Suppr超能文献

检测和区分具有潜在致病性的环境土壤样本中的伯克霍尔德菌属。

Detection and differentiation of Burkholderia species with pathogenic potential in environmental soil samples.

机构信息

Department of Immunology, Faculty of Medicine Siriraj Hospital, Mahidol University, Bangkok, Thailand.

Microbiology Laboratory, Veterinary Diagnostic Center, Faculty of Veterinary Science, Mahidol University, Nakhon Pathom, Thailand.

出版信息

PLoS One. 2021 Jan 7;16(1):e0245175. doi: 10.1371/journal.pone.0245175. eCollection 2021.

Abstract

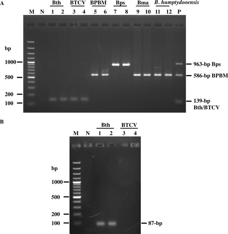
The Burkholderia pseudomallei phylogenetic cluster includes B. pseudomallei, B. mallei, B. thailandensis, B. oklahomensis, B. humptydooensis and B. singularis. Regarded as the only pathogenic members of this group, B. pseudomallei and B. mallei cause the diseases melioidosis and glanders, respectively. Additionally, variant strains of B. pseudomallei and B. thailandensis exist that include the geographically restricted B. pseudomallei that express a B. mallei-like BimA protein (BPBM), and B. thailandensis that express a B. pseudomallei-like capsular polysaccharide (BTCV). To establish a PCR-based assay for the detection of pathogenic Burkholderia species or their variants, five PCR primers were designed to amplify species-specific sequences within the bimA (Burkholderia intracellular motility A) gene. Our multiplex PCR assay could distinguish pathogenic B. pseudomallei and BPBM from the non-pathogenic B. thailandensis and the BTCV strains. A second singleplex PCR successfully discriminated the BTCV from B. thailandensis. Apart from B. humptydooensis, specificity testing against other Burkholderia spp., as well as other Gram-negative and Gram-positive bacteria produced a negative result. The detection limit of the multiplex PCR in soil samples artificially spiked with known quantities of B. pseudomallei and B. thailandensis were 5 and 6 CFU/g soil, respectively. Furthermore, comparison between standard bacterial culture and the multiplex PCR to detect B. pseudomallei from 34 soil samples, collected from an endemic area of melioidosis, showed high sensitivity and specificity. This robust, sensitive, and specific PCR assay will be a useful tool for epidemiological study of B. pseudomallei and closely related members with pathogenic potential in soil.

摘要

伯克霍尔德氏菌假单胞菌进化群包括鲍氏不动杆菌、鼻疽伯克霍尔德氏菌、类鼻疽伯克霍尔德氏菌、奥克拉荷马伯克霍尔德氏菌、亨氏伯克霍尔德氏菌和奇异伯克霍尔德氏菌。被认为是该群中唯一的致病成员,鲍氏不动杆菌和鼻疽伯克霍尔德氏菌分别引起类鼻疽病和鼻疽病。此外,鲍氏不动杆菌和类鼻疽伯克霍尔德氏菌存在变异株,包括具有地域限制的表达类似于鼻疽伯克霍尔德氏菌的 BimA 蛋白(BPBM)的鲍氏不动杆菌,以及表达类似于鲍氏不动杆菌的荚膜多糖(BTCV)的类鼻疽伯克霍尔德氏菌。为了建立一种基于 PCR 的检测致病性伯克霍尔德氏菌或其变体的方法,设计了 5 个 PCR 引物来扩增 bimA(伯克霍尔德氏菌细胞内运动 A)基因内的种特异性序列。我们的多重 PCR 检测可以将致病性鲍氏不动杆菌和 BPBM 与非致病性类鼻疽伯克霍尔德氏菌和 BTCV 株区分开来。第二个单重 PCR 成功地区分了 BTCV 与类鼻疽伯克霍尔德氏菌。除了亨氏伯克霍尔德氏菌外,针对其他伯克霍尔德氏菌以及其他革兰氏阴性和革兰氏阳性细菌的特异性检测均产生阴性结果。在人工添加已知数量的鲍氏不动杆菌和类鼻疽伯克霍尔德氏菌的土壤样本中,多重 PCR 的检测限分别为 5 和 6 CFU/g 土壤。此外,将标准细菌培养与多重 PCR 检测从类鼻疽病流行地区采集的 34 个土壤样本中的鲍氏不动杆菌进行比较,显示出高灵敏度和特异性。这种稳健、敏感和特异的 PCR 检测方法将成为土壤中具有致病性潜力的鲍氏不动杆菌和密切相关成员的流行病学研究的有用工具。

https://cdn.ncbi.nlm.nih.gov/pmc/blobs/85bc/7790303/6023a13c46cf/pone.0245175.g001.jpg

文献AI研究员

20分钟写一篇综述,助力文献阅读效率提升50倍。

立即体验

用中文搜PubMed

大模型驱动的PubMed中文搜索引擎

马上搜索

文档翻译

学术文献翻译模型,支持多种主流文档格式。

立即体验