Suppr超能文献

使用 4D X 射线显微镜对呼吸机诱导性肺损伤中的成像性肺不张进行研究。

Imaging atelectrauma in Ventilator-Induced Lung Injury using 4D X-ray microscopy.

机构信息

European Synchrotron Radiation Facility, Grenoble, France.

Hedenstierna Laboratory, Department of Surgical Sciences, Uppsala University, Uppsala, Sweden.

出版信息

Sci Rep. 2021 Feb 19;11(1):4236. doi: 10.1038/s41598-020-77300-x.

Abstract

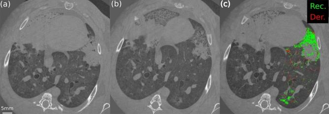
Mechanical ventilation can damage the lungs, a condition called Ventilator-Induced Lung Injury (VILI). However, the mechanisms leading to VILI at the microscopic scale remain poorly understood. Here we investigated the within-tidal dynamics of cyclic recruitment/derecruitment (R/D) using synchrotron radiation phase-contrast imaging (PCI), and the relation between R/D and cell infiltration, in a model of Acute Respiratory Distress Syndrome in 6 anaesthetized and mechanically ventilated New-Zealand White rabbits. Dynamic PCI was performed at 22.6 µm voxel size, under protective mechanical ventilation [tidal volume: 6 ml/kg; positive end-expiratory pressure (PEEP): 5 cmHO]. Videos and quantitative maps of within-tidal R/D showed that injury propagated outwards from non-aerated regions towards adjacent regions where cyclic R/D was present. R/D of peripheral airspaces was both pressure and time-dependent, occurring throughout the respiratory cycle with significant scatter of opening/closing pressures. There was a significant association between R/D and regional lung cellular infiltration (p = 0.04) suggesting that tidal R/D of the lung parenchyma may contribute to regional lung inflammation or capillary-alveolar barrier dysfunction and to the progression of lung injury. PEEP may not fully mitigate this phenomenon even at high levels. Ventilation strategies utilizing the time-dependence of R/D may be helpful in reducing R/D and associated injury.

摘要

机械通气可能会损伤肺部,这种情况被称为呼吸机诱导性肺损伤(VILI)。然而,导致 VILI 的微观机制仍知之甚少。在这里,我们使用同步辐射相衬成像(PCI)研究了急性呼吸窘迫综合征模型中周期性复张/复陷(R/D)的潮汐内动力学,以及 R/D 与细胞浸润之间的关系,该模型涉及 6 只麻醉和机械通气的新西兰白兔。在保护性机械通气下[潮气量:6ml/kg;呼气末正压(PEEP):5cmH2O]以 22.6μm 体素大小进行动态 PCI。在潮汐内 R/D 的视频和定量图谱中,发现损伤从非充气区域向外传播,向相邻存在周期性 R/D 的区域传播。周边气腔的 R/D 既与压力有关,也与时间有关,在整个呼吸周期内发生,开/闭压力的离散度很大。R/D 与局部肺细胞浸润之间存在显著相关性(p=0.04),这表明肺实质的潮汐性 R/D 可能导致局部肺炎症或毛细血管肺泡屏障功能障碍以及肺损伤的进展。即使在高水平时,PEEP 也可能无法完全减轻这种现象。利用 R/D 的时间依赖性的通气策略可能有助于减少 R/D 及其相关损伤。

https://cdn.ncbi.nlm.nih.gov/pmc/blobs/8788/7895928/9dd26d1636db/41598_2020_77300_Fig1_HTML.jpg

文献AI研究员

20分钟写一篇综述,助力文献阅读效率提升50倍。

立即体验

用中文搜PubMed

大模型驱动的PubMed中文搜索引擎

马上搜索

文档翻译

学术文献翻译模型,支持多种主流文档格式。

立即体验