Suppr超能文献

通过能量非依赖信号激活AMPKα2可确保有丝分裂期间的染色体稳定性。

AMPKα2 activation by an energy-independent signal ensures chromosomal stability during mitosis.

作者信息

Lu Jianlin, Huang Yuanyuan, Zhan Li, Wang Ming, Xu Leilei, Mullen McKay, Zang Jianye, Fang Guowei, Dou Zhen, Liu Xing, Liu Wei, Garcia-Barrio Minerva, Yao Xuebiao

机构信息

MOE Key Laboratory for Membraneless Organelles and Cellular Dynamics, University of Science & Technology of China School of Life Sciences, Hefei 230027, China.

Anhui Key Laboratory for Cellular Dynamics & Chemical Biology, CAS Center for Excellence in Molecular Cell Science & Hefei National Science Center for Physical Sciences at Microscale, Hefei, Anhui 230026, China.

出版信息

iScience. 2021 Mar 26;24(4):102363. doi: 10.1016/j.isci.2021.102363. eCollection 2021 Apr 23.

Abstract

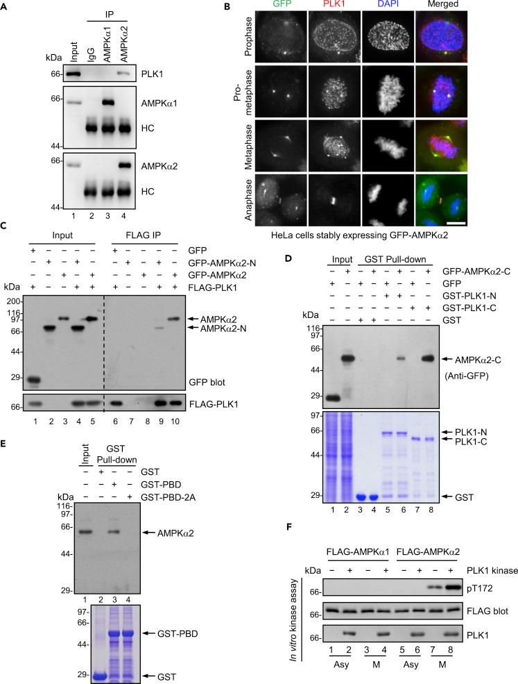
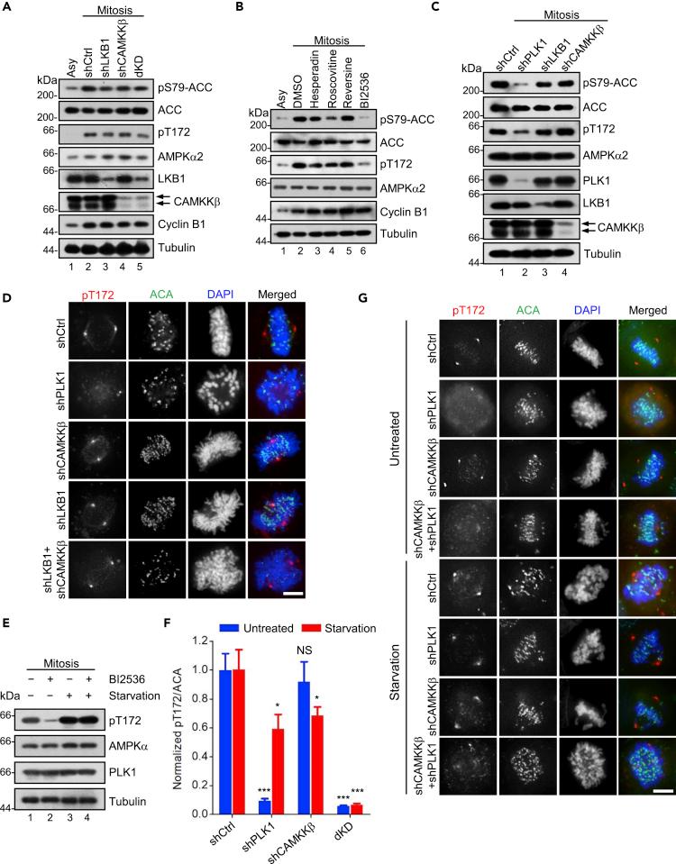
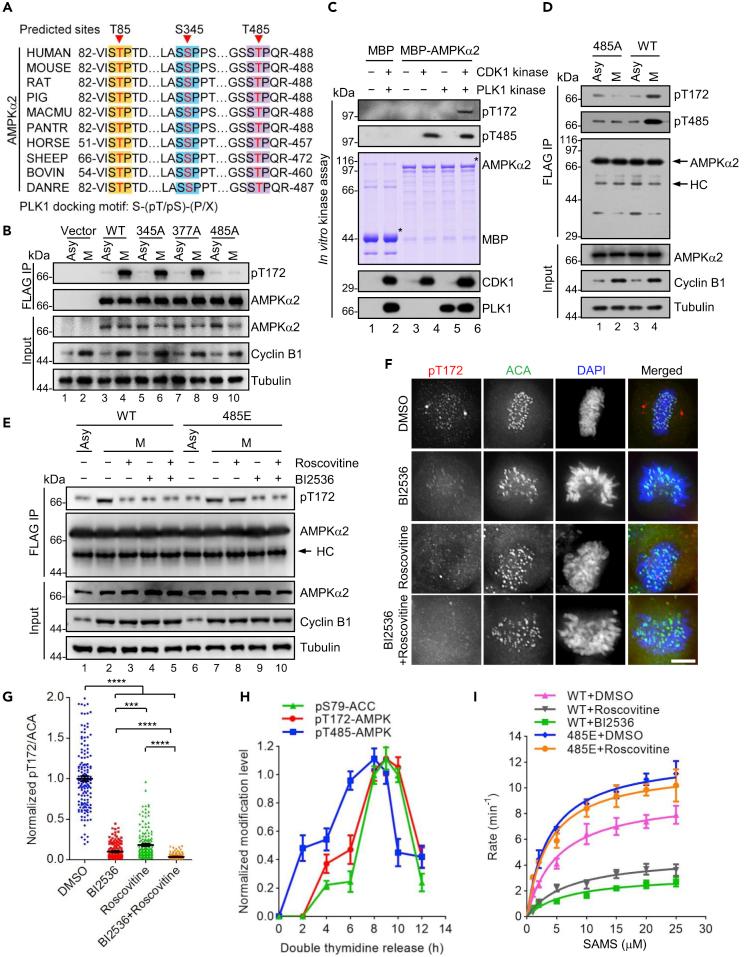
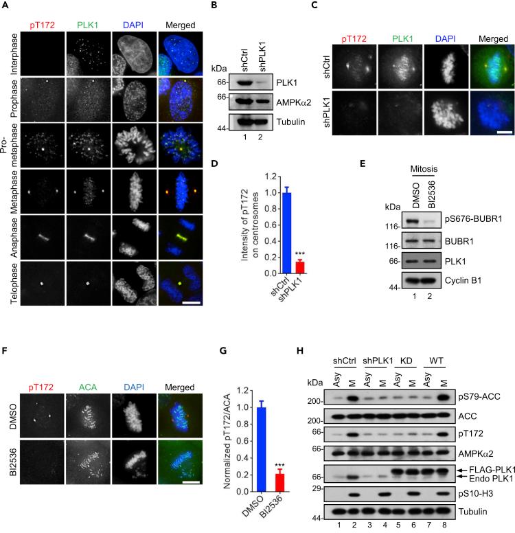
AMP-activated protein kinase (AMPK) senses energy status and impacts energy-consuming events by initiating metabolism regulatory signals in cells. Accumulating evidences suggest a role of AMPK in mitosis regulation, but the mechanism of mitotic AMPK activation and function remains elusive. Here we report that AMPKα2, but not AMPKα1, is sequentially phosphorylated and activated by CDK1 and PLK1, which enables AMPKα2 to accurately guide chromosome segregation in mitosis. Phosphorylation at Thr485 by activated CDK1-Cyclin B1 brings the ST-stretch of AMPKα2 to the Polo box domain of PLK1 for subsequent Thr172 phosphorylation by PLK1. Inserting of the AMPKα2 ST-stretch into AMPKα1, which lacks the ST-stretch, can correct mitotic chromosome segregation defects in AMPKα2-depleted cells. These findings uncovered a specific signaling cascade integrating sequential phosphorylation by CDK1 and PLK1 of AMPKα2 with mitosis to maintain genomic stability, thus defining an isoform-specific AMPKα2 function, which will facilitate future research on energy sensing in mitosis.

