Suppr超能文献

致密颗粒蛋白2(GRA2)的破坏降低了……的毒力。

Disruption of Dense Granular Protein 2 (GRA2) Decreases the Virulence of .

作者信息

Dong Jingquan, Zhang Nan, Zhao Panpan, Li Jianhua, Cao Lili, Wang Xiaocen, Li Xin, Yang Ju, Zhang Xichen, Gong Pengtao

机构信息

Key Laboratory of Zoonosis, College of Veterinary Medicine, Jilin University, Changchun, China.

Jiangsu Key Laboratory of Marine Biological Resources and Environment, Jiangsu Key Laboratory of Marine Pharmaceutical Compound Screening, Co-Innovation Center of Jiangsu Marine Bio-industry Technology, Jiangsu Ocean University, Lianyungang, China.

出版信息

Front Vet Sci. 2021 Feb 19;8:634612. doi: 10.3389/fvets.2021.634612. eCollection 2021.

Abstract

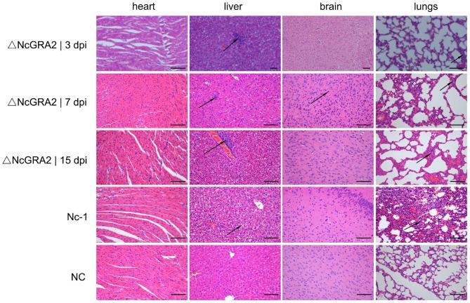
causes abortions in cattle and nervous system dysfunction in dogs. Dense granular proteins (GRAs) play important roles in virulence; however, studies on NcGRA functions are limited. In the present study, multiple methods, including site-directed mutagenesis; CRISPR/Cas9 gene editing; Western blotting; quantitative polymerase chain reaction; confocal microscopy; plaque, invasion, egress, and replication assays; animal assays of survival rate and parasite burden; and hematoxylin-eosin staining, were used to characterize the NcGRA2 protein, construct an NcGRA2 gene disruption (ΔNcGRA2) strain, and explore its virulence and . The results showed that NcGRA2 shared 31.31% homology with TgGRA2 and was colocalized with NcGRA6 at the posterior end of tachyzoites and the intravacuolar network of parasitophorous vacuoles (PVs). Cell fractionation analysis showed that NcGRA2 behaved as a transmembrane and membrane-coupled protein. The ΔNcGRA2 strain was constructed by coelectroporation of the NcGRA2-targeting CRISPR plasmid (pNc-SAG1-Cas9:U6-SgGRA2) and DHFR-TS DNA donor and verified at the protein, genome, and transcriptional levels and by immunofluorescence localization analysis. The virulence results showed that the ΔNcGRA2 strain displayed smaller plaques, similar invasion and egress abilities, and slower intracellular growth. The virulence results showed a prolonged survival time, lower parasite burden, and mild histopathological changes. Overall, the present study indicates that NcGRA2, as a dense granular protein, forms the intravacuolar network structure of PVs and weakens virulence by slowing proliferation. These data highlight the roles of NcGRA2 and provide a foundation for research on other protein functions in .

摘要

可导致牛流产和犬神经系统功能障碍。致密颗粒蛋白(GRAs)在毒力方面发挥重要作用;然而,关于NcGRA功能的研究有限。在本研究中,采用了多种方法,包括定点诱变、CRISPR/Cas9基因编辑、蛋白质免疫印迹法、定量聚合酶链反应、共聚焦显微镜检查、噬斑、侵袭、逸出和复制试验、动物存活率和寄生虫负荷试验以及苏木精-伊红染色,来表征NcGRA2蛋白、构建NcGRA2基因缺失(ΔNcGRA2)菌株,并探索其毒力。结果表明,NcGRA2与TgGRA2具有31.31%的同源性,并且在速殖子后端和寄生泡(PVs)的泡内网络中与NcGRA6共定位。细胞分级分离分析表明,NcGRA2表现为一种跨膜和膜偶联蛋白。通过将靶向NcGRA2的CRISPR质粒(pNc-SAG1-Cas9:U6-SgGRA2)和二氢叶酸还原酶-胸苷酸合成酶(DHFR-TS)DNA供体进行共电穿孔构建了ΔNcGRA2菌株,并在蛋白质、基因组和转录水平以及通过免疫荧光定位分析进行了验证。毒力结果表明,ΔNcGRA2菌株形成的噬斑较小,侵袭和逸出能力相似,但细胞内生长较慢。毒力结果显示存活时间延长、寄生虫负荷降低以及组织病理学变化较轻。总体而言,本研究表明,NcGRA2作为一种致密颗粒蛋白,形成PVs的泡内网络结构,并通过减缓增殖来减弱毒力。这些数据突出了NcGRA2的作用,并为研究弓形虫中其他蛋白质的功能提供了基础。

https://cdn.ncbi.nlm.nih.gov/pmc/blobs/49ef/7933011/4172f854be6e/fvets-08-634612-g0001.jpg

文献AI研究员

20分钟写一篇综述,助力文献阅读效率提升50倍。

立即体验

用中文搜PubMed

大模型驱动的PubMed中文搜索引擎

马上搜索

文档翻译

学术文献翻译模型,支持多种主流文档格式。

立即体验