Suppr超能文献

CCR8 肿瘤浸润调节性 T 细胞的治疗性耗竭引发抗肿瘤免疫,并与抗 PD-1 治疗协同作用。

Therapeutic depletion of CCR8 tumor-infiltrating regulatory T cells elicits antitumor immunity and synergizes with anti-PD-1 therapy.

机构信息

Laboratory of Cellular and Molecular Immunology, Vrije Universiteit Brussel, Brussels, Belgium.

Myeloid Cell Immunology Lab, VIB Center for Inflammation Research, Brussels, Belgium.

出版信息

J Immunother Cancer. 2021 Feb;9(2). doi: 10.1136/jitc-2020-001749.

Abstract

BACKGROUND

Modulation and depletion strategies of regulatory T cells (Tregs) constitute valid approaches in antitumor immunotherapy but suffer from severe adverse effects due to their lack of selectivity for the tumor-infiltrating (ti-)Treg population, indicating the need for a ti-Treg specific biomarker.

METHODS

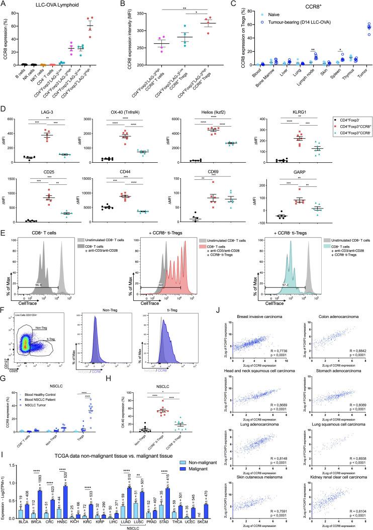
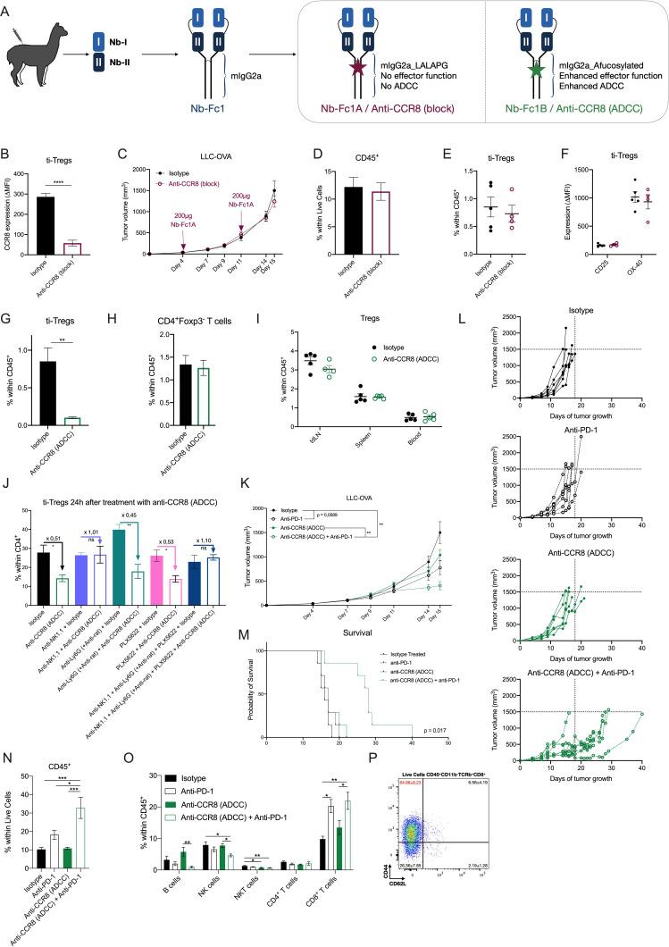
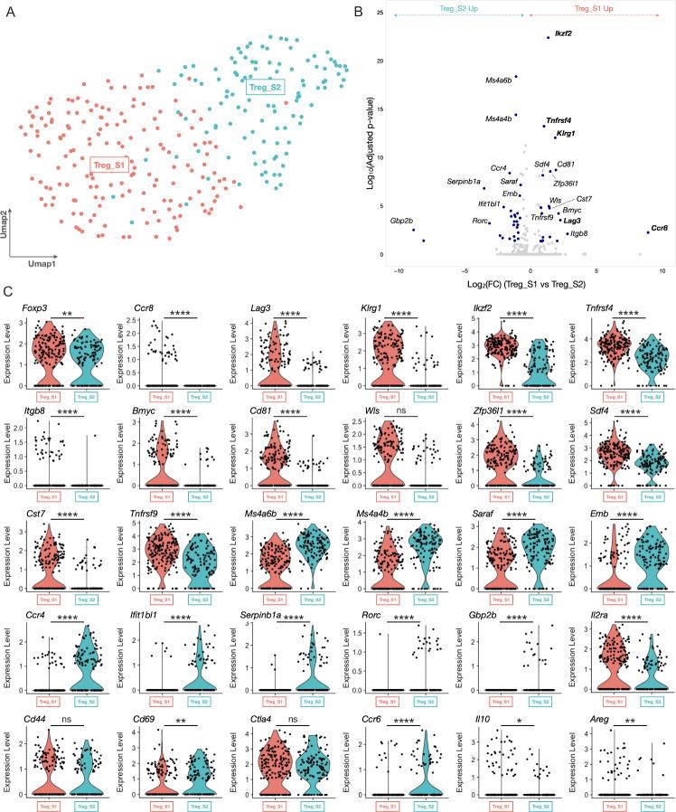
We employed single-cell RNA-sequencing in a mouse model of non-small cell lung carcinoma (NSCLC) to obtain a comprehensive overview of the tumor-infiltrating T-cell compartment, with a focus on ti-Treg subpopulations. These findings were validated by flow cytometric analysis of both mouse (LLC-OVA, MC38 and B16-OVA) and human (NSCLC and melanoma) tumor samples. We generated two CCR8-specific nanobodies (Nbs) that recognize distinct epitopes on the CCR8 extracellular domain. These Nbs were formulated as tetravalent Nb-Fc fusion proteins for optimal CCR8 binding and blocking, containing either an antibody-dependent cell-mediated cytotoxicity (ADCC)-deficient or an ADCC-prone Fc region. The therapeutic use of these Nb-Fc fusion proteins was evaluated, either as monotherapy or as combination therapy with anti-programmed cell death protein-1 (anti-PD-1), in both the LLC-OVA and MC38 mouse models.