摘要

AMP激活的蛋白激酶(AMPK)感知能量状态,并通过启动细胞内的代谢调节信号来影响能量消耗事件。越来越多的证据表明AMPK在有丝分裂调控中发挥作用,但其在有丝分裂中的激活机制和功能仍不清楚。在此我们报告,AMPKα2而非AMPKα1会被CDK1和PLK1依次磷酸化并激活,这使得AMPKα2能够在有丝分裂中准确引导染色体分离。活化的CDK1-Cyclin B1在Thr485位点的磷酸化将AMPKα2的ST结构域带到PLK1的Polo盒结构域,随后由PLK1对Thr172进行磷酸化。将AMPKα2的ST结构域插入缺乏该结构域的AMPKα1中,可以纠正AMPKα2缺失细胞中的有丝分裂染色体分离缺陷。这些发现揭示了一种特定的信号级联反应,该反应将AMPKα2被CDK1和PLK1的顺序磷酸化与有丝分裂整合起来以维持基因组稳定性,从而定义了一种亚型特异性的AMPKα2功能,这将有助于未来对有丝分裂中能量感知的研究。

https://cdn.ncbi.nlm.nih.gov/pmc/blobs/1369/8059055/03bf6ff7cbb3/fx1.jpg

文献AI研究员

20分钟写一篇综述,助力文献阅读效率提升50倍。

立即体验

用中文搜PubMed

大模型驱动的PubMed中文搜索引擎

马上搜索

文档翻译

学术文献翻译模型,支持多种主流文档格式。

立即体验