Suppr超能文献

脑营养不良性疾病神经心理学特征的神经基础:弥散张量成像的初步研究。

Neural substrates of neuropsychological profiles in dystrophynopathies: A pilot study of diffusion tractography imaging.

机构信息

Laboratory of Medical Physics and Magnetic Resonance, IRCCS Fondazione Stella Maris, Calambrone, Pisa, Italy.

Department of Developmental Neuroscience, IRCCS Stella Maris, Calambrone, Pisa, Italy.

出版信息

PLoS One. 2021 May 3;16(5):e0250420. doi: 10.1371/journal.pone.0250420. eCollection 2021.

Abstract

INTRODUCTION

Cognitive difficulties and neuropsychological alterations in Duchenne and Becker muscular dystrophy (DMD, BMD) boys are not yet sufficiently explored, although this topic could have a relevant impact, finding novel biomarkers of disease both at genetics and neuroimaging point of view. The current study aims to: 1) analyze the neuropsychological profile of a group of DMD and BMD boys without cognitive impairment with an assessment of their executive functions; 2) explore the structural connectivity in DMD, BMD, and age-matched controls focusing on cortico-subcortical tracts that connect frontal cortex, basal ganglia, and cerebellum via the thalamus; 3) explore possible correlations between altered structural connectivity and clinical neuropsychological measures.

MATERIALS AND METHODS

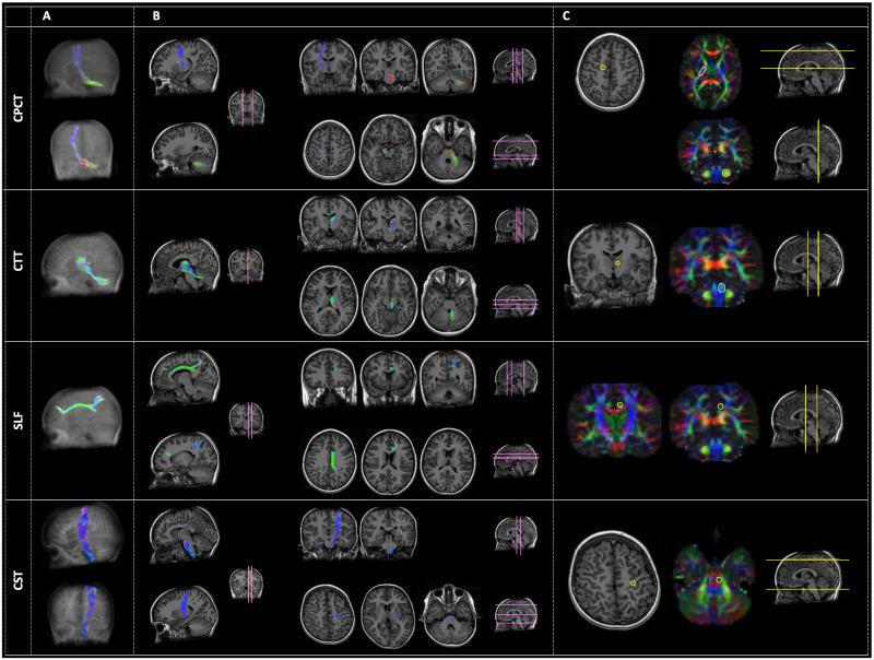
This pilot study included 15 boys (5 DMD subjects, 5 BMD subjects, and 5 age-matched typically developing, TD). They were assessed using a neuropsychological assessment protocol including cognitive and executive functioning assessment and performed a 1.5T MRI brain exam including advance Diffusion Weighted Imaging (DWI) method for tractography. Structural connectivity measurements were extracted along three specific tracts: Cortico-Ponto-Cerebellar Tract (CPCT), Cerebellar-Thalamic Tract (CTT), and Superior Longitudinal Fasciculus (SLF). Cortical-Spinal Tract (CST) was selected for reference, as control tract.

