Suppr超能文献

上调的 PPARG2 促进与去甲基化的 AKAP12 基因启动子相互作用,并抑制前列腺癌的增殖。

Upregulated PPARG2 facilitates interaction with demethylated AKAP12 gene promoter and suppresses proliferation in prostate cancer.

机构信息

Department of Pathology, Key Laboratory of Microenvironment and Translational Cancer Research, Medical School of Nantong University, Nantong, 226001, Jiangsu, China.

Department of Laboratory Medicine, Affiliated Hospital of Nantong University, Nantong, 226001, Jiangsu, China.

出版信息

Cell Death Dis. 2021 May 22;12(6):528. doi: 10.1038/s41419-021-03820-7.

Abstract

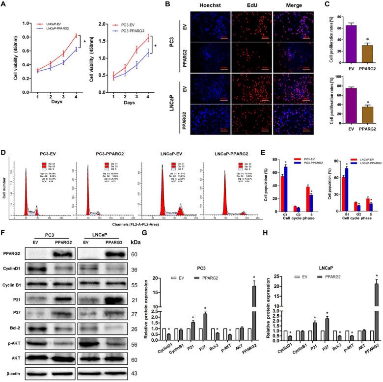
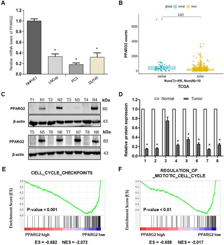
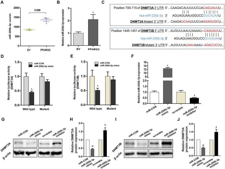
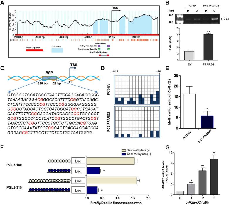
Prostate cancer (PCA) is one of the most common male genitourinary tumors. However, the molecular mechanisms involved in the occurrence and progression of PCA have not been fully clarified. The present study aimed to investigate the biological function and molecular mechanism of the nuclear receptor peroxisome proliferator-activated receptor gamma 2 (PPARG2) in PCA. Our results revealed that PPARG2 was downregulated in PCA, and overexpression of PPARG2 inhibited cell migration, colony formation, invasion and induced cell cycle arrest of PCA cells in vitro. In addition, PPARG2 overexpression modulated the activation of the Akt signaling pathway, as well as inhibited tumor growth in vivo. Moreover, mechanistic analysis revealed that PPARG2 overexpression induced increased expression level of miR-200b-3p, which targeted 3' UTR of the downstream targets DNMT3A/3B, and facilitated interaction with demethylated AKAP12 gene promoter and suppressed cell proliferation in PCA. Our findings provided the first evidence for a novel PPARG2-AKAP12 axis mediated epigenetic regulatory network. The study identified a molecular mechanism involving an epigenetic modification that could be possibly targeted as an antitumoral strategy against prostate cancer.

摘要

前列腺癌(PCA)是最常见的男性泌尿生殖系统肿瘤之一。然而,PCA 发生和发展的分子机制尚未完全阐明。本研究旨在探讨核受体过氧化物酶体增殖物激活受体γ 2(PPARG2)在 PCA 中的生物学功能和分子机制。我们的研究结果表明,PPARG2 在 PCA 中表达下调,过表达 PPARG2 可抑制 PCA 细胞的迁移、集落形成、侵袭,并诱导其细胞周期停滞。此外,过表达 PPARG2 可调节 Akt 信号通路的激活,并抑制体内肿瘤生长。此外,机制分析表明,过表达 PPARG2 可诱导 miR-200b-3p 的表达水平增加,miR-200b-3p 靶向下游靶基因 DNMT3A/3B 的 3'UTR,并促进与去甲基化的 AKAP12 基因启动子的相互作用,从而抑制 PCA 中的细胞增殖。我们的研究结果首次提供了一个新的 PPARG2-AKAP12 轴介导的表观遗传调控网络的证据。该研究确定了一种涉及表观遗传修饰的分子机制,该机制可能成为针对前列腺癌的抗肿瘤策略的靶点。

https://cdn.ncbi.nlm.nih.gov/pmc/blobs/ca48/8141057/5a1f17add72d/41419_2021_3820_Fig1_HTML.jpg

文献AI研究员

20分钟写一篇综述,助力文献阅读效率提升50倍。

立即体验

用中文搜PubMed

大模型驱动的PubMed中文搜索引擎

马上搜索

文档翻译

学术文献翻译模型,支持多种主流文档格式。

立即体验