Suppr超能文献

子宫内膜异位症大鼠模型中自噬和线粒体自噬的促进作用。

Autophagy and Mitophagy Promotion in a Rat Model of Endometriosis.

机构信息

Department of Chemical, Biological, Pharmaceutical and Environmental Sciences, University of Messina, 98166 Messina, Italy.

Department of Biomedical, Dental and Morphological and Functional Imaging, University of Messina, Via Consolare Valeria, 98125 Messina, Italy.

出版信息

Int J Mol Sci. 2021 May 11;22(10):5074. doi: 10.3390/ijms22105074.

Abstract

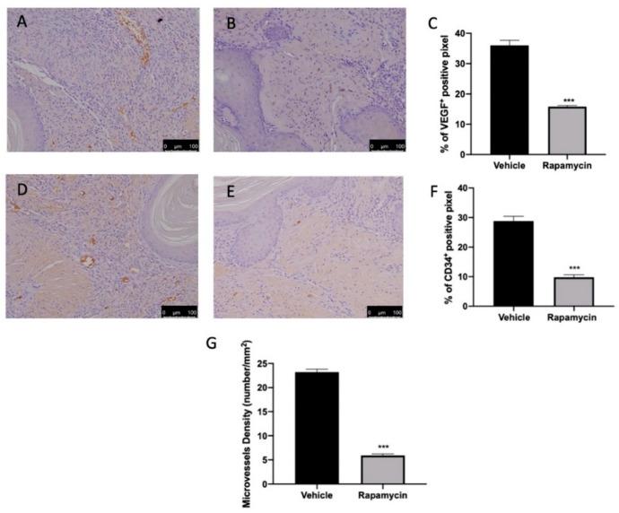
Endometriosis is a gynecological condition affecting patients in reproductive age. The aim of this paper was to assess the effects of the autophagy and mitophagy induction in a rat model of endometriosis. Endometriosis was induced by the injection of uterine fragments, and rapamycin (0. 5 mg/kg) was administered once per week. One week from the induction, rats were sacrificed, and laparotomy was performed to collect the endometriotic implants and to further process them for molecular analysis. Western blot analysis was conducted on explanted lesions to evaluate the autophagy pathway during the pathology. Elevated phospho-serine/threonine kinase (p-AKT) and mammalian target of rapamycin (mTOR) expressions were detected in vehicle-treated rats, while Beclin and microtubule-associated protein 1A/1B-light chain 3 II (LC3II) expressions were low. Additionally, samples collected from vehicle groups indicated low Bnip3, Ambra1, and Parkin expressions, demonstrating impaired autophagy and mitophagy. Rapamycin administration reduced p-AKT and mTOR expressions and increased Beclin and LC3II, Bnip3, Ambra1, and Parkin expressions, activating both mechanisms. We also evaluated the impact of the impaired autophagy and mitophagy pathways on apoptosis and angiogenesis. Rapamycin was administered by activating autophagy and mitophagy, which increased apoptosis (assessed by Western blot analysis of Bcl-2, Bax, and Cleaved-caspase 3) and reduced angiogenesis (assessed by immunohistochemical analysis of vascular endothelial grow factor (VEGF) and CD34) in the lesions. All of these mechanisms activated by the induction of the autophagy and mitophagy pathways led to the reduction in the lesions' volume, area and diameter.

摘要

子宫内膜异位症是一种影响育龄期患者的妇科疾病。本研究旨在评估自噬和线粒体自噬诱导在子宫内膜异位症大鼠模型中的作用。通过注射子宫碎片诱导子宫内膜异位症,每周给予雷帕霉素(0.5mg/kg)。诱导后一周,处死大鼠,剖腹收集子宫内膜异位病灶,并进一步进行分子分析。对离体病灶进行 Western blot 分析,评估发病过程中的自噬途径。在未治疗的大鼠中检测到磷酸丝氨酸/苏氨酸激酶(p-AKT)和雷帕霉素靶蛋白(mTOR)表达升高,而 Beclin 和微管相关蛋白 1A/1B-轻链 3 II(LC3II)表达降低。此外,来自未治疗组的样本表明 Bnip3、Ambra1 和 Parkin 表达降低,表明自噬和线粒体自噬受损。雷帕霉素治疗降低了 p-AKT 和 mTOR 的表达,增加了 Beclin 和 LC3II、Bnip3、Ambra1 和 Parkin 的表达,激活了这两种机制。我们还评估了受损的自噬和线粒体自噬途径对细胞凋亡和血管生成的影响。通过激活自噬和线粒体自噬,雷帕霉素增加了细胞凋亡(通过 Western blot 分析 Bcl-2、Bax 和 Cleaved-caspase 3 评估)并减少了血管生成(通过免疫组化分析血管内皮生长因子(VEGF)和 CD34 评估),导致病灶体积、面积和直径减小。自噬和线粒体自噬途径的诱导所激活的所有这些机制都导致了病灶体积、面积和直径的减小。

https://cdn.ncbi.nlm.nih.gov/pmc/blobs/3bfe/8150724/73770cf6b0c0/ijms-22-05074-g001.jpg

文献AI研究员

20分钟写一篇综述,助力文献阅读效率提升50倍。

立即体验

用中文搜PubMed

大模型驱动的PubMed中文搜索引擎

马上搜索

文档翻译

学术文献翻译模型,支持多种主流文档格式。

立即体验