Suppr超能文献

包裹性滤泡型甲状腺肿瘤的分子相关性和核特征。

Molecular Correlates and Nuclear Features of Encapsulated Follicular-Patterned Thyroid Neoplasms.

机构信息

Department of Hospital Pathology, College of Medicine, The Catholic University of Korea, Seoul, Korea.

Department of Pathology, Kameda Medical Center, Kamogawa, Japan.

出版信息

Endocrinol Metab (Seoul). 2021 Feb;36(1):123-133. doi: 10.3803/EnM.2020.860. Epub 2021 Feb 24.

Abstract

BACKGROUND

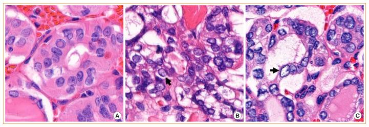
Assessing nuclear features is diagnostically challenging in the aspect of thyroid pathology. The aim of this study was to determine whether pathologists could distinguish BRAF-like and RAS-like nuclear features morphologically and identify morphological features to differentiate thyroid tumors with RAS-like mutations from encapsulated papillary thyroid carcinoma (PTC) with predominant follicular growth and BRAFV600E mutation.

METHODS

Representative whole slide images of 16 encapsulated thyroid tumors with predominant follicular growth were reviewed by 12 thyroid pathologists using a web browser-based image viewer. Total nuclear score was calculated from semi-quantitatively scored eight nuclear features. The molecular profile of RAS and BRAF genes was determined by Sanger sequencing.

RESULTS

Total nuclear score ranging 0 to 24 could differentiate BRAF-like tumors from RAS-like tumors with a cut-off value of score 14. The interobserver agreement was the highest for the assessment of nuclear pseudoinclusions (NPIs) but the lowest for nuclear elongation and sickle-shaped nuclei. NPIs were found in tumors with BRAFV600E mutation, but not in tumors with RAS-like mutations. Total nuclear scores were significantly higher for tumors with BRAFV600E than for those with RAS-like mutations (P<0.001).

CONCLUSION

Our results suggest that NPIs and high nuclear scores have diagnostic utility as rule-in markers for differentiating PTC with BRAFV600E mutation from benign or borderline follicular tumors with RAS-like mutations. Relaxation of rigid criteria for nuclear features resulted in an overdiagnosis of PTC. Immunostaining or molecular testing for BRAFV600E mutation is a useful adjunct for cases with high nuclear scores to identify true PTC.

摘要

背景

在甲状腺病理学方面,评估核特征具有诊断挑战性。本研究旨在确定病理学家是否能够通过形态学区分 BRAF 样和 RAS 样核特征,并确定形态学特征以区分具有 RAS 样突变的甲状腺肿瘤与具有主要滤泡生长和 BRAFV600E 突变的包膜型甲状腺乳头状癌 (PTC)。

方法

使用基于网络浏览器的图像查看器,由 12 位甲状腺病理学家对 16 例具有主要滤泡生长的包膜性甲状腺肿瘤的代表性全切片图像进行了回顾。从半定量评分的 8 个核特征中计算总核评分。通过 Sanger 测序确定 RAS 和 BRAF 基因的分子谱。

结果

总核评分范围为 0 至 24 分,可以区分 BRAF 样肿瘤与 RAS 样肿瘤,截断值为 14 分。核假包涵体 (NPIs) 的评估观察者间一致性最高,但核伸长和镰刀形核的一致性最低。NPIs 存在于具有 BRAFV600E 突变的肿瘤中,但不存在于具有 RAS 样突变的肿瘤中。具有 BRAFV600E 突变的肿瘤总核评分明显高于具有 RAS 样突变的肿瘤 (P<0.001)。

结论

我们的研究结果表明,NPIs 和高核评分具有诊断效用,可作为区分具有 BRAFV600E 突变的 PTC 与具有 RAS 样突变的良性或交界性滤泡性肿瘤的标记物。放宽核特征的严格标准导致 PTC 的过度诊断。对于核评分较高的病例,BRAFV600E 突变的免疫染色或分子检测是识别真正 PTC 的有用辅助手段。

https://cdn.ncbi.nlm.nih.gov/pmc/blobs/2fdd/7937839/a23a91cf5375/enm-2020-860f1.jpg

文献AI研究员

20分钟写一篇综述,助力文献阅读效率提升50倍。

立即体验

用中文搜PubMed

大模型驱动的PubMed中文搜索引擎

马上搜索

文档翻译

学术文献翻译模型,支持多种主流文档格式。

立即体验