RESULTS

Regarding intellectual functioning, a major impairment in executive functions compared to the general intellectual functioning was observed both for DMD (mean score = 86.20; SD = 11.54) and for BMD children (mean score = 88; SD = 3.67). Mean FA resulted tendentially always lower in DMD compared to both BMD and TD groups for all the examined tracts. The differences in FA were statistically significant for the right CTT (DMD vs BMD, p = 0.002, and DMD vs TD, p = 0.0015) and the right CPCT (DMD vs TD, p = 0.008). Concerning DMD, significant correlations emerged between FA-R-CTT and intellectual quotients (FIQ, p = 0.044; ρs = 0.821), and executive functions (Denomination Total, p = 0.044, ρs = 0.821; Inhibition Total, p = 0.019, ρs = 0.900). BMD showed a significant correlation between FA-R-CPCT and working memory index (p = 0.007; ρs = 0.949).

DISCUSSION AND CONCLUSION

In this pilot study, despite the limitation of sample size, the findings support the hypothesis of the involvement of a cerebellar-thalamo-cortical loop for the neuropsychological profile of DMD, as the CTT and the CPCT are involved in the network and the related brain structures are known to be implied in executive functions. Our results suggest that altered WM connectivity and reduced fibre organization in cerebellar tracts, probably due to the lack of dystrophin in the brain, may render less efficient some neuropsychological functions in children affected by dystrophinopathies. The wider multicentric study could help to better establish the role of cerebellar connectivity in neuropsychological profile for dystrophinopathies, identifying possible novel diagnostic and prognostic biomarkers.

摘要

简介

尽管从遗传学和神经影像学的角度来看,这个话题都可能具有重要的影响,但是杜兴氏肌营养不良症(DMD)和贝克型肌营养不良症(BMD)男孩的认知障碍和神经心理学改变尚未得到充分探索。本研究旨在:1)分析一组无认知障碍的 DMD 和 BMD 男孩的神经心理学特征,并评估其执行功能;2)研究 DMD、BMD 和年龄匹配的对照组之间的结构连接,重点关注连接额叶皮层、基底节和小脑的皮质下皮质束、丘脑;3)探索改变的结构连通性与临床神经心理学测量之间的可能相关性。

材料和方法

这项初步研究纳入了 15 名男孩(5 名 DMD 受试者、5 名 BMD 受试者和 5 名年龄匹配的正常发育的 TD 受试者)。他们接受了神经心理学评估方案的评估,包括认知和执行功能评估,并进行了 1.5T MRI 脑检查,包括用于轨迹的高级弥散加权成像(DWI)方法。结构连通性测量是沿着三个特定的束提取的:皮质-桥脑-小脑束(CPCT)、小脑-丘脑束(CTT)和上纵束(SLF)。皮质脊髓束(CST)被选为参考束,作为对照束。

结果

关于智力功能,与一般智力功能相比,DMD(平均得分=86.20;标准差=11.54)和 BMD 儿童(平均得分=88;标准差=3.67)的执行功能都有明显的损害。与 BMD 和 TD 组相比,DMD 组在所有检查的束中,FA 均值都倾向于更低。FA 的差异在右侧 CTT(DMD 与 BMD,p=0.002,DMD 与 TD,p=0.0015)和右侧 CPCT(DMD 与 TD,p=0.008)方面具有统计学意义。对于 DMD,FA-R-CTT 与智力商数(FIQ,p=0.044;ρs=0.821)和执行功能(命名总分,p=0.044,ρs=0.821;抑制总分,p=0.019,ρs=0.900)之间存在显著相关性。BMD 显示 FA-R-CPCT 与工作记忆指数(p=0.007;ρs=0.949)之间存在显著相关性。

讨论和结论

在这项初步研究中,尽管样本量有限,但研究结果支持小脑-丘脑-皮质环路参与 DMD 神经心理学特征的假设,因为 CTT 和 CPCT 都参与了该网络,并且已知相关的大脑结构参与了执行功能。我们的结果表明,小脑束的 WM 连通性改变和纤维组织减少,可能是由于大脑中缺乏肌营养不良蛋白,可能使受肌营养不良蛋白病影响的儿童的一些神经心理学功能效率降低。更广泛的多中心研究可以帮助更好地确定小脑连接在肌营养不良症神经心理学特征中的作用,从而确定可能的新的诊断和预后生物标志物。

https://cdn.ncbi.nlm.nih.gov/pmc/blobs/2b70/8092766/f151e8b9943e/pone.0250420.g001.jpg

文献AI研究员

20分钟写一篇综述,助力文献阅读效率提升50倍。

立即体验

用中文搜PubMed

大模型驱动的PubMed中文搜索引擎

马上搜索

文档翻译

学术文献翻译模型,支持多种主流文档格式。

立即体验