Suppr超能文献

转录因子 AP-2γ与原癌基因 PELP1 的相互作用通过增强 RET 信号促进肿瘤发生。

Interaction of transcription factor AP-2 gamma with proto-oncogene PELP1 promotes tumorigenesis by enhancing RET signaling.

机构信息

UT Health San Antonio Long School of Medicine, Department of Obstetrics and Gynecology, UT Health San Antonio, TX, USA.

Department of Oncology, Xiangya Hospital, Central South University, Hunan, China.

出版信息

Mol Oncol. 2021 Apr;15(4):1146-1161. doi: 10.1002/1878-0261.12871. Epub 2021 Feb 9.

Abstract

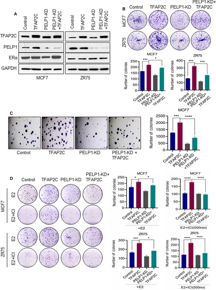
A significant proportion of estrogen receptor-positive (ER+) breast cancer (BC) initially responds to endocrine therapy but eventually evolves into therapy-resistant BC. Transcription factor AP-2 gamma (TFAP2C) is a known regulator of ER activity, and high expression of TFAP2C is associated with a decreased response to endocrine therapies. PELP1 is a nuclear receptor coregulator, commonly overexpressed in BC, and its levels are correlated with poorer survival. In this study, we identified PELP1 as a novel interacting protein of TFAP2C. RNA-seq analysis of PELP1 knockdown BC cells followed by transcription factor motif prediction pointed to TFAP2C being enriched in PELP1-regulated genes. Gene set enrichment analysis (GSEA) revealed that the TFAP2C-PELP1 axis induced a subset of common genes. Reporter gene assays confirmed PELP1 functions as a coactivator of TFAP2C. Mechanistic studies showed that PELP1-mediated changes in histone methylation contributed to increased expression of the TFAP2C target gene RET. Furthermore, the TFAP2C-PELP1 axis promoted the activation of the RET signaling pathway, which contributed to downstream activation of AKT and ERK pathways in ER+ BC cells. Concomitantly, knockdown of PELP1 attenuated these effects mediated by TFAP2C. Overexpression of TFAP2C contributed to increased cell proliferation and therapy resistance in ER+ BC models, while knockdown of PELP1 mitigated these effects. Utilizing ZR75-TFAP2C xenografts with or without PELP1 knockdown, we provided genetic evidence that endogenous PELP1 is essential for TFAP2C-driven BC progression in vivo. Collectively, our studies demonstrated that PELP1 plays a critical role in TFAP2C transcriptional and tumorigenic functions in BC and blocking the PELP1-TFAP2C axis could have utility for treating therapy resistance.

摘要

相当比例的雌激素受体阳性(ER+)乳腺癌(BC)最初对内分泌治疗有反应,但最终发展为耐药性 BC。转录因子 AP-2γ(TFAP2C)是 ER 活性的已知调节剂,高表达 TFAP2C 与对内分泌治疗的反应降低有关。PELP1 是一种核受体共调节剂,在 BC 中常过度表达,其水平与较差的生存相关。在这项研究中,我们鉴定了 PELP1 是 TFAP2C 的一种新型相互作用蛋白。PELP1 敲低 BC 细胞的 RNA-seq 分析,随后进行转录因子基序预测,表明 TFAP2C 在 PELP1 调控的基因中富集。基因集富集分析(GSEA)显示,TFAP2C-PELP1 轴诱导了一组常见基因。报告基因检测证实 PELP1 作为 TFAP2C 的共激活因子发挥作用。机制研究表明,PELP1 介导的组蛋白甲基化变化导致 TFAP2C 靶基因 RET 的表达增加。此外,TFAP2C-PELP1 轴促进了 RET 信号通路的激活,这导致 ER+BC 细胞中 AKT 和 ERK 通路的下游激活。同时,PELP1 的敲低减弱了 TFAP2C 介导的这些作用。TFAP2C 的过表达导致 ER+BC 模型中细胞增殖和耐药性增加,而 PELP1 的敲低减轻了这些作用。利用 ZR75-TFAP2C 异种移植瘤,无论是否敲低 PELP1,我们提供了遗传证据,表明内源性 PELP1 是 TFAP2C 驱动 BC 进展所必需的。总之,我们的研究表明,PELP1 在 BC 中 TFAP2C 的转录和致瘤功能中发挥关键作用,阻断 PELP1-TFAP2C 轴可能对治疗耐药性有用。

https://cdn.ncbi.nlm.nih.gov/pmc/blobs/4cb4/8024722/fc4e5e10841d/MOL2-15-1146-g004.jpg

文献AI研究员

20分钟写一篇综述,助力文献阅读效率提升50倍。

立即体验

用中文搜PubMed

大模型驱动的PubMed中文搜索引擎

马上搜索

文档翻译

学术文献翻译模型,支持多种主流文档格式。

立即体验