Suppr超能文献

哪种毒性更强?毒死蜱和氯氰菊酯对鲤(Linnaeus 1758)特定生物标志物的短期毒性效应评估

Which Is More Toxic? Evaluation of the Short-Term Toxic Effects of Chlorpyrifos and Cypermethrin on Selected Biomarkers in Common Carp (, Linnaeus 1758).

作者信息

Georgieva Elenka, Yancheva Vesela, Stoyanova Stela, Velcheva Iliana, Iliev Ilia, Vasileva Tonka, Bivolarski Veselin, Petkova Eleonora, László Brigitta, Nyeste Krisztián, Antal László

机构信息

Department of Developmental Biology, Faculty of Biology, Plovdiv University, 4000 Plovdiv, Bulgaria.

Department of Ecology and Environmental Conservation, Faculty of Biology, Plovdiv University, 4000 Plovdiv, Bulgaria.

出版信息

Toxics. 2021 May 31;9(6):125. doi: 10.3390/toxics9060125.

Abstract

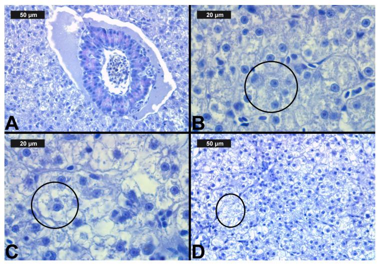
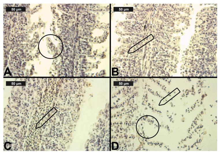
The general aim of this study was to investigate the negative short-term effects of different concentrations of chlorpyrifos (CPF) and cypermethrin (CYP), based on the EU legislation (MAC-EQS) in common carp ( Linnaeus, 1758) under laboratory conditions and to compare their toxicity. The fish were exposed to the pesticides for 96 h and then different histological and biochemical biomarkers were investigated in the gills and liver, and bioaccumulation analyses were conducted. The chemical studies showed increased pesticide concentrations in the gills as the first site for pollutants compared to the liver at the 96th hour. In addition, the histological analyses showed severe alterations in the gills and liver after exposure to both tested pesticides. In the gills, we found mainly intense proliferative and, to a lesser extent, degenerative changes and alterations in the circulatory system, such as necrosis and vasodilation. In the liver, regressive and progressive lesions, as well as circulatory disturbances and inflammation, were observed. The regressive lesions showed a higher degree of expression compared to the other changes. Furthermore, we found altered enzymatic activities-catalase, glutathione reductase, and glutathione peroxidase-in the liver, compared to the control. Overall, both tested pesticides impacted the studied biomarkers in common carp, even at concentrations lower than those permitted by law. However, the results of the comparative analysis showed a relatively higher toxicity of CYP compared to CPF in the fish. Still, questions persist as to whether the observed changes are adaptive or entirely destructive. To avoid any danger or risk, these pesticides must be applied cautiously, especially near water bodies.

摘要

本研究的总体目的是根据欧盟法规(MAC-EQS),在实验室条件下研究不同浓度的毒死蜱(CPF)和氯氰菊酯(CYP)对鲤鱼(Linnaeus,1758)的短期负面影响,并比较它们的毒性。将鱼暴露于农药96小时,然后研究鳃和肝脏中不同的组织学和生化生物标志物,并进行生物累积分析。化学研究表明,与肝脏相比,在第96小时时,鳃作为污染物的第一接触部位,农药浓度有所增加。此外,组织学分析表明,暴露于两种受试农药后,鳃和肝脏出现了严重变化。在鳃中,我们主要发现了强烈的增殖性变化,以及程度较轻的退行性变化和循环系统改变,如坏死和血管扩张。在肝脏中,观察到了退行性和进行性病变以及循环紊乱和炎症。与其他变化相比,退行性病变表现出更高程度的表达。此外,与对照组相比,我们发现肝脏中的