Suppr超能文献

C 端肽修饰揭示了刺猬蛋白形态发生素胆固醇化的直接和间接作用。

C-Terminal Peptide Modifications Reveal Direct and Indirect Roles of Hedgehog Morphogen Cholesteroylation.

作者信息

Manikowski Dominique, Kastl Philipp, Schürmann Sabine, Ehring Kristina, Steffes Georg, Jakobs Petra, Grobe Kay

机构信息

Institute of Physiological Chemistry and Pathobiochemistry and the Cells-in-Motion Cluster of Excellence (EXC1003-CiM), University of Münster, Münster, Germany.

Institute of Neuro- and Behavioral Biology, University of Münster, Münster, Germany.

出版信息

Front Cell Dev Biol. 2021 Jan 12;8:615698. doi: 10.3389/fcell.2020.615698. eCollection 2020.

Abstract

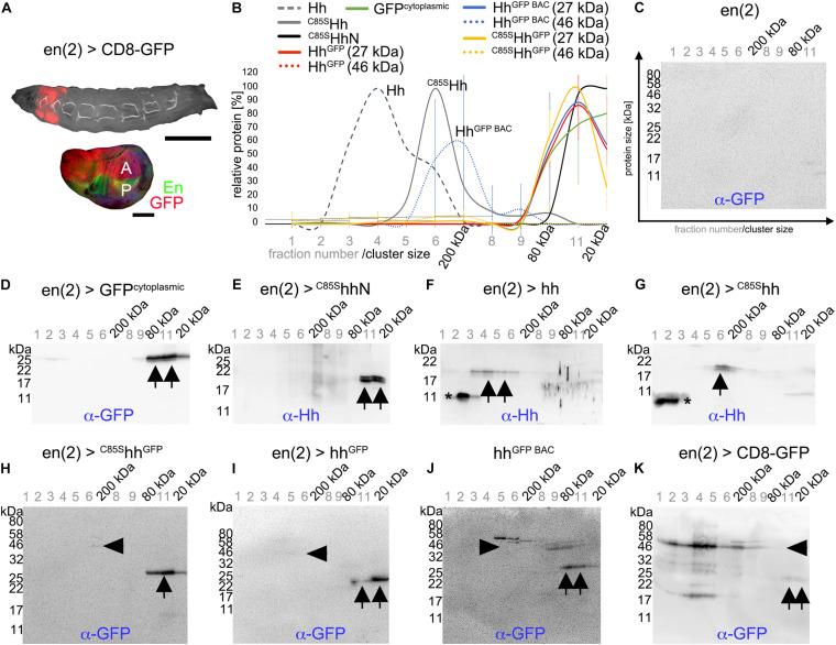
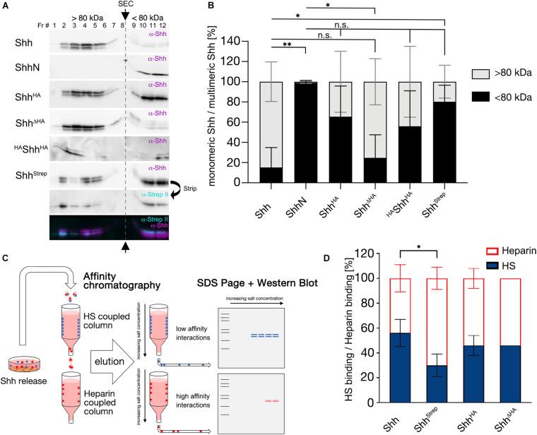
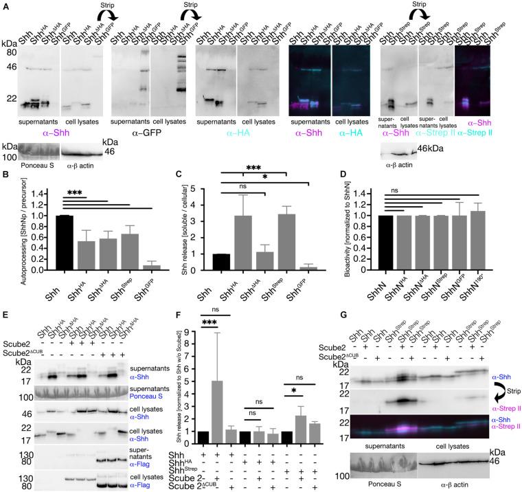
Hedgehog (Hh) morphogens are involved in embryonic development and stem cell biology and, if misregulated, can contribute to cancer. One important post-translational modification with profound impact on Hh biofunction is its C-terminal cholesteroylation during biosynthesis. The current hypothesis is that the cholesterol moiety is a decisive factor in Hh association with the outer plasma membrane leaflet of producing cells, cell-surface Hh multimerization, and its transport and signaling. Yet, it is not decided whether the cholesterol moiety is directly involved in all of these processes, because their functional interdependency raises the alternative possibility that the cholesterol initiates early processes directly and that these processes can then steer later stages of Hh signaling independent of the lipid. We generated variants of the C-terminal Hh peptide and observed that these cholesteroylated peptides variably impaired several post-translational processes in producing cells and Hh biofunction in eye and wing development. We also found that substantial Hh amounts separated from cholesteroylated peptide tags and and that tagged and untagged Hh variants lacking their C-cholesterol moieties remained bioactive. Our approach thus confirms that Hh cholesteroylation is essential during the early steps of Hh production and maturation but also suggests that it is dispensable for Hh signal reception at receiving cells.

摘要

刺猬因子(Hh)形态发生素参与胚胎发育和干细胞生物学过程,若调控异常,则可能引发癌症。对Hh生物功能有深远影响的一种重要的翻译后修饰是其在生物合成过程中的C端胆固醇化。目前的假说认为,胆固醇部分是Hh与产生细胞的外质膜小叶结合、细胞表面Hh多聚化及其运输和信号传导的决定性因素。然而,胆固醇部分是否直接参与所有这些过程尚无定论,因为它们的功能相互依赖性提出了另一种可能性,即胆固醇直接启动早期过程,然后这些过程可以独立于脂质引导Hh信号传导的后期阶段。我们生成了C端Hh肽的变体,观察到这些胆固醇化的肽在不同程度上损害了产生细胞中的几种翻译后过程以及眼睛和翅膀发育中的Hh生物功能。我们还发现,大量的Hh与胆固醇化肽标签分离,并且缺乏C端胆固醇部分的带标签和不带标签的Hh变体仍具有生物活性。因此,我们的方法证实了Hh胆固醇化在Hh产生和成熟的早期步骤中至关重要,但也表明它对于接收细胞处的Hh信号接收是可有可无的。

https://cdn.ncbi.nlm.nih.gov/pmc/blobs/88d4/7835520/42b939c33a0d/fcell-08-615698-g001.jpg

文献AI研究员

20分钟写一篇综述,助力文献阅读效率提升50倍。

立即体验

用中文搜PubMed

大模型驱动的PubMed中文搜索引擎

马上搜索

文档翻译

学术文献翻译模型,支持多种主流文档格式。

立即体验