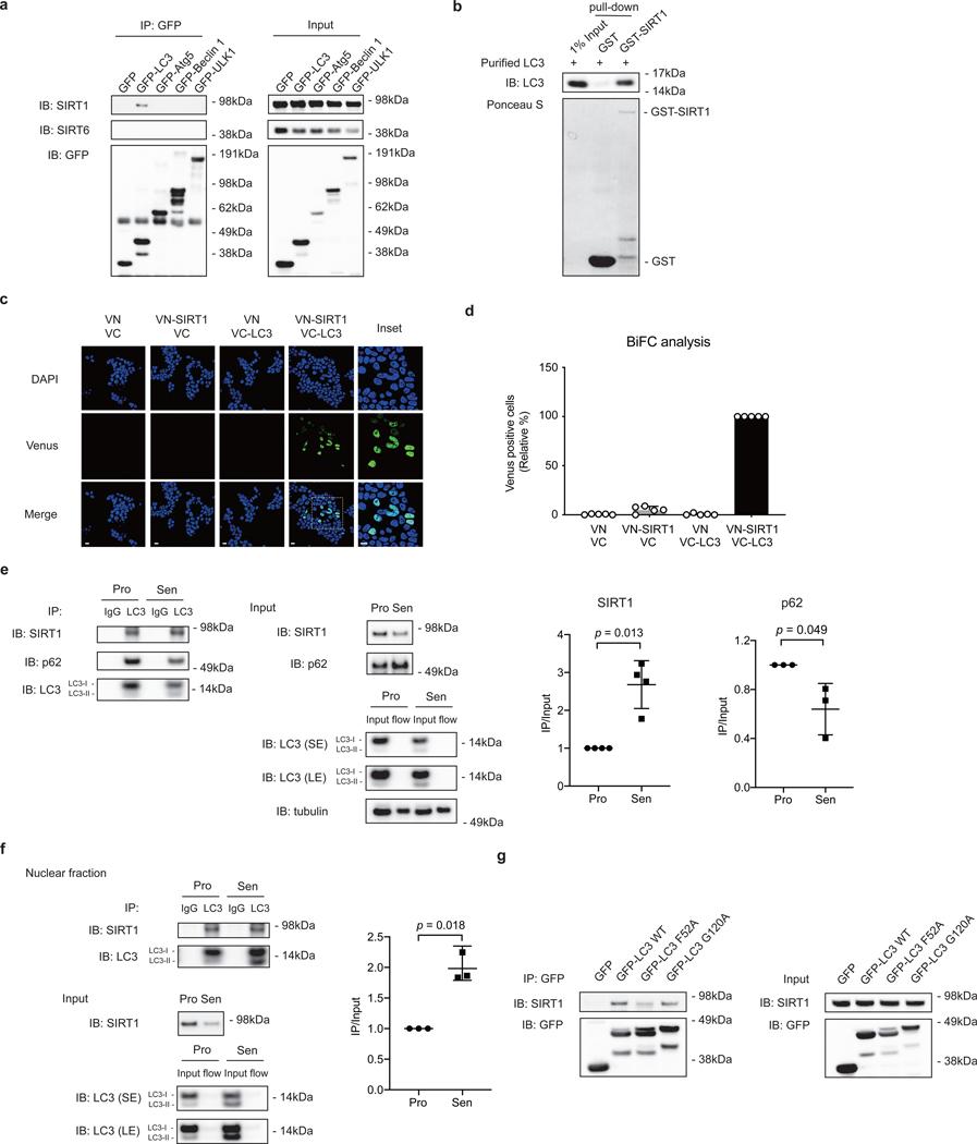
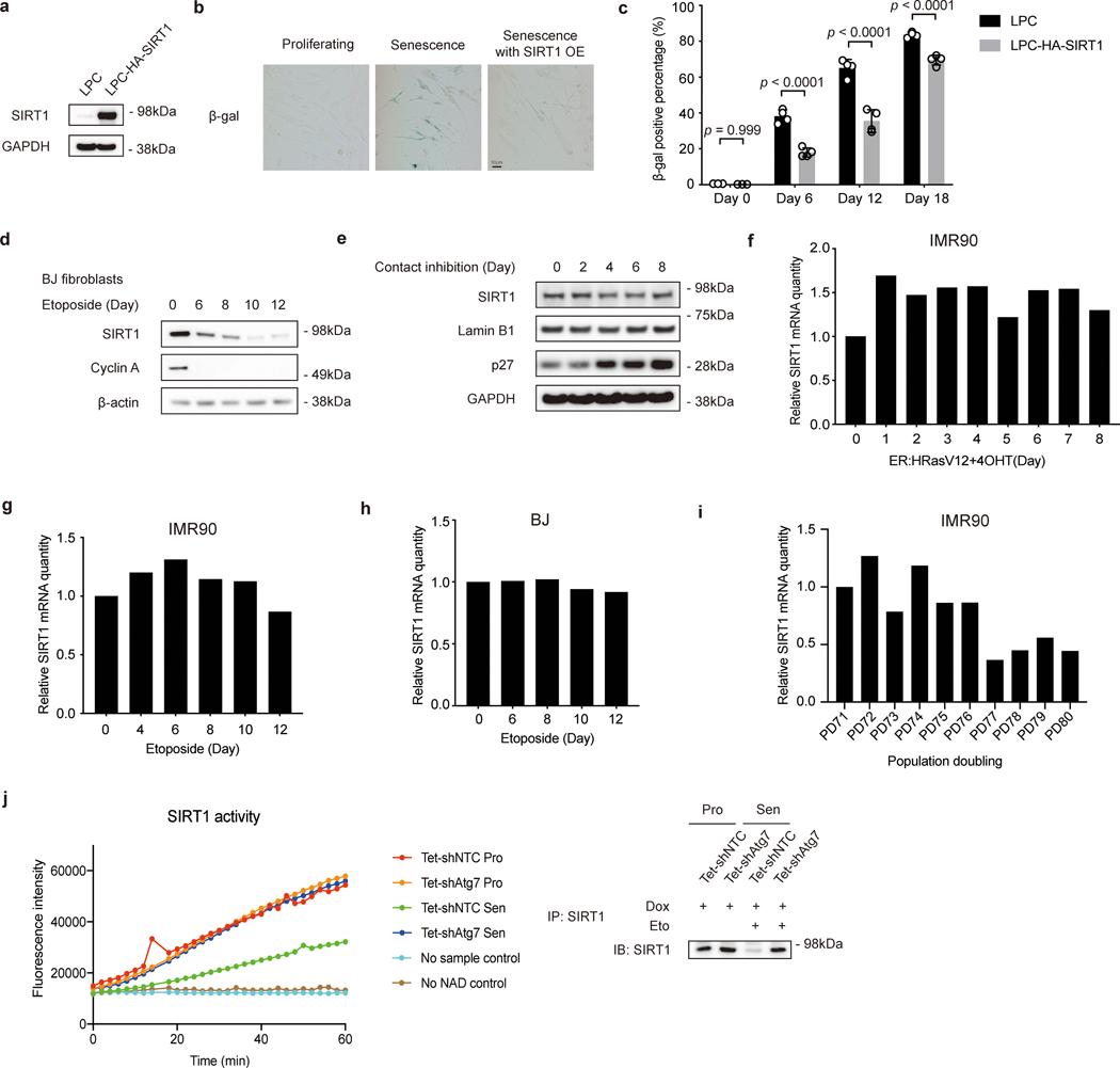
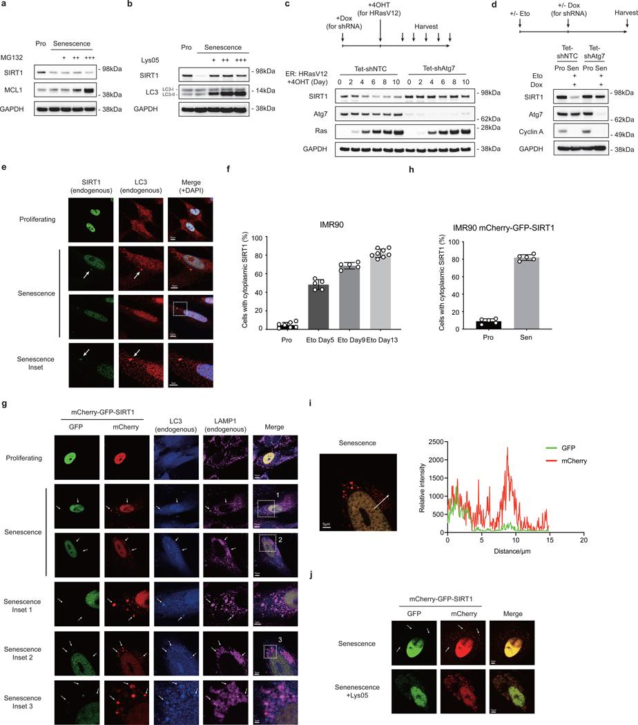
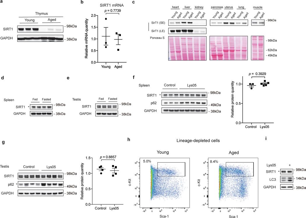
SIRT1 (Sir2) is an NAD-dependent deacetylase that plays critical roles in a broad range of biological events, including metabolism, the immune response and ageing. Although there is strong interest in stimulating SIRT1 catalytic activity, the homeostasis of SIRT1 at the protein level is poorly understood. Here we report that macroautophagy (hereafter referred to as autophagy), a catabolic membrane trafficking pathway that degrades cellular components through autophagosomes and lysosomes, mediates the downregulation of mammalian SIRT1 protein during senescence and in vivo ageing. In senescence, nuclear SIRT1 is recognized as an autophagy substrate and is subjected to cytoplasmic autophagosome-lysosome degradation, via the autophagy protein LC3. Importantly, the autophagy-lysosome pathway contributes to the loss of SIRT1 during ageing of several tissues related to the immune and haematopoietic system in mice, including the spleen, thymus, and haematopoietic stem and progenitor cells, as well as in CD8CD28 T cells from aged human donors. Our study reveals a mechanism in the regulation of the protein homeostasis of SIRT1 and suggests a potential strategy to stabilize SIRT1 to promote productive ageing.

