Suppr超能文献

一名24岁肥胖I型糖尿病患者的COVID-19诱发糖尿病酮症酸中毒和急性呼吸窘迫综合征

COVID-19-Induced Diabetic Ketoacidosis and Acute Respiratory Distress Syndrome in an Obese 24-Year-Old Type I Diabetic.

作者信息

Singh Sukhdev, Foster Allison, Khan Zohaib, Siddiqui Aisha, Atere Muhammed, Nfonoyim Jay M

机构信息

College of Medicine, American University of Antigua, New York City, NY, USA.

Department of Internal Medicine, Richmond University Medical Center, Staten Island, NY, USA.

出版信息

Am J Case Rep. 2020 Oct 26;21:e925586. doi: 10.12659/AJCR.925586.

Abstract

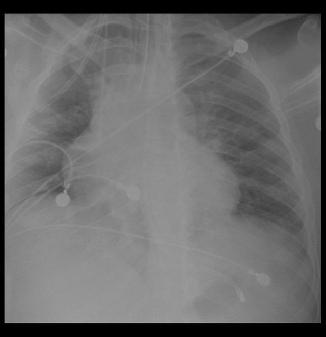
BACKGROUND In early 2020, severe acute respiratory syndrome-corona virus 2 caused an outbreak of a viral pneumonia that rapidly progressed to a global pandemic. Most cases presented with mild respiratory symptoms and required only supportive care with instructions to self-quarantine at home. Others had more severe symptoms that became complicated by acute respiratory distress syndrome (ARDS) and required hospitalization. CASE REPORT In this report, we present the case of a young patient in New York City who presented to our hospital with coronavirus disease 2019-induced diabetic ketoacidosis (DKA) that progressed to ARDS and subsequent death. The patient was managed for DKA on presentation with insulin protocol and acidosis management. However, it became evident that he had underlying respiratory complications, which later presented as ARDS requiring mechanical ventilation and antibiotics. CONCLUSIONS We recommend that clinicians be aware of this potentially fatal complication in all patients with pre-existing diabetes. Simultaneously, a low threshold for intubation should be advocated for patients with concurrent COVID-19 and type I diabetes mellitus since the potential for poor clinical outcomes from respiratory demise may be lessened by early respiratory intervention.

摘要

背景 2020 年初,严重急性呼吸综合征冠状病毒 2 引发了一场病毒性肺炎疫情,并迅速演变成全球大流行。大多数病例表现为轻度呼吸道症状,仅需给予支持性治疗并指示在家自我隔离。其他病例则出现更严重的症状,并因急性呼吸窘迫综合征(ARDS)而复杂化,需要住院治疗。病例报告 在本报告中,我们介绍了一名纽约市的年轻患者,该患者因 2019 冠状病毒病诱发糖尿病酮症酸中毒(DKA),进而发展为 ARDS 并最终死亡。患者就诊时按照胰岛素方案和酸中毒管理措施对 DKA 进行治疗。然而,很明显他存在潜在的呼吸道并发症,后来表现为需要机械通气和使用抗生素的 ARDS。结论 我们建议临床医生对所有患有糖尿病的患者都要意识到这种潜在的致命并发症。同时,对于合并 COVID-19 和 1 型糖尿病的患者,应提倡较低的插管阈值,因为早期呼吸干预可能会降低因呼吸衰竭导致不良临床结局的可能性。

https://cdn.ncbi.nlm.nih.gov/pmc/blobs/398e/7598147/0e1cf36a56e2/amjcaserep-21-e925586-g001.jpg

文献AI研究员

20分钟写一篇综述,助力文献阅读效率提升50倍。

立即体验

用中文搜PubMed

大模型驱动的PubMed中文搜索引擎

马上搜索

文档翻译

学术文献翻译模型,支持多种主流文档格式。

立即体验