Suppr超能文献

新型冠状病毒肺炎所致急性呼吸窘迫综合征患者的病例报告:应用静脉-静脉体外膜肺氧合和超保护性通气成功治疗。

Case Report of Patients with Acute Respiratory Distress Syndrome Caused by COVID-19: Successfully Treated by Venovenous Extracorporeal Membrane Oxygenation and an Ultra-Protective Ventilation.

机构信息

Division of Pulmonology, Department of Internal Medicine, Inha University Hospital, Incheon 22332, Korea.

Division of Critical Care Medicine, Department of Internal Medicine, Inha University Hospital, Incheon 22332, Korea.

出版信息

Medicina (Kaunas). 2020 Oct 29;56(11):570. doi: 10.3390/medicina56110570.

Abstract

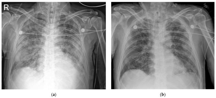
Coronavirus disease (COVID-19) started in Wuhan (China) at the end of 2019, and then increased rapidly. In patients with severe acute respiratory distress syndrome (ARDS) caused by COVID-19, venovenous extracorporeal membrane oxygenation (VV-ECMO) is considered a rescue therapy that provides adequate gas exchange. The way in which mechanical ventilation is applied during VV-ECMO is not clear, however it is associated with prognosis. Currently, the mortality rate of COVID-19 patients that receive VV-ECMO stands at approximately 50%. Here, we report three patients that successfully recovered from COVID-19-induced ARDS after VV-ECMO and implementation of an ultra-protective ventilation. This ventilation strategy involved maintaining a peak inspiratory pressure of ≤20 cmHO and a positive end-expiratory pressure (PEEP) of ≤ 10 cmHO, which are lower values than have been previously reported. Thus, we suggest that this ultra-protective ventilation be considered during VV-ECMO as it minimizes the ventilator-induced lung injury.

摘要

冠状病毒病(COVID-19)于 2019 年底在中国武汉开始爆发,随后迅速蔓延。在 COVID-19 引起的严重急性呼吸窘迫综合征(ARDS)患者中,静脉-静脉体外膜肺氧合(VV-ECMO)被认为是一种提供充分气体交换的抢救治疗方法。然而,在 VV-ECMO 期间应用机械通气的方式尚不清楚,但其与预后相关。目前,接受 VV-ECMO 的 COVID-19 患者的死亡率约为 50%。在这里,我们报告了三例 COVID-19 诱导的 ARDS 患者在接受 VV-ECMO 治疗和实施超保护性通气后成功康复的病例。这种通气策略包括将吸气峰压维持在≤20cmH2O 和呼气末正压(PEEP)≤10cmH2O,这些值低于之前报道的值。因此,我们建议在 VV-ECMO 期间考虑这种超保护性通气,因为它可以最大程度地减少呼吸机引起的肺损伤。

https://cdn.ncbi.nlm.nih.gov/pmc/blobs/b4ef/7692694/091f27877630/medicina-56-00570-g001.jpg

文献AI研究员

20分钟写一篇综述,助力文献阅读效率提升50倍。

立即体验

用中文搜PubMed

大模型驱动的PubMed中文搜索引擎

马上搜索

文档翻译

学术文献翻译模型,支持多种主流文档格式。

立即体验