Suppr超能文献

抑制糖酵解可抑制体内细胞增殖和肿瘤进展:时间疗法的前景

Inhibition of Glycolysis Suppresses Cell Proliferation and Tumor Progression In Vivo: Perspectives for Chronotherapy.

作者信息

Horváthová Jana, Moravčík Roman, Matúšková Miroslava, Šišovský Vladimír, Boháč Andrej, Zeman Michal

机构信息

Department of Animal Physiology and Ethology, Faculty of Natural Sciences, Comenius University in Bratislava, Ilkovicova 6, 842 15 Bratislava, Slovakia.

Cancer Research Institute, Biomedical Research Center of Slovak Academy of Sciences, Dubravska cesta 9, 845 05 Bratislava, Slovakia.

出版信息

Int J Mol Sci. 2021 Apr 22;22(9):4390. doi: 10.3390/ijms22094390.

Abstract

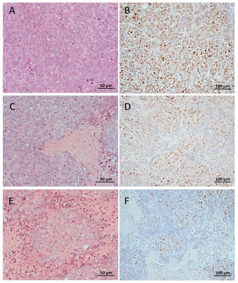
A high rate of glycolysis is considered a hallmark of tumor progression and is caused by overexpression of the enzyme 6-phosphofructo-2-kinase/fructose-2,6-biphosphatase 3 (PFKFB3). Therefore, we analyzed the possibility of inhibiting tumor and endothelial cell metabolism through the inhibition of PFKFB3 by a small molecule, ()-1-(pyridin-4-yl)-3-(quinolin-2-yl)prop-2-en-1-one (PFK15), as a promising therapy. The effects of PFK15 on cell proliferation and apoptosis were analyzed on human umbilical vein endothelial cells (HUVEC) and the human colorectal adenocarcinoma cell line DLD1 through cytotoxicity and proliferation assays, flow cytometry, and western blotting. The results showed that PFK15 inhibited the proliferation of both cell types and induced apoptosis with decreasing the Bcl-2/Bax ratio. On the basis of the results obtained from in vitro experiments, we performed a study on immunodeficient mice implanted with DLD1 cells. We found a reduced tumor mass after morning PFK15 treatment but not after evening treatment, suggesting circadian control of underlying processes. The reduction in tumor size was related to decreased expression of Ki-67, a marker of cell proliferation. We conclude that inhibition of glycolysis can represent a promising therapeutic strategy for cancer treatment and its efficiency is circadian dependent.

摘要

糖酵解速率高被认为是肿瘤进展的一个标志,它是由6-磷酸果糖-2-激酶/果糖-2,6-二磷酸酶3(PFKFB3)的过表达引起的。因此,我们分析了通过一种小分子()-1-(吡啶-4-基)-3-(喹啉-2-基)丙-2-烯-1-酮(PFK15)抑制PFKFB3来抑制肿瘤和内皮细胞代谢作为一种有前景的治疗方法的可能性。通过细胞毒性和增殖试验、流式细胞术和蛋白质印迹法分析了PFK15对人脐静脉内皮细胞(HUVEC)和人结肠腺癌细胞系DLD1的细胞增殖和凋亡的影响。结果表明,PFK15抑制了两种细胞类型的增殖,并通过降低Bcl-2/Bax比值诱导了凋亡。基于体外实验获得的结果,我们对植入DLD1细胞的免疫缺陷小鼠进行了一项研究。我们发现,早晨用PFK15治疗后肿瘤质量降低,但晚上治疗后没有降低,这表明潜在过程受昼夜节律控制。肿瘤大小的减小与细胞增殖标志物Ki-67的表达降低有关。我们得出结论,抑制糖酵解可能是一种有前景的癌症治疗策略,其疗效依赖于昼夜节律。

https://cdn.ncbi.nlm.nih.gov/pmc/blobs/3fbb/8122821/2f2fdaaf318e/ijms-22-04390-g001.jpg

文献AI研究员

20分钟写一篇综述,助力文献阅读效率提升50倍。

立即体验

用中文搜PubMed

大模型驱动的PubMed中文搜索引擎

马上搜索

文档翻译

学术文献翻译模型,支持多种主流文档格式。

立即体验