RESULTS

We were able to discern two ti-Treg populations, one of which is characterized by the unique expression of in conjunction with Treg activation markers. is also expressed by dysfunctional CD4 and CD8 T cells, but the CCR8 protein was only prominent on the highly activated and strongly T-cell suppressive ti-Treg subpopulation of mouse and human tumors, with no major CCR8-positivity found on peripheral Tregs. CCR8 expression resulted from TCR-mediated Treg triggering in an NF-κB-dependent fashion, but was not essential for the recruitment, activation nor suppressive capacity of these cells. While treatment of tumor-bearing mice with a blocking ADCC-deficient Nb-Fc did not influence tumor growth, ADCC-prone Nb-Fc elicited antitumor immunity and reduced tumor growth in synergy with anti-PD-1 therapy. Importantly, ADCC-prone Nb-Fc specifically depleted ti-Tregs in a natural killer (NK) cell-dependent fashion without affecting peripheral Tregs.

CONCLUSIONS

Collectively, our findings highlight the efficacy and safety of targeting CCR8 for the depletion of tumor-promoting ti-Tregs in combination with anti-PD-1 therapy.

摘要

背景

调节性 T 细胞(Tregs)的调制和耗竭策略构成了抗肿瘤免疫治疗的有效方法,但由于缺乏对肿瘤浸润(ti)-Treg 群体的选择性,它们存在严重的副作用,这表明需要一种 ti-Treg 特异性生物标志物。

方法

我们在非小细胞肺癌(NSCLC)的小鼠模型中使用单细胞 RNA 测序,全面了解肿瘤浸润 T 细胞区室,重点关注 ti-Treg 亚群。这些发现通过对小鼠(LLC-OVA、MC38 和 B16-OVA)和人类(NSCLC 和黑色素瘤)肿瘤样本的流式细胞分析进行了验证。我们生成了两种 CCR8 特异性纳米抗体(Nbs),它们识别 CCR8 细胞外结构域上的不同表位。这些 Nbs 被制成四价 Nb-Fc 融合蛋白,以实现最佳的 CCR8 结合和阻断,其中包含抗体依赖性细胞介导的细胞毒性(ADCC)缺陷或 ADCC 倾向的 Fc 区。我们评估了这些 Nb-Fc 融合蛋白的治疗用途,无论是作为单一疗法还是与抗程序性细胞死亡蛋白-1(抗 PD-1)联合治疗,在 LLC-OVA 和 MC38 小鼠模型中都进行了评估。

结果

我们能够区分两种 ti-Treg 群体,其中一种群体的特征是与 Treg 激活标志物一起独特表达。还表达于功能失调的 CD4 和 CD8 T 细胞,但 CCR8 蛋白仅在小鼠和人类肿瘤的高度激活和强烈抑制性 ti-Treg 亚群上突出,在外周 Tregs 上未发现主要的 CCR8 阳性。CCR8 表达是 TCR 介导的 Treg 触发的结果,NF-κB 依赖性,但对这些细胞的募集、激活或抑制能力不是必需的。虽然用阻断 ADCC 缺陷型 Nb-Fc 治疗荷瘤小鼠不会影响肿瘤生长,但 ADCC 倾向型 Nb-Fc 与抗 PD-1 治疗协同引发抗肿瘤免疫并减少肿瘤生长。重要的是,ADCC 倾向型 Nb-Fc 以自然杀伤(NK)细胞依赖的方式特异性耗尽 ti-Tregs,而不影响外周 Tregs。

结论

总的来说,我们的研究结果突出了针对 CCR8 以与抗 PD-1 治疗联合耗尽肿瘤促进的 ti-Tregs 的有效性和安全性。

https://cdn.ncbi.nlm.nih.gov/pmc/blobs/a987/7887378/92fcdf20f9ff/jitc-2020-001749f01.jpg

文献AI研究员

20分钟写一篇综述,助力文献阅读效率提升50倍。

立即体验

用中文搜PubMed

大模型驱动的PubMed中文搜索引擎

马上搜索

文档翻译

学术文献翻译模型,支持多种主流文档格式。

立即体验