Suppr超能文献

miR-320a/SP1负向相互作用促进结直肠癌的细胞生长和侵袭。

miR-320a/SP1 negative reciprocal interaction contributes to cell growth and invasion in colorectal cancer.

作者信息

Zhang Wenjing, Yang Haitao, Wang Zhongqiu, Wu Yanting, Wang Jingzhai, Duan Guihua, Guo Qiang, Zhang Yu

机构信息

Department of Medical Oncology, The First People's Hospital of Yunnan Province, The Affiliated Hospital of Kunming University of Science and Technology, Kunming, 650000, China.

Medical School, Kunming University of Science and Technology, Kunming, 650000, China.

出版信息

Cancer Cell Int. 2021 Mar 17;21(1):175. doi: 10.1186/s12935-021-01874-3.

Abstract

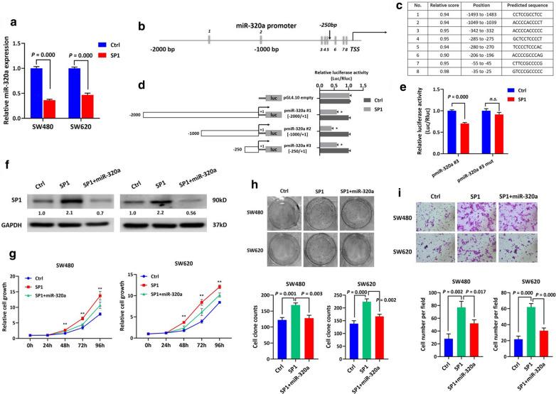
Transcription factors (TFs) may be engaged in reciprocal regulatory circuits with certain miRNAs to maintain cellular homeostasis. Disequilibrium of the reciprocities by certain tumor-related stimuli may give rise to deregulation of downstream cellular signaling pathways, thus promoting malignant tumor phenotypes. Specificity Protein 1 (SP1) is the most representative member of the tumor-related transcription factors. Previous studies disclosed that SP1 can transcriptionally regulate miRNAs and coding genes to facilitate tumor progression. In our study, we used bioinformatic analysis to predict several SP1-binding sites within the miR-320a promoter and found that SP1 is a predicted target gene of miR-320a. Therefore, we hypothesize a reciprocal regulatory link between SP1 and miR-320a that participates in colorectal cancer (CRC) development METHODS: We performed bioinformatic analysis, quantitative polymerase chain reaction (qPCR), immunoblotting, dual-luciferase reporter assays, and a series of in vitro and in vivo functional assays to describe a novel SP1/miR-320a reciprocal interaction in CRC RESULTS: First, we found that miR-320a was significantly downregulated in CRC tissues and cell lines. Consistent with findings in other cancers, miR-320a exhibited inhibitory effects on cell growth and invasion of CRC in vitro and in vivo. Moreover, we identified SP1 as a target gene of miR-320a, and ectopic SP1 expression partly abolished miR-320a-induced inhibitory effects. Conversely, we confirmed that SP1 interacts with the miR-320a promoter, leading to depression of miR-320a. This illustrates a double-negative feedback loop between miR-320a and SP1. Additionally, based on the fact that SP1 promotes MACC1 transcription, we determined via immunoblotting that the oncogenic MACC1/MET signaling pathway was inactivated in the context of miR-320a-induced SP1 downregulation CONCLUSION: Taken together, our study is the first to describe a miR-320a/SP1 negative reciprocal interaction, which contributes to cell growth and invasion in CRC through modulation of the MACC1/MET signaling pathway.

摘要

转录因子(TFs)可能与某些微小RNA(miRNAs)参与相互调节回路,以维持细胞内稳态。某些肿瘤相关刺激导致的相互作用失衡可能会引起下游细胞信号通路的失调,从而促进恶性肿瘤表型的出现。特异性蛋白1(SP1)是肿瘤相关转录因子中最具代表性的成员。先前的研究表明,SP1可以转录调节miRNAs和编码基因,以促进肿瘤进展。在我们的研究中,我们使用生物信息学分析预测了miR-320a启动子内的几个SP1结合位点,并发现SP1是miR-320a的预测靶基因。因此,我们推测SP1与miR-320a之间存在相互调节联系,其参与结直肠癌(CRC)的发生发展。方法:我们进行了生物信息学分析、定量聚合酶链反应(qPCR)、免疫印迹、双荧光素酶报告基因检测以及一系列体外和体内功能检测,以描述CRC中一种新的SP1/miR-320a相互作用。结果:首先,我们发现miR-320a在CRC组织和细胞系中显著下调。与其他癌症的研究结果一致,miR-320a在体外和体内均对CRC细胞的生长和侵袭具有抑制作用。此外,我们确定SP1是miR-320a的靶基因,异位表达SP1部分消除了miR-320a诱导的抑制作用。相反,我们证实SP1与miR-320a启动子相互作用,导致miR-320a表达降低。这说明了miR-320a与SP1之间的双负反馈回路。此外,基于SP1促进MACC1转录这一事实,我们通过免疫印迹确定,在miR-320a诱导的SP1下调情况下,致癌性MACC1/MET信号通路被激活。结论:综上所述,我们的研究首次描述了miR-320a/SP1负向相互作用,其通过调节MACC1/MET信号通路促进CRC中的细胞生长和侵袭。

https://cdn.ncbi.nlm.nih.gov/pmc/blobs/bc82/7972346/900eed04a5fb/12935_2021_1874_Fig1_HTML.jpg

文献AI研究员

20分钟写一篇综述,助力文献阅读效率提升50倍。

立即体验

用中文搜PubMed

大模型驱动的PubMed中文搜索引擎

马上搜索

文档翻译

学术文献翻译模型,支持多种主流文档格式。

立即体验