Suppr超能文献

GC-376对K18 hACE2转基因小鼠模型中SARS-CoV-2病毒感染的疗效。

Efficacy of GC-376 against SARS-CoV-2 virus infection in the K18 hACE2 transgenic mouse model.

作者信息

Cáceres C Joaquín, Cardenas-Garcia Stivalis, Carnaccini Silvia, Seibert Brittany, Rajao Daniela S, Wang Jun, Perez Daniel R

机构信息

Department of Population Health, College of Veterinary Medicine, University of Georgia, Athens, GA, USA.

Tifton Diagnostic Laboratory, College of Veterinary Medicine, University of Georgia, Tifton, GA, USA.

出版信息

Sci Rep. 2021 May 5;11(1):9609. doi: 10.1038/s41598-021-89013-w.

Abstract

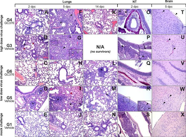
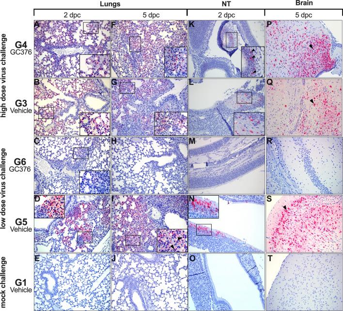
The COVID-19 pandemic caused by the Severe Acute Respiratory Syndrome Coronavirus-2 (SARS-CoV-2) is the defining global health emergency of this century. GC-376 is a M inhibitor with antiviral activity against SARS-CoV-2 in vitro. Using the K18-hACE2 mouse model, the in vivo antiviral efficacy of GC-376 against SARS-CoV-2 was evaluated. GC-376 treatment was not toxic in K18-hACE2 mice. Overall outcome of clinical symptoms and survival upon SARS-CoV-2 challenge were not improved in mice treated with GC-376 compared to controls. The treatment with GC-376 slightly improved survival from 0 to 20% in mice challenged with a high virus dose at 10 TCID50/mouse. Most notably, GC-376 treatment led to milder tissue lesions, reduced viral loads, fewer presence of viral antigen, and reduced inflammation in comparison to vehicle-treated controls in mice challenged with a low virus dose at 10 TCID50/mouse. This was particularly the case in the brain where a 5-log reduction in viral titers was observed in GC-376 treated mice compared to vehicle controls. This study supports the notion that GC-376 represents a promising lead candidate for further development to treat SARS-CoV-2 infection and that the K18-hACE2 mouse model is suitable to study antiviral therapies against SARS-CoV-2.

摘要

由严重急性呼吸综合征冠状病毒2(SARS-CoV-2)引起的2019冠状病毒病大流行是本世纪全球范围内的重大突发公共卫生事件。GC-376是一种M抑制剂,在体外具有抗SARS-CoV-2的抗病毒活性。利用K18-hACE2小鼠模型,评估了GC-376对SARS-CoV-2的体内抗病毒疗效。GC-376治疗对K18-hACE2小鼠无毒。与对照组相比,接受GC-376治疗的小鼠在感染SARS-CoV-2后的临床症状和存活率的总体结果并未得到改善。在用10个半数组织培养感染剂量(TCID50)/小鼠的高病毒剂量攻击的小鼠中,GC-376治疗使存活率从0%略微提高到20%。最值得注意的是,与用赋形剂处理的对照组相比,在用10个TCID50/小鼠的低病毒剂量攻击的小鼠中,GC-376治疗导致更轻微的组织损伤、病毒载量降低、病毒抗原存在减少以及炎症减轻。在大脑中尤其如此,与赋形剂对照组相比,在接受GC-376治疗的小鼠中观察到病毒滴度降低了5个对数。这项研究支持了这样一种观点,即GC-376是一种有前景的先导候选药物,可进一步开发用于治疗SARS-CoV-2感染,并且K18-hACE2小鼠模型适用于研究针对SARS-CoV-2的抗病毒疗法。

https://cdn.ncbi.nlm.nih.gov/pmc/blobs/6082/8100161/e812d1f133a6/41598_2021_89013_Fig1_HTML.jpg

文献AI研究员

20分钟写一篇综述,助力文献阅读效率提升50倍。

立即体验

用中文搜PubMed

大模型驱动的PubMed中文搜索引擎

马上搜索

文档翻译

学术文献翻译模型,支持多种主流文档格式。

立即体验