Suppr超能文献

组蛋白 H3K27 甲基转移酶 EZH2 和去甲基酶 JMJD3 调节肝星状细胞激活和肝纤维化。

Histone H3K27 methyltransferase EZH2 and demethylase JMJD3 regulate hepatic stellate cells activation and liver fibrosis.

机构信息

Shanghai Fifth People's Hospital of Fudan University, Shanghai Key Laboratory of Medical Epigenetics, Ministry of Science and Technology International Co-Laboratory of Medical Epigenetics and Metabolism, Institutes of Biomedical Sciences, Shanghai Medical College, Fudan University, Shanghai, China.

Center for Medical Research and Innovation, Shanghai Pudong Hospital and Pudong Medical Center, Shanghai Medical College, Fudan University, Shanghai, China.

出版信息

Theranostics. 2021 Jan 1;11(1):361-378. doi: 10.7150/thno.46360. eCollection 2021.

Abstract

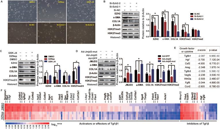
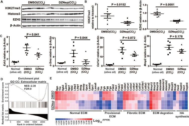
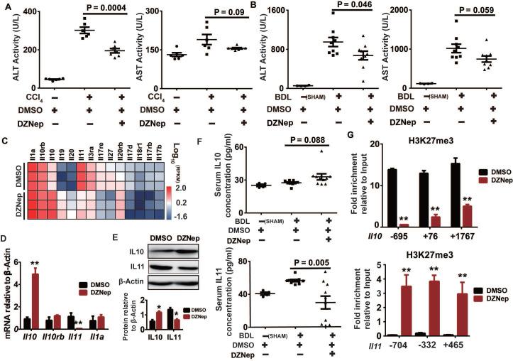
As the central hallmark of liver fibrosis, transdifferentiation of hepatic stellate cells (HSCs), the predominant contributor to fibrogenic hepatic myofibroblast responsible for extracellular matrix (ECM) deposition, is characterized with transcriptional and epigenetic remodeling. We aimed to characterize the roles of H3K27 methyltransferase EZH2 and demethylase JMJD3 and identify their effective pathways and novel target genes in HSCs activation and liver fibrosis. In primary HSCs, we analyzed effects of pharmacological inhibitions and genetic manipulations of EZH2 and JMJD3 on HSCs activation. In HSCs cell lines, we evaluated effects of EZH2 inhibition by DZNep on proliferation, cell cycling, senescence and apoptosis. In CCl and BDL murine models of liver fibrosis, we assessed effects of DZNep administration and silencing. We profiled rat primary HSCs transcriptomes with RNA-seq, screened the pathways and genes associated with DZNep treatment, analyzed EZH2 and JMJD3 regulation towards target genes by ChIP-qPCR. EZH2 inhibition by DZNep resulted in retarded growth, lowered cell viability, cell cycle arrest in S and G2 phases, strengthened senescence, and enhanced apoptosis of HSCs, decreased hepatic collagen deposition and rescued the elevated serum ALT and AST activities of diseased mice, and downregulated cellular and hepatic expressions of H3K27me3, EZH2, α-SMA and COL1A. silencing by RNA interference and showed similar effects. JMJD3 inhibition by GSK-J4 and overexpression of wild-type but not mutant enhanced or repressed HSCs activation respectively. EZH2 inhibition by DZNep transcriptionally inactivated TGF-β1 pathway, cell cycle pathways and vast ECM components in primary HSCs. EZH2 inhibition decreased H3K27me3 recruitment at target genes encoding TGF-β1 pseudoreceptor BAMBI, anti-inflammatory cytokine IL10 and cell cycle regulators CDKN1A, GADD45A and GADD45B, and increased their expressions, while overexpression manifested alike effects. EZH2 and JMJD3 antagonistically modulate HSCs activation. The therapeutic effects of DZNep as epigenetic drug in liver fibrosis are associated with the regulation of EZH2 towards direct target genes encoding TGF-β1 pseudoreceptor BAMBI, anti-inflammatory cytokine IL10 and cell cycle regulators CDKN1A, GADD45A and GADD45B, which are also regulated by JMJD3. Our present study provides new mechanistic insight into the epigenetic modulation of EZH2 and JMJD3 in HSCs biology and hepatic fibrogenesis.

摘要

作为肝纤维化的核心标志,肝星状细胞(HSCs)的转分化是导致纤维性肝肌成纤维细胞产生细胞外基质(ECM)沉积的主要因素,其特征是转录和表观遗传重塑。我们旨在描述 H3K27 甲基转移酶 EZH2 和去甲基酶 JMJD3 的作用,并确定它们在 HSCs 激活和肝纤维化中的有效途径和新的靶基因。 在原代 HSCs 中,我们分析了 EZH2 和 JMJD3 的药理学抑制和基因操作对 HSCs 激活的影响。在 HSCs 细胞系中,我们评估了 DZNep 抑制 EZH2 对增殖、细胞周期、衰老和凋亡的影响。在 CCl 和 BDL 肝纤维化的小鼠模型中,我们评估了 DZNep 给药和沉默的效果。我们通过 RNA-seq 对大鼠原代 HSCs 的转录组进行了分析,筛选了与 DZNep 治疗相关的途径和基因,通过 ChIP-qPCR 分析了 EZH2 和 JMJD3 对靶基因的调控。 DZNep 抑制 EZH2 导致 HSCs 生长缓慢、细胞活力降低、S 和 G2 期细胞周期停滞、衰老增强、凋亡增强、肝胶原沉积减少,并挽救了患病小鼠升高的血清 ALT 和 AST 活性,并下调了细胞和肝组织中 H3K27me3、EZH2、α-SMA 和 COL1A 的表达。 RNA 干扰沉默和 JMJD3 过表达也表现出类似的效果。JMJD3 抑制剂 GSK-J4 和野生型但不是突变型 JMJD3 的过表达分别增强或抑制了 HSCs 的激活。DZNep 抑制 EZH2 在原代 HSCs 中转录失活 TGF-β1 途径、细胞周期途径和大量 ECM 成分。DZNep 抑制 EZH2 降低了靶基因编码 TGF-β1 假受体 BAMBI、抗炎细胞因子 IL10 和细胞周期调节剂 CDKN1A、GADD45A 和 GADD45B 的 H3K27me3 募集,并增加了它们的表达,而过表达则表现出类似的效果。 EZH2 和 JMJD3 拮抗调节 HSCs 的激活。DZNep 作为一种表观遗传药物在肝纤维化中的治疗效果与 EZH2 对直接靶基因编码 TGF-β1 假受体 BAMBI、抗炎细胞因子 IL10 和细胞周期调节剂 CDKN1A、GADD45A 和 GADD45B 的调节有关,JMJD3 也对这些基因进行调节。本研究为 EZH2 和 JMJD3 在 HSCs 生物学和肝纤维化中的表观遗传调控提供了新的机制见解。

https://cdn.ncbi.nlm.nih.gov/pmc/blobs/d534/7681085/ab9f2340df61/thnov11p0361g001.jpg

文献AI研究员

20分钟写一篇综述,助力文献阅读效率提升50倍。

立即体验

用中文搜PubMed

大模型驱动的PubMed中文搜索引擎

马上搜索

文档翻译

学术文献翻译模型,支持多种主流文档格式。

立即体验