Suppr超能文献

转化生长因子-β1介导的上皮-间质转化在鼓室硬化症发病机制中的作用

Role of TGF-β1-mediated epithelial-mesenchymal transition in the pathogenesis of tympanosclerosis.

作者信息

Qiu Jingjing, Wang Yanmei, Guo Wentao, Xu Ling, Mou Yakui, Cui Limei, Han Fengchan, Sun Yan

机构信息

Department of Otorhinolaryngology Head and Neck Surgery, The Affiliated Yantai Yuhuangding Hospital of Qingdao University, Yantai, Shandong 264000, P.R. China.

Department of Blood Purification, The Affiliated Yantai Yuhuangding Hospital of Qingdao University, Yantai, Shandong 264000, P.R. China.

出版信息

Exp Ther Med. 2021 Jan;21(1):6. doi: 10.3892/etm.2020.9438. Epub 2020 Nov 2.

Abstract

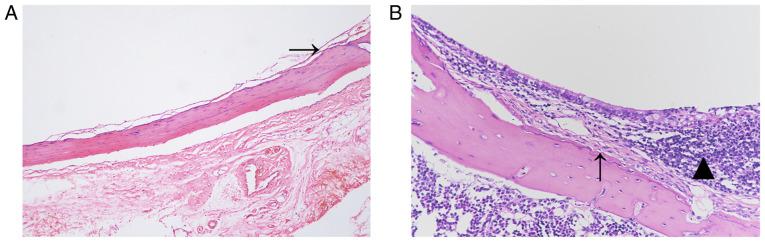
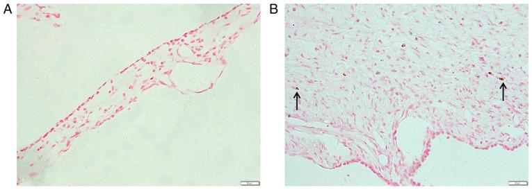
The present study aimed to explore the role of TGF-β1-mediated epithelial-mesenchymal transition (EMT) in the pathogenesis of tympanosclerosis. Sprague Dawley rats were injected with inactivated suspension to establish a rat model of tympanosclerosis. The rats were sacrificed 8 weeks after the model was established. H&E and von Kossa staining was used to observe the morphological changes of middle ear mucosa. Western blotting was used to detect the expression of TGF-β1 and EMT-associated proteins in the mucosa samples. Middle ear mucosal epithelial cells of rats were collected to establish a primary culture. The cultured cells were stimulated with TGF-β1 and the expression of EMT-associated proteins was detected by western blotting and immunofluorescence. In addition, the cells were treated with TGF-β receptor type I/II inhibitor and the expression level of EMT-associated proteins was detected by western blotting. Sclerotic lesions appeared on 72.4% of tympanic membranes, and marked inflammation, inflammatory cell infiltration and fibrosis were found in the middle ear mucosa of rat models of tympanosclerosis. In middle ear mucosa of rats with tympanosclerosis, the expression of mesenchymal cell markers increased and that of epithelial cell markers decreased compared with the control group. TGF-β1 stimulated the activation of the EMT pathway in middle ear mucosal epithelial cells, resulting in an increased expression of fibronectin and N-cadherin. In addition, a decreased expression level of EMT-associated proteins was observed when TGF-β1 was inhibited. In conclusion, the present study indicated that TGF-β1-mediated EMT may play an important role in the pathogenesis of tympanosclerosis.

摘要

本研究旨在探讨转化生长因子-β1(TGF-β1)介导的上皮-间质转化(EMT)在鼓室硬化症发病机制中的作用。将灭活的悬液注射到Sprague Dawley大鼠体内,以建立鼓室硬化症大鼠模型。在模型建立8周后处死大鼠。采用苏木精-伊红(H&E)染色和冯·科萨(von Kossa)染色观察中耳黏膜的形态学变化。采用蛋白质免疫印迹法检测黏膜样本中TGF-β1及EMT相关蛋白的表达。收集大鼠中耳黏膜上皮细胞进行原代培养。用TGF-β1刺激培养的细胞,通过蛋白质免疫印迹法和免疫荧光法检测EMT相关蛋白的表达。此外,用I/II型TGF-β受体抑制剂处理细胞,通过蛋白质免疫印迹法检测EMT相关蛋白的表达水平。72.4%的鼓膜出现硬化病变,在鼓室硬化症大鼠模型的中耳黏膜中发现明显的炎症、炎性细胞浸润和纤维化。与对照组相比,鼓室硬化症大鼠中耳黏膜中,间充质细胞标志物的表达增加,上皮细胞标志物的表达减少。TGF-β1刺激中耳黏膜上皮细胞中EMT途径的激活,导致纤连蛋白和N-钙黏蛋白的表达增加。此外,抑制TGF-β1时,观察到EMT相关蛋白的表达水平降低。总之,本研究表明TGF-β1介导的EMT可能在鼓室硬化症的发病机制中起重要作用。

https://cdn.ncbi.nlm.nih.gov/pmc/blobs/c9a9/7678609/392417623022/etm-21-01-09438-g00.jpg

文献AI研究员

20分钟写一篇综述,助力文献阅读效率提升50倍。

立即体验

用中文搜PubMed

大模型驱动的PubMed中文搜索引擎

马上搜索

文档翻译

学术文献翻译模型,支持多种主流文档格式。

立即体验