Suppr超能文献

双功能 iRGD-抗 CD3 通过促进肿瘤浸润和 T 细胞激活增强 T 细胞的抗肿瘤效力。

Bifunctional iRGD-anti-CD3 enhances antitumor potency of T cells by facilitating tumor infiltration and T-cell activation.

机构信息

The Comprehensive Cancer Centre of Drum Tower Hospital, Medical School of Nanjing University and Clinical Cancer Institute of Nanjing University, Nanjing, China.

The Comprehensive Cancer Centre of Drum Tower Hospital, Medical School of Nanjing University and Clinical Cancer Institute of Nanjing University, Nanjing, China

出版信息

J Immunother Cancer. 2021 May;9(5). doi: 10.1136/jitc-2020-001925.

Abstract

BACKGROUND

Poor infiltration and limited activation of transferred T cells are fundamental factors impeding the development of adoptive cell immunotherapy in solid tumors. A tumor-penetrating peptide iRGD has been widely used to deliver drugs deep into tumor tissues. CD3-targeting bispecific antibodies represent a promising immunotherapy which recruits and activates T cells.

METHODS

T-cell penetration was demonstrated in tumor spheroids using confocal microscope, and in xenografted tumors by histology and in vivo real-time fluorescence imaging. Activation and cytotoxicity of T cells were assessed by flow cytometry and confocal microscope. Bioluminescence imaging was used to evaluate in vivo antitumor effects, and transmission electron microscopy was used for mechanistic studies.

RESULTS

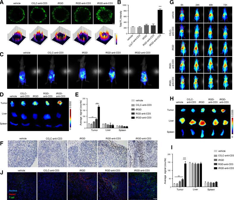
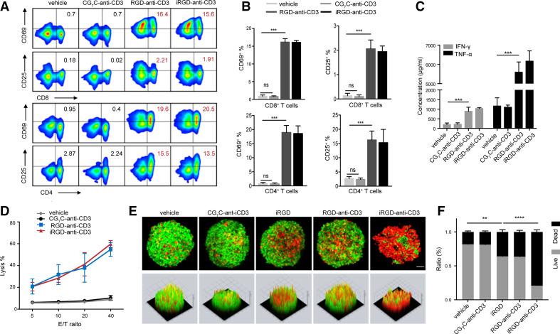
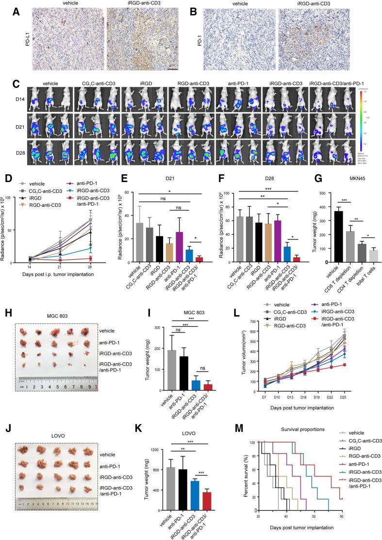
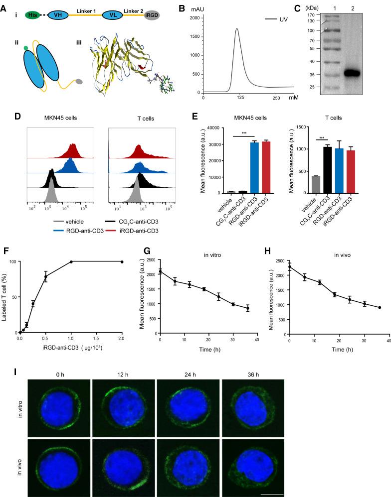
We generated a novel bifunctional agent iRGD-anti-CD3 which could immobilize iRGD on the surface of T cells through CD3 engaging. We found that iRGD-anti-CD3 modification not only facilitated T-cell infiltration in 3D tumor spheroids and xenografted tumor nodules but also induced T-cell activation and cytotoxicity against target cancer cells. T cells modified with iRGD-anti-CD3 significantly inhibited tumor growth and prolonged survival in several xenograft mouse models, which was further enhanced by the combination of programmed cell death protein 1 (PD-1) blockade. Mechanistic studies revealed that iRGD-anti-CD3 initiated a transport pathway called vesiculovacuolar organelles in the endothelial cytoplasm to promote T-cell extravasation.

CONCLUSION

Altogether, we show that iRGD-anti-CD3 modification is an innovative and bifunctional strategy to overcome major bottlenecks in adoptive cell therapy. Moreover, we demonstrate that combination with PD-1 blockade can further improve antitumor efficacy of iRGD-anti-CD3-modified T cells.

摘要

背景

转移 T 细胞的浸润不良和激活有限是阻碍实体瘤过继细胞免疫治疗发展的根本因素。肿瘤穿透肽 iRGD 已被广泛用于将药物递送至肿瘤组织深处。CD3 靶向双特异性抗体代表了一种有前途的免疫疗法,它可以募集和激活 T 细胞。

方法

使用共聚焦显微镜在肿瘤球体中证明 T 细胞的穿透性,并通过组织学和体内实时荧光成像在异种移植肿瘤中证明。通过流式细胞术和共聚焦显微镜评估 T 细胞的激活和细胞毒性。生物发光成像用于评估体内抗肿瘤作用,透射电子显微镜用于机制研究。

结果

我们生成了一种新型双功能试剂 iRGD-anti-CD3,它可以通过 CD3 结合将 iRGD 固定在 T 细胞表面。我们发现,iRGD-anti-CD3 修饰不仅促进了 3D 肿瘤球体和异种移植肿瘤结节中 T 细胞的浸润,而且还诱导了针对靶癌细胞的 T 细胞激活和细胞毒性。用 iRGD-anti-CD3 修饰的 T 细胞显著抑制了几种异种移植小鼠模型中的肿瘤生长并延长了存活时间,而与程序性细胞死亡蛋白 1 (PD-1) 阻断的联合使用则进一步增强了这种效果。机制研究表明,iRGD-anti-CD3 启动了一种称为内皮细胞质中囊泡空泡细胞器的转运途径,以促进 T 细胞外渗。

结论

总之,我们表明 iRGD-anti-CD3 修饰是克服过继细胞治疗主要瓶颈的一种创新的双功能策略。此外,我们证明与 PD-1 阻断的联合使用可以进一步提高 iRGD-anti-CD3 修饰的 T 细胞的抗肿瘤疗效。

https://cdn.ncbi.nlm.nih.gov/pmc/blobs/80a0/8126316/ef3cabc5c499/jitc-2020-001925f01.jpg

文献AI研究员

20分钟写一篇综述,助力文献阅读效率提升50倍。

立即体验

用中文搜PubMed

大模型驱动的PubMed中文搜索引擎

马上搜索

文档翻译

学术文献翻译模型,支持多种主流文档格式。

立即体验