Suppr超能文献

免疫治疗下转移性黑色素瘤患者的肉芽肿性结肠炎:病例报告及文献复习。

Granulomatous colitis in a patient with metastatic melanoma under immunotherapy: a case report and literature review.

机构信息

First Department of Pathology, Medical School, Laiko General Hospital, National and Kapodistrian University of Athens, 75, Mikras Asias street, 11527, Athens, Greece.

First Department of Internal Medicine, Laiko General Hospital School of Medicine, National and Kapodistrian University of Athens, Athens, Greece.

出版信息

BMC Gastroenterol. 2021 May 19;21(1):227. doi: 10.1186/s12876-021-01812-7.

Abstract

BACKGROUND

Immune checkpoint inhibitors (ICPIs) have changed the way advanced malignancies are currently confronted, improving cancer patients' outcomes but also generating distinct immune-related (ir) adverse events. ICPIs-induced colitis is a common complication showing different clinical and histological manifestations. In the literature review, 14 cases with ICPIs related colon granulomas have been reported in 5 studies with either limited or unavailable information regarding histology. Granulomatous reactions can be mistakenly perceived as disease recurrence or progression. Better understanding and identification of this infrequent histological display can help to avoid misdiagnosis and mismanagement.

CASE PRESENTATION

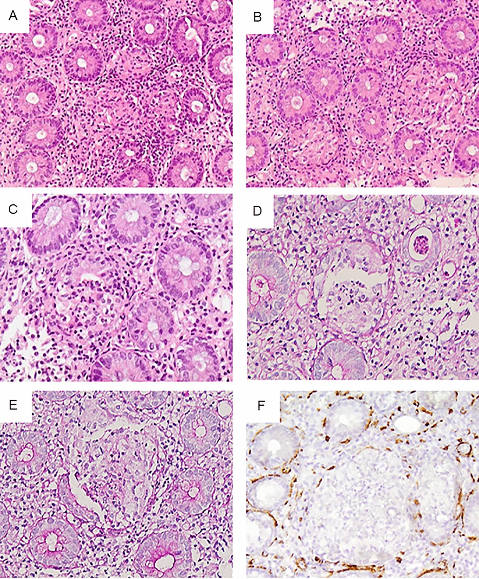
A 63-year-old female patient with metastatic melanoma was admitted to the hospital with symptoms of nausea, persistent diarrhea and shivering fever under consecutive treatments with ICPIs, initially pembrolizumab and subsequently ipilimumab. Sigmoidoscopy was performed revealing mucosal edema, hyperemia and erosions of the rectum and sigmoid colon. Histological evaluation of sigmoid colon mucosa biopsies revealed an unusual colitis pattern characterized by multiple intracryptal granulomas attributed to ICPIs therapy. Steroids were administered and the patient recovered. ICPIs treatment was discontinued. The patient was subsequently treated with chemotherapy but follow up radiology showed disease progression. A re-challenge with another ICPI regimen was decided and the patient is currently under immunotherapy with stable disease regarding melanoma status and without any sign of colitis recurrence.

CONCLUSIONS

The present report provides detailed histological description of a distinctive ICPIs-induced granulomatous colitis and highlights the need for awareness of the distinct adverse events and reaction patterns in the context of immunotherapy.

摘要

背景

免疫检查点抑制剂(ICPIs)改变了目前治疗晚期恶性肿瘤的方式,提高了癌症患者的预后,但也产生了不同的免疫相关(ir)不良事件。ICPIs 诱导的结肠炎是一种常见的并发症,表现出不同的临床和组织学表现。在文献综述中,有 5 项研究报道了 14 例与 ICPIs 相关的结肠肉芽肿病例,其中关于组织学的信息有限或无法获得。肉芽肿反应可能被误认为是疾病复发或进展。更好地理解和识别这种罕见的组织学表现有助于避免误诊和误治。

病例介绍

一名 63 岁女性转移性黑色素瘤患者,在连续接受 ICPIs 治疗(最初是 pembrolizumab,随后是 ipilimumab)后出现恶心、持续腹泻和寒战发热症状,因这些症状而入院。直肠镜检查显示直肠和乙状结肠黏膜水肿、充血和糜烂。乙状结肠黏膜活检的组织学评估显示出一种不寻常的结肠炎模式,其特征是多个隐窝内肉芽肿,归因于 ICPIs 治疗。给予皮质类固醇治疗后,患者康复。停止 ICPIs 治疗。随后对患者进行化疗,但后续影像学检查显示疾病进展。决定重新使用另一种 ICPI 方案进行治疗,目前患者正在接受免疫治疗,黑色素瘤状况稳定,没有任何结肠炎复发的迹象。

结论

本报告提供了一种独特的 ICPIs 诱导的肉芽肿性结肠炎的详细组织学描述,并强调了在免疫治疗背景下需要注意不同的不良反应和反应模式。

https://cdn.ncbi.nlm.nih.gov/pmc/blobs/de57/8136206/b8a6b523b359/12876_2021_1812_Fig1_HTML.jpg

文献AI研究员

20分钟写一篇综述,助力文献阅读效率提升50倍。

立即体验

用中文搜PubMed

大模型驱动的PubMed中文搜索引擎

马上搜索

文档翻译

学术文献翻译模型,支持多种主流文档格式。

立即体验