Suppr超能文献

首例棘皮动物(海参)诺达病毒自然感染报告

First Report on Natural Infection of Nodavirus in an Echinodermata, Sea Cucumber ().

机构信息

School of Marine Sciences, Ningbo University, Ningbo 315311, China.

Yellow Sea Fisheries Research Institute, Chinese Academy of Fishery Sciences, Function Laboratory for Marine Fisheries Science and Food Production Processes (Qingdao), National Laboratory for Marine Science and Technology, Key Laboratory of Maricultural Organism Disease Control, Ministry of Agriculture, Qingdao Key Laboratory of Mariculture Epidemiology and Biosecurity, Qingdao 266071, China.

出版信息

Viruses. 2021 Apr 8;13(4):636. doi: 10.3390/v13040636.

Abstract

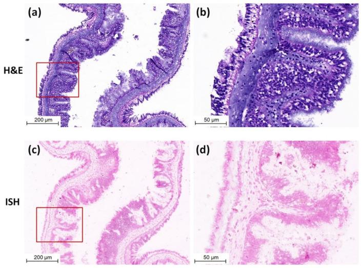
Cross-species transmission of emerging viruses happens occasionally due to epidemiological, biological, and ecological factors, and it has caused more concern recently. Covert mortality nodavirus (CMNV) was revealed to be a unique shrimp virus that could cross species barrier to infect vertebrate fish. In the present study, CMNV reverse transcription-nested PCR (RT-nPCR)-positive samples were identified from farmed sea cucumber () in the CMNV host range investigation. The amplicons of RT-nPCR from sea cucumber were sequenced, and its sequences showed 100% identity with the RNA-dependent RNA polymerase gene of the original CMNV isolate. Histopathological analysis revealed pathologic changes, including karyopyknosis and vacuolation of the epithelial cells, in the sea cucumber intestinal tissue. The extensive positive hybridization signals with CMNV probe were shown in the damaged epithelial cells in the hybridization assay. Meanwhile, transmission electron microscopy analysis revealed CMNV-like virus particles in the intestine epithelium. All the results indicated that the sea cucumber, an Echinodermata, is a new host of CMNV. This study supplied further evidence of the wide host range of CMNV and also reminded us to pay close attention to its potential risk to threaten different aquaculture animal species.

摘要

由于流行病学、生物学和生态学因素,新兴病毒偶尔会在物种间传播,这在最近引起了更多的关注。隐蔽死亡率诺达病毒(CMNV)被揭示是一种独特的虾病毒,能够跨越物种屏障感染脊椎动物鱼类。在本研究中,在 CMNV 宿主范围调查中从养殖海参()中鉴定出 CMNV 反转录套式 PCR(RT-nPCR)阳性样本。从海参中扩增的 RT-nPCR 序列与原始 CMNV 分离株的 RNA 依赖性 RNA 聚合酶基因完全一致。组织病理学分析显示,海参肠道组织中出现了核固缩和上皮细胞空泡化等病变。在杂交检测中,CMNV 探针显示出与受损上皮细胞广泛的阳性杂交信号。同时,透射电子显微镜分析显示 CMNV 样病毒颗粒存在于肠上皮细胞中。所有结果表明,棘皮动物海参是 CMNV 的一个新宿主。本研究进一步证实了 CMNV 的广泛宿主范围,并提醒我们密切关注其对不同水产养殖动物物种的潜在威胁。

https://cdn.ncbi.nlm.nih.gov/pmc/blobs/63a4/8068054/d375ade42cf1/viruses-13-00636-g001.jpg

文献AI研究员

20分钟写一篇综述,助力文献阅读效率提升50倍。

立即体验

用中文搜PubMed

大模型驱动的PubMed中文搜索引擎

马上搜索

文档翻译

学术文献翻译模型,支持多种主流文档格式。

立即体验