Suppr超能文献

梓醇通过 SIRT1 介导的抑制 NF-κB 和 MAPKs 信号通路改善银屑病样表型。

Catalpol ameliorates psoriasis-like phenotypes via SIRT1 mediated suppression of NF-κB and MAPKs signaling pathways.

机构信息

Department of Dermatology, Henan Province Hospital of Traditional Chinese Medicine, The Second Affiliated Hospital of Henan University of Chinese Medicine , Zhengzhou, People's Republic of China.

出版信息

Bioengineered. 2021 Dec;12(1):183-195. doi: 10.1080/21655979.2020.1863015.

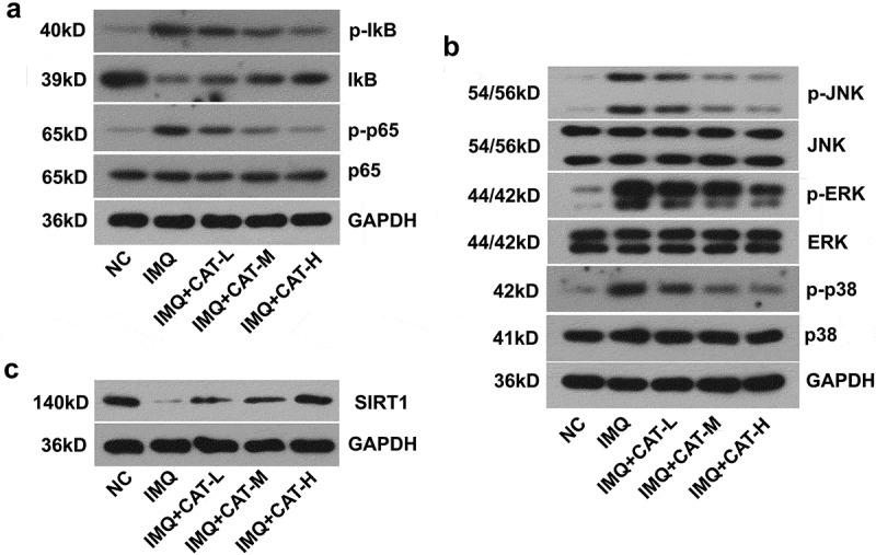
Abstract

Psoriasis is a chronic inflammatory skin disease that affects approximately 2% of worldwide population, and causing long-term troubles to the patients. Therefore, it is urgent to develop safe and effective therapeutic drugs. Catalpol is a natural iridoid glucoside, that has several remarkable pharmacological effects, however, whether catalpol can alleviated psoriasis has not been explored. The goal of the present work is to study the role of catalpol in psoriasis in vivo and in vitro. Imiquimod-induced psoriasis-like mice were applied with different concentrations of catalpol for 8 consecutive days. The severity degree of psoriasis was estimated and the skin pathological changes were detected by H&E staining. Also, TNF-α-stimulated keratinocytes were treated with different concentrations of catalpol, then the oxidative stress and inflammation factors, as well as the expression of SIRT1 and activation of NF-kB and MAPK pathways were measured. The results showed that catalpol reduced the erythema, scaling, ear thickness, and changed pathological phenotypes in the lesioned skin region in mice. Treatment with catalpol significantly suppressed the oxidative stress and inflammatory reactions and , as reflected by the decreased secretion or expression of oxidative stress indicators and proinflammatory factors. Furthermore, the SIRT1 was up-regulated and the NF-κB and MAPKs signaling pathways were suppressed by the treatment of catalpol and . In summary, our data suggested that catalpol may have a therapeutic property of psoriasis by ameliorating oxidative stress and inflammation partly through SIRT1 mediated suppression of NF-κB and MAPKs pathways. CAT: catalase; ELISA: enzyme-linked immunosorbent assay; GSH: glutathione; HRP: horseradish peroxidase; IMQ: imiquimod; JNK: c-Jun NH 2-terminal kinases; MAPKs: mitogen-activated protein kinases; MDA: malondialdehyde; NC: negative control group; NF-kB: nuclear factor kappa B; PASI: psoriasis area and severity index; PVDF: polyvinylidene difluoride membranes; qRT-PCR: quantitative real time polymerase chain reaction; ROS: reactive oxygen species; SDS-PAGE: sodium dodecyl sulfate-polyacrylamide gel; SIRT1: silent information regulator 1; SOD: Cu/Zn superoxide dismutase.

摘要

银屑病是一种慢性炎症性皮肤病,影响全球约 2%的人口,给患者带来长期困扰。因此,迫切需要开发安全有效的治疗药物。梓醇是一种天然的环烯醚萜苷,具有多种显著的药理作用,然而,梓醇是否能缓解银屑病尚未得到探索。本研究旨在体内和体外研究梓醇在银屑病中的作用。我们应用不同浓度的梓醇处理咪喹莫特诱导的银屑病样小鼠连续 8 天。评估银屑病的严重程度,并通过 H&E 染色检测皮肤病理变化。此外,用不同浓度的梓醇处理 TNF-α刺激的角质形成细胞,然后测量氧化应激和炎症因子以及 SIRT1 的表达和 NF-κB 和 MAPK 通路的激活。结果表明,梓醇减轻了小鼠病变皮肤区域的红斑、鳞屑、耳厚和改变的病理表型。梓醇治疗显著抑制氧化应激和炎症反应,反映在氧化应激和促炎因子的分泌或表达减少。此外,梓醇处理上调 SIRT1 并抑制 NF-κB 和 MAPKs 信号通路。综上所述,我们的数据表明,梓醇可能通过改善氧化应激和炎症来治疗银屑病,部分通过 SIRT1 介导的抑制 NF-κB 和 MAPKs 通路。CAT:过氧化氢酶;ELISA:酶联免疫吸附试验;GSH:谷胱甘肽;HRP:辣根过氧化物酶;IMQ:咪喹莫特;JNK:c-Jun NH 2-末端激酶;MAPKs:丝裂原活化蛋白激酶;MDA:丙二醛;NC:阴性对照组;NF-κB:核因子 kappa B;PASI:银屑病面积和严重程度指数;PVDF:聚偏二氟乙烯膜;qRT-PCR:实时定量聚合酶链反应;ROS:活性氧;SDS-PAGE:十二烷基硫酸钠-聚丙烯酰胺凝胶电泳;SIRT1:沉默信息调节因子 1;SOD:Cu/Zn 超氧化物歧化酶。

https://cdn.ncbi.nlm.nih.gov/pmc/blobs/7f95/8806253/8c1c89490a01/KBIE_A_1863015_UF0001_OC.jpg

文献AI研究员

20分钟写一篇综述,助力文献阅读效率提升50倍。

立即体验

用中文搜PubMed

大模型驱动的PubMed中文搜索引擎

马上搜索

文档翻译

学术文献翻译模型,支持多种主流文档格式。

立即体验