摘要

SIRT1(Sir2)是一种依赖 NAD 的去乙酰化酶,在广泛的生物学事件中发挥着关键作用,包括代谢、免疫反应和衰老。尽管人们对刺激 SIRT1 催化活性有浓厚的兴趣,但 SIRT1 蛋白水平的动态平衡却知之甚少。在这里,我们报告说,巨自噬(以下简称自噬),一种分解细胞成分的分解代谢膜运输途径,通过自噬体和溶酶体,介导哺乳动物 SIRT1 蛋白在衰老和体内衰老过程中的下调。在衰老过程中,核 SIRT1 被识别为自噬底物,并通过自噬蛋白 LC3 被细胞质自噬体-溶酶体降解。重要的是,自噬-溶酶体途径有助于在几种与免疫和造血系统相关的组织的衰老过程中 SIRT1 的丧失,包括脾脏、胸腺、造血干细胞和祖细胞,以及来自老年人类供体的 CD8CD28 T 细胞。我们的研究揭示了 SIRT1 蛋白动态平衡调节的一种机制,并提出了一种稳定 SIRT1 以促进健康衰老的潜在策略。

https://cdn.ncbi.nlm.nih.gov/pmc/blobs/3048/7805578/ecf34ac47187/nihms-1622366-f0006.jpg

文献AI研究员

20分钟写一篇综述,助力文献阅读效率提升50倍。

立即体验

用中文搜PubMed

大模型驱动的PubMed中文搜索引擎

马上搜索

文档翻译

学术文献翻译模型,支持多种主流文档格式。

立即体验