Suppr超能文献

K18 人血管紧张素转化酶 2 转基因小鼠中严重急性呼吸综合征冠状病毒 2 感染的致死性。

Lethality of SARS-CoV-2 infection in K18 human angiotensin-converting enzyme 2 transgenic mice.

机构信息

Texas Biomedical Research Institute, San Antonio, TX, 78227, USA.

Integrated Biomedical Sciences Program, University of Texas Health Science Center at San Antonio, San Antonio, TX, 78229, USA.

出版信息

Nat Commun. 2020 Nov 30;11(1):6122. doi: 10.1038/s41467-020-19891-7.

Abstract

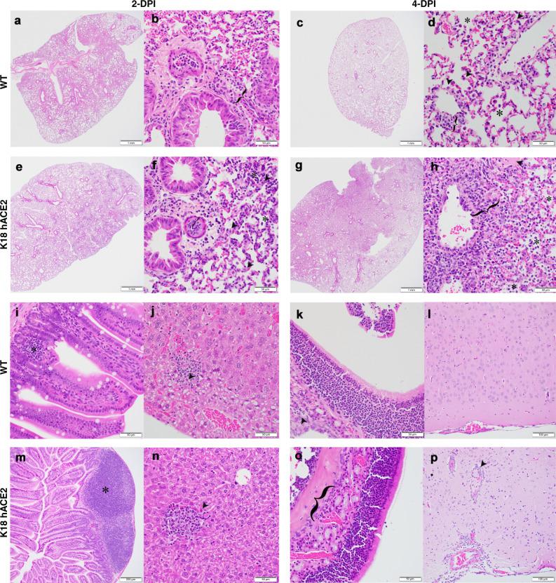
Vaccine and antiviral development against SARS-CoV-2 infection or COVID-19 disease would benefit from validated small animal models. Here, we show that transgenic mice expressing human angiotensin-converting enzyme 2 (hACE2) by the human cytokeratin 18 promoter (K18 hACE2) represent a susceptible rodent model. K18 hACE2 transgenic mice succumbed to SARS-CoV-2 infection by day 6, with virus detected in lung airway epithelium and brain. K18 ACE2 transgenic mice produced a modest TH1/2/17 cytokine storm in the lung and spleen that peaked by day 2, and an extended chemokine storm that was detected in both lungs and brain. This chemokine storm was also detected in the brain at day 6. K18 hACE2 transgenic mice are, therefore, highly susceptible to SARS-CoV-2 infection and represent a suitable animal model for the study of viral pathogenesis, and for identification and characterization of vaccines (prophylactic) and antivirals (therapeutics) for SARS-CoV-2 infection and associated severe COVID-19 disease.

摘要

针对严重急性呼吸综合征冠状病毒 2 感染或 COVID-19 疾病的疫苗和抗病毒药物的开发将受益于经过验证的小动物模型。在这里,我们展示了表达人血管紧张素转换酶 2(hACE2)的转基因小鼠通过人角蛋白 18 启动子(K18 hACE2)代表一种易感啮齿动物模型。K18 hACE2 转基因小鼠在第 6 天因 SARS-CoV-2 感染而死亡,在肺气道上皮和大脑中检测到病毒。K18 ACE2 转基因小鼠在肺部和脾脏中产生适度的 TH1/2/17 细胞因子风暴,在第 2 天达到峰值,并检测到扩展的趋化因子风暴,在肺部和大脑中都检测到。这种趋化因子风暴也在第 6 天的大脑中被检测到。因此,K18 hACE2 转基因小鼠对 SARS-CoV-2 感染高度敏感,是研究病毒发病机制以及鉴定和表征针对 SARS-CoV-2 感染和相关严重 COVID-19 疾病的疫苗(预防)和抗病毒药物(治疗)的合适动物模型。

https://cdn.ncbi.nlm.nih.gov/pmc/blobs/21bf/7705712/68ab9b96123e/41467_2020_19891_Fig1_HTML.jpg

文献AI研究员

20分钟写一篇综述,助力文献阅读效率提升50倍。

立即体验

用中文搜PubMed

大模型驱动的PubMed中文搜索引擎

马上搜索

文档翻译

学术文献翻译模型,支持多种主流文档格式。

立即体验