Suppr超能文献

PA 突变在病毒进化过程中协同作用,增加具有广泛宿主范围的当代 H5N1 流感病毒的复制。

PA Mutations Inherited during Viral Evolution Act Cooperatively To Increase Replication of Contemporary H5N1 Influenza Virus with an Expanded Host Range.

机构信息

Department of Infectious Diseases, Graduate School of Medical Sciences, Kyoto Prefectural University of Medicine, Kyoto, Japan.

Faculty of Science and Engineering, Kindai University, Osaka, Japan.

出版信息

J Virol. 2020 Dec 9;95(1). doi: 10.1128/JVI.01582-20.

Abstract

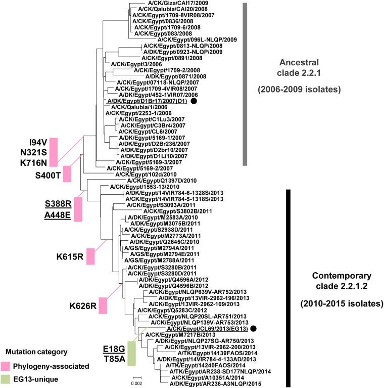
Adaptive mutations and/or reassortments in avian influenza virus polymerase subunits PA, PB1, and PB2 are one of the major factors enabling the virus to overcome the species barrier to infect humans. The majority of human adaptation polymerase mutations have been identified in PB2; fewer adaptation mutations have been characterized in PA and PB1. Clade 2.2.1 avian influenza viruses (H5N1) are unique to Egypt and generally carry the human adaptation PB2-E627K substitution during their dissemination in nature. In this study, we identified other human adaptation polymerase mutations by analyzing phylogeny-associated PA mutations that H5N1 clade 2.2.1 viruses have accumulated during their evolution in the field. This analysis identified several PA mutations that produced increased replication by contemporary clade 2.2.1.2 viruses in human cells and in mice compared to ancestral clade 2.2.1 viruses. The PA mutations acted cooperatively to increase viral polymerase activity and replication in both avian and human cells, with the effect being more prominent in human cells at 33°C than at 37°C. These results indicated that PA mutations have a role in establishing contemporary clade 2.2.1.2 virus infections in poultry and in adaptation to infect mammals. Our study provided data on the mechanism for PA mutations to accumulate during avian influenza virus evolution and extend the viral host range. Clade 2.2.1 avian influenza viruses (H5N1) are unique to Egypt and have caused the highest number of human H5N1 influenza cases worldwide, presenting a serious global public health threat. These viruses may have the greatest evolutionary potential for adaptation from avian hosts to human hosts. Using a comprehensive phylogenetic approach, we identified several novel clade 2.2.1 virus polymerase mutations that increased viral replication in human cells and in mice. These mutations were in the polymerase PA subunit and acted cooperatively with the E627K mutation in the PB2 polymerase subunit to provide higher replication in contemporary clade 2.2.1.2 viruses than in ancestral clade 2.2.1 viruses. These data indicated that ongoing clade 2.2.1 dissemination in the field has driven PA mutations to modify viral replication to enable host range expansion, with a higher public health risk for humans.

摘要

甲型流感病毒聚合酶亚单位 PA、PB1 和 PB2 的适应性突变和/或重配是病毒克服物种障碍感染人类的主要因素之一。大多数人类适应性聚合酶突变已在 PB2 中鉴定;在 PA 和 PB1 中鉴定出较少的适应性突变。Clade 2.2.1 禽流感病毒(H5N1)在埃及是独一无二的,并且在其在自然界中的传播过程中通常携带人类适应性 PB2-E627K 取代。在这项研究中,我们通过分析 H5N1 clade 2.2.1 病毒在其在野外进化过程中积累的与系统发育相关的 PA 突变,鉴定了其他人类适应性聚合酶突变。该分析鉴定出了几种 PA 突变,这些突变使当代 clade 2.2.1.2 病毒在人类细胞中的复制增加了,与祖先 clade 2.2.1 病毒相比,在小鼠中的复制增加了。PA 突变协同作用,增加了病毒聚合酶在禽类和人类细胞中的活性和复制,在 33°C 时的效果比在 37°C 时更为明显。这些结果表明,PA 突变在建立当代 clade 2.2.1.2 病毒在禽类中的感染和适应感染哺乳动物方面发挥了作用。我们的研究提供了甲型流感病毒进化过程中 PA 突变积累的机制数据,并扩展了病毒的宿主范围。Clade 2.2.1 禽流感病毒(H5N1)在埃及是独一无二的,并且在全球范围内导致了最高数量的人类 H5N1 流感病例,这对全球公共卫生构成了严重威胁。这些病毒可能具有从禽类宿主适应感染哺乳动物的最大进化潜力。使用全面的系统发育方法,我们鉴定了几种新型 clade 2.2.1 病毒聚合酶突变,这些突变增加了病毒在人类细胞和小鼠中的复制。这些突变位于聚合酶 PA 亚基中,与 PB2 聚合酶亚基中的 E627K 突变协同作用,为当代 clade 2.2.1.2 病毒提供了比祖先 clade 2.2.1 病毒更高的复制。这些数据表明,在野外持续传播的 clade 2.2.1 已促使 PA 突变改变病毒复制,从而扩大宿主范围,对人类的公共卫生风险更高。

https://cdn.ncbi.nlm.nih.gov/pmc/blobs/bf16/7737735/68f78abfdf56/JVI.01582-20-f0001.jpg

文献AI研究员

20分钟写一篇综述,助力文献阅读效率提升50倍。

立即体验

用中文搜PubMed

大模型驱动的PubMed中文搜索引擎

马上搜索

文档翻译

学术文献翻译模型,支持多种主流文档格式。

立即体验