Suppr超能文献

以及结肠癌:原因还是后果?

and Colon Cancer: Cause or Consequence?

作者信息

Sawant Manasi, Baydoun Martha, Creusy Colette, Chabé Magali, Viscogliosi Eric, Certad Gabriela, Benamrouz-Vanneste Sadia

机构信息

Institut Pasteur de Lille, U1019-UMR 9017-CIIL-Centre d'Infection et d'Immunité de Lille, University of Lille, F-59000 Lille, France.

INSERM, CHU-Lille, U1189-ONCO-THAI-Assisted Laser Therapy and Immunotherapy for Oncology, University of Lille, F-59000 Lille, France.

出版信息

Microorganisms. 2020 Oct 27;8(11):1665. doi: 10.3390/microorganisms8111665.

Abstract

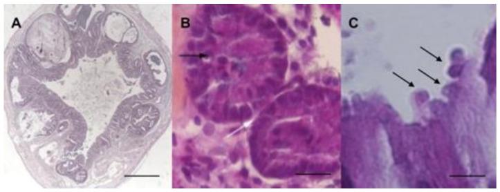
The number of cancers attributable to infectious agents represents over 20% of the global cancer burden. The apicomplexan intracellular parasite is currently considered one of the major causes of mild and severe diarrhea worldwide. However, less attention has been paid to its tumorigenic potential despite the high exposure of humans and animals to this ubiquitous parasite. Herein, we discuss the potential causal link between infection and digestive cancer, with particular emphasis on colon cancer, based on increasing clinical, epidemiological and experimental pieces of evidence supporting this association. In addition, we highlight the current knowledge about the potential mechanisms by which this parasite may contribute to cell transformation and parasite-induced cancer.

摘要

由感染因子导致的癌症数量占全球癌症负担的20%以上。顶复门细胞内寄生虫目前被认为是全球范围内导致轻度和重度腹泻的主要原因之一。然而,尽管人类和动物大量接触这种无处不在的寄生虫,但其致癌潜力却较少受到关注。在此,基于越来越多支持这种关联的临床、流行病学和实验证据,我们讨论了[寄生虫名称]感染与消化道癌症之间潜在的因果联系,尤其着重于结肠癌。此外,我们还强调了关于这种寄生虫可能促成细胞转化和寄生虫诱导癌症的潜在机制的现有知识。

https://cdn.ncbi.nlm.nih.gov/pmc/blobs/549f/7692234/2baa95ee602a/microorganisms-08-01665-g001.jpg

文献AI研究员

20分钟写一篇综述,助力文献阅读效率提升50倍。

立即体验

用中文搜PubMed

大模型驱动的PubMed中文搜索引擎

马上搜索

文档翻译

学术文献翻译模型,支持多种主流文档格式。

立即体验