Suppr超能文献

PINCH-1 通过调节线粒体动力学促进脯氨酸合成和肿瘤生长。

PINCH-1 regulates mitochondrial dynamics to promote proline synthesis and tumor growth.

机构信息

Guangdong Provincial Key Laboratory of Cell Microenvironment and Disease Research, Shenzhen Key Laboratory of Cell Microenvironment, Academy for Advanced Interdisciplinary Studies and Department of Biology, Southern University of Science and Technology, Shenzhen, China.

Department of Pathology, Shenzhen University Health Science Center, Shenzhen, China.

出版信息

Nat Commun. 2020 Oct 1;11(1):4913. doi: 10.1038/s41467-020-18753-6.

Abstract

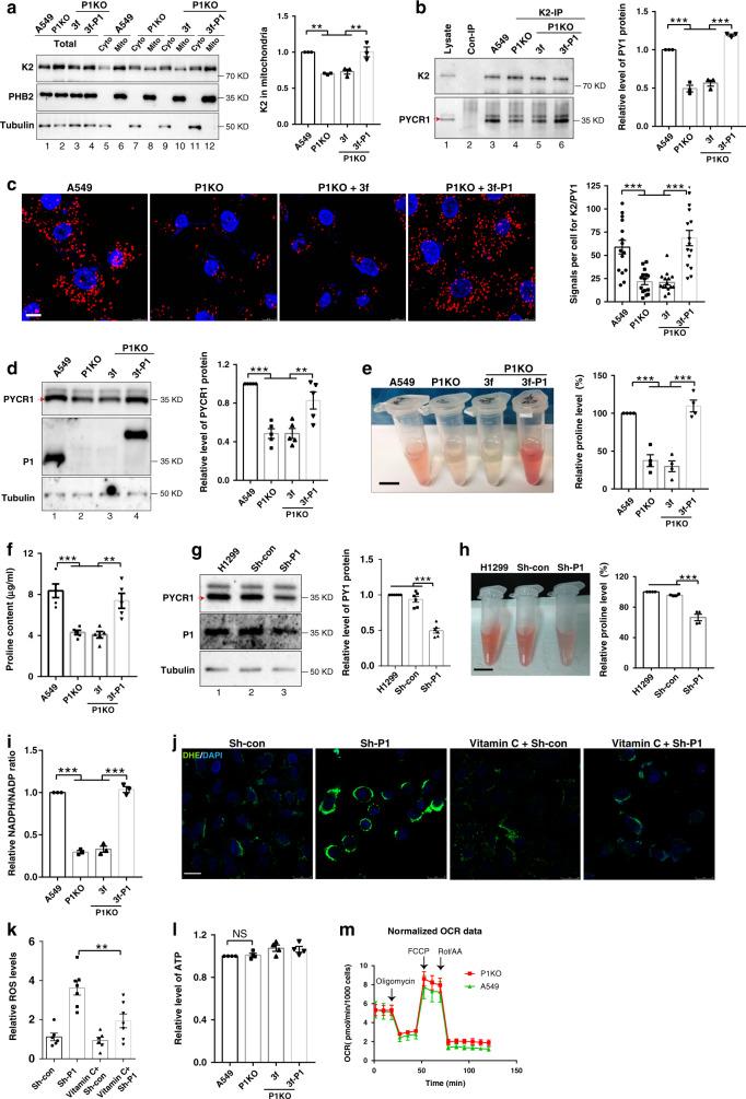
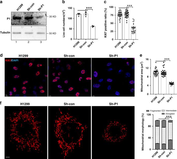
Reprograming of proline metabolism is critical for tumor growth. Here we show that PINCH-1 is highly expressed in lung adenocarcinoma and promotes proline synthesis through regulation of mitochondrial dynamics. Knockout (KO) of PINCH-1 increases dynamin-related protein 1 (DRP1) expression and mitochondrial fragmentation, which suppresses kindlin-2 mitochondrial translocation and interaction with pyrroline-5-carboxylate reductase 1 (PYCR1), resulting in inhibition of proline synthesis and cell proliferation. Depletion of DRP1 reverses PINCH-1 deficiency-induced defects on mitochondrial dynamics, proline synthesis and cell proliferation. Furthermore, overexpression of PYCR1 in PINCH-1 KO cells restores proline synthesis and cell proliferation, and suppresses DRP1 expression and mitochondrial fragmentation. Finally, ablation of PINCH-1 from lung adenocarcinoma in mouse increases DRP1 expression and inhibits PYCR1 expression, proline synthesis, fibrosis and tumor growth. Our results identify a signaling axis consisting of PINCH-1, DRP1 and PYCR1 that regulates mitochondrial dynamics and proline synthesis, and suggest an attractive strategy for alleviation of tumor growth.

摘要

脯氨酸代谢的重编程对肿瘤生长至关重要。在这里,我们表明 PINCH-1 在肺腺癌中高度表达,并通过调节线粒体动力学促进脯氨酸合成。PINCH-1 的敲除 (KO) 增加了动力相关蛋白 1 (DRP1) 的表达和线粒体碎片化,从而抑制了连接蛋白 2 (kindlin-2) 的线粒体易位和与吡咯啉-5-羧酸还原酶 1 (PYCR1) 的相互作用,导致脯氨酸合成和细胞增殖受到抑制。DRP1 的耗竭逆转了 PINCH-1 缺乏引起的线粒体动力学、脯氨酸合成和细胞增殖缺陷。此外,在 PINCH-1 KO 细胞中转染 PYCR1 可恢复脯氨酸合成和细胞增殖,并抑制 DRP1 的表达和线粒体碎片化。最后,在小鼠的肺腺癌中敲除 PINCH-1 可增加 DRP1 的表达并抑制 PYCR1 的表达、脯氨酸合成、纤维化和肿瘤生长。我们的研究结果确定了由 PINCH-1、DRP1 和 PYCR1 组成的信号轴,该信号轴调节线粒体动力学和脯氨酸合成,并为缓解肿瘤生长提供了一种有吸引力的策略。

https://cdn.ncbi.nlm.nih.gov/pmc/blobs/29a6/7529891/796c8ef1cfd3/41467_2020_18753_Fig1_HTML.jpg

文献AI研究员

20分钟写一篇综述,助力文献阅读效率提升50倍。

立即体验

用中文搜PubMed

大模型驱动的PubMed中文搜索引擎

马上搜索

文档翻译

学术文献翻译模型,支持多种主流文档格式。

立即体验