Suppr超能文献

营养胁迫时,eIF2 激酶 GCN2 和 mTORC1 的调控失调。

Discordant regulation of eIF2 kinase GCN2 and mTORC1 during nutrient stress.

机构信息

Department of Biochemistry and Molecular Biology, Indiana University School of Medicine, Indianapolis, IN 46202 USA.

Department of Pharmacology and Toxicology, Indiana University School of Medicine, Indianapolis, IN 46202 USA.

出版信息

Nucleic Acids Res. 2021 Jun 4;49(10):5726-5742. doi: 10.1093/nar/gkab362.

Abstract

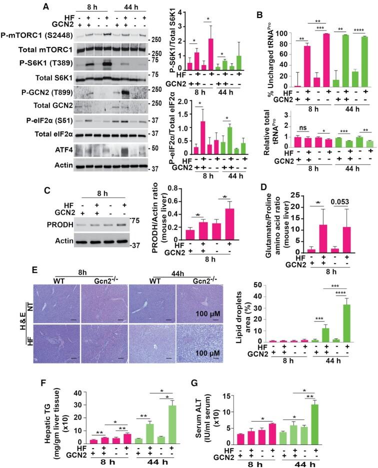
Appropriate regulation of the Integrated stress response (ISR) and mTORC1 signaling are central for cell adaptation to starvation for amino acids. Halofuginone (HF) is a potent inhibitor of aminoacylation of tRNAPro with broad biomedical applications. Here, we show that in addition to translational control directed by activation of the ISR by general control nonderepressible 2 (GCN2), HF increased free amino acids and directed translation of genes involved in protein biogenesis via sustained mTORC1 signaling. Deletion of GCN2 reduced cell survival to HF whereas pharmacological inhibition of mTORC1 afforded protection. HF treatment of mice synchronously activated the GCN2-mediated ISR and mTORC1 in liver whereas Gcn2-null mice allowed greater mTORC1 activation to HF, resulting in liver steatosis and cell death. We conclude that HF causes an amino acid imbalance that uniquely activates both GCN2 and mTORC1. Loss of GCN2 during HF creates a disconnect between metabolic state and need, triggering proteostasis collapse.

摘要

适当调节整体应激反应(ISR)和 mTORC1 信号通路对于细胞适应氨基酸饥饿至关重要。卤夫酮(HF)是一种强效的 tRNAPro 氨酰化抑制剂,具有广泛的生物医学应用。在这里,我们发现除了通过一般控制非阻遏 2(GCN2)激活 ISR 来进行翻译控制外,HF 还通过持续的 mTORC1 信号增加游离氨基酸,并指导参与蛋白质生物发生的基因的翻译。GCN2 的缺失减少了细胞对 HF 的存活,而 mTORC1 的药理学抑制则提供了保护。HF 处理的小鼠同步激活了肝脏中的 GCN2 介导的 ISR 和 mTORC1,而 Gcn2 缺失的小鼠允许更多的 mTORC1 激活 HF,导致肝脂肪变性和细胞死亡。我们的结论是,HF 导致氨基酸失衡,独特地激活 GCN2 和 mTORC1。HF 期间 GCN2 的缺失会在代谢状态和需求之间造成脱节,引发蛋白质稳态崩溃。

https://cdn.ncbi.nlm.nih.gov/pmc/blobs/d956/8191763/af4d32ff28ea/gkab362fig1.jpg

文献AI研究员

20分钟写一篇综述,助力文献阅读效率提升50倍。

立即体验

用中文搜PubMed

大模型驱动的PubMed中文搜索引擎

马上搜索

文档翻译

学术文献翻译模型,支持多种主流文档格式。

立即体验