Suppr超能文献

KRAS 野生型胰腺导管腺癌:分子病理学和治疗机会。

KRAS wild-type pancreatic ductal adenocarcinoma: molecular pathology and therapeutic opportunities.

机构信息

Department of Diagnostics and Public Health, Section of Pathology, University of Verona, 37134, Verona, Italy.

ARC-Net Research Center, University and Hospital Trust of Verona, 37134, Verona, Italy.

出版信息

J Exp Clin Cancer Res. 2020 Oct 28;39(1):227. doi: 10.1186/s13046-020-01732-6.

Abstract

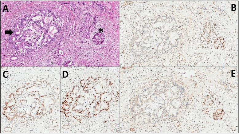
Pancreatic ductal adenocarcinoma (PDAC) is a deadly disease, whose main molecular trait is the MAPK pathway activation due to KRAS mutation, which is present in 90% of cases.The genetic landscape of KRAS wild type PDAC can be divided into three categories. The first is represented by tumors with an activated MAPK pathway due to BRAF mutation that occur in up to 4% of cases. The second includes tumors with microsatellite instability (MSI) due to defective DNA mismatch repair (dMMR), which occurs in about 2% of cases, also featuring a high tumor mutational burden. The third category is represented by tumors with kinase fusion genes, which marks about 4% of cases. While therapeutic molecular targeting of KRAS is an unresolved challenge, KRAS-wild type PDACs have potential options for tailored treatments, including BRAF antagonists and MAPK inhibitors for the first group, immunotherapy with anti-PD-1/PD-L1 agents for the MSI/dMMR group, and kinase inhibitors for the third group.This calls for a complementation of the histological diagnosis of PDAC with a routine determination of KRAS followed by a comprehensive molecular profiling of KRAS-negative cases.

摘要

胰腺导管腺癌(PDAC)是一种致命的疾病,其主要分子特征是由于 KRAS 突变导致的 MAPK 通路激活,这种突变存在于 90%的病例中。KRAS 野生型 PDAC 的遗传景观可以分为三类。第一类是由于 BRAF 突变导致 MAPK 通路激活的肿瘤,占病例的 4%左右。第二类包括由于 DNA 错配修复缺陷(dMMR)导致微卫星不稳定(MSI)的肿瘤,占病例的 2%左右,也具有较高的肿瘤突变负担。第三类是由激酶融合基因组成的肿瘤,占病例的 4%左右。虽然 KRAS 的治疗性分子靶向仍然是一个未解决的挑战,但 KRAS 野生型 PDAC 有潜在的治疗选择,包括针对第一组的 BRAF 拮抗剂和 MAPK 抑制剂,针对 MSI/dMMR 组的抗 PD-1/PD-L1 免疫疗法,以及针对第三组的激酶抑制剂。这就需要在对 PDAC 进行组织学诊断的基础上,常规检测 KRAS,并对 KRAS 阴性病例进行全面的分子分析。

https://cdn.ncbi.nlm.nih.gov/pmc/blobs/52b4/7594413/21a1d031ed76/13046_2020_1732_Fig1_HTML.jpg

文献AI研究员

20分钟写一篇综述,助力文献阅读效率提升50倍。

立即体验

用中文搜PubMed

大模型驱动的PubMed中文搜索引擎

马上搜索

文档翻译

学术文献翻译模型,支持多种主流文档格式。

立即体验