Suppr超能文献

Sirtuin 3 抑制香烟烟雾诱导的 COPD 气道上皮线粒体氧化应激。

Sirtuin 3 Inhibits Airway Epithelial Mitochondrial Oxidative Stress in Cigarette Smoke-Induced COPD.

机构信息

Department of Respiratory and Critical Care Medicine, The Second Affiliated Hospital of Xi'an Jiaotong University, Xi'an, Shaanxi, China.

Pulmonary Cell Research & Clinic of Respiratory Medicine, Dept. Biomedicine University of Basel & University Hospital of Basel, CH-4031 Basel, Switzerland.

出版信息

Oxid Med Cell Longev. 2020 Sep 11;2020:7582980. doi: 10.1155/2020/7582980. eCollection 2020.

Abstract

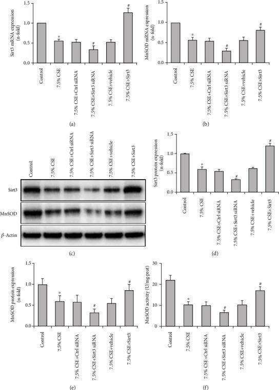
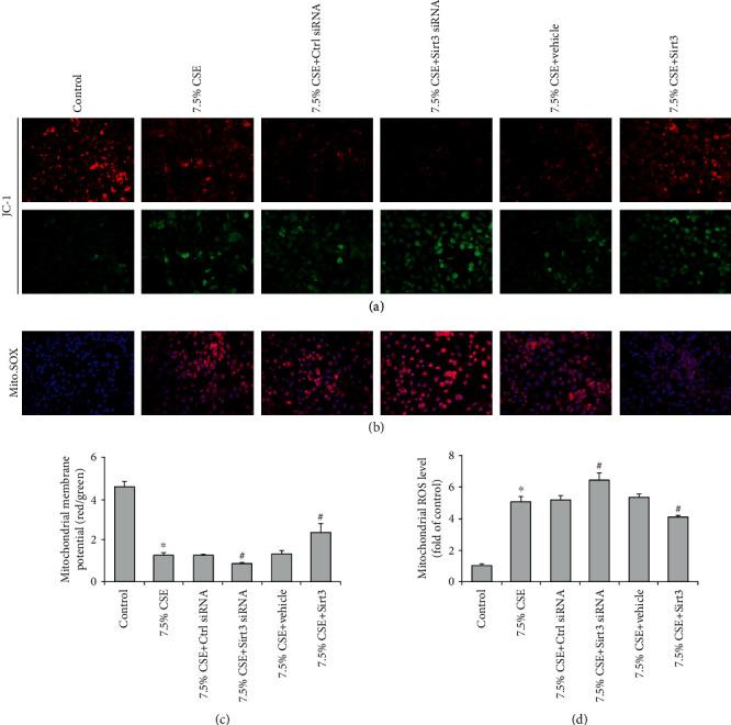
Mitochondrial damage in airway epithelial cells plays an important role in the pathogenesis of chronic obstructive pulmonary disease (COPD). Sirtuin 3 (Sirt3) is a mitochondrial deacetylase regulating mitochondrial function, but its role in the pathogenesis of COPD is still unknown. The aim of the present study was to investigate the effect of Sirt3 on airway epithelial mitochondria in cigarette smoke-induced COPD. Our present study has shown serious airway inflammation, alveolar space enlargement, and mitochondrial damage of the airway epithelium in COPD rats. Compared to the control rats, Sirt3 protein expression was significantly decreased in the airway epithelium and lung tissue homogenate from COPD rats. In airway epithelial cells (BEAS-2B), cigarette smoke extract (CSE) treatment significantly decreased mRNA and protein expression of Sirt3 and manganese superoxide dismutase (MnSOD), as well as MnSOD activity in a concentration and time-dependent manner. Sirt3 siRNA further significantly intensified the decreases in MnSOD expression and activity and aggravated mitochondrial oxidative stress and cell injury when airway epithelial cells were treated with 7.5% CSE. In contrast, Sirt3 overexpression significantly prevented the decrease of MnSOD expression and activity and improved mitochondrial oxidative stress and cell injury in CSE-treated airway epithelial cells. These data suggest that Sirt3 inhibits airway epithelial mitochondrial oxidative stress possibly through the regulation of MnSOD, thereby contributing to the pathogenesis of COPD.

摘要

气道上皮细胞中线粒体损伤在慢性阻塞性肺疾病(COPD)的发病机制中起着重要作用。Sirtuin 3(Sirt3)是一种调节线粒体功能的线粒体去乙酰化酶,但它在 COPD 发病机制中的作用尚不清楚。本研究旨在探讨 Sirt3 对香烟烟雾诱导的 COPD 气道上皮线粒体的影响。本研究表明,COPD 大鼠存在严重的气道炎症、肺泡空间扩大和气道上皮的线粒体损伤。与对照组大鼠相比,COPD 大鼠气道上皮和肺组织匀浆中的 Sirt3 蛋白表达明显降低。在气道上皮细胞(BEAS-2B)中,香烟烟雾提取物(CSE)处理以浓度和时间依赖性方式显著降低 Sirt3 和锰超氧化物歧化酶(MnSOD)的 mRNA 和蛋白表达以及 MnSOD 活性。当气道上皮细胞用 7.5% CSE 处理时,Sirt3 siRNA 进一步显著增强了 MnSOD 表达和活性的降低,并加重了线粒体氧化应激和细胞损伤。相比之下,Sirt3 过表达显著防止了 CSE 处理的气道上皮细胞中 MnSOD 表达和活性的降低,并改善了线粒体氧化应激和细胞损伤。这些数据表明,Sirt3 通过调节 MnSOD 抑制气道上皮线粒体氧化应激,从而有助于 COPD 的发病机制。

https://cdn.ncbi.nlm.nih.gov/pmc/blobs/ee10/7503124/5f89b5c7c79d/OMCL2020-7582980.001.jpg

文献AI研究员

20分钟写一篇综述,助力文献阅读效率提升50倍。

立即体验

用中文搜PubMed

大模型驱动的PubMed中文搜索引擎

马上搜索

文档翻译

学术文献翻译模型,支持多种主流文档格式。

立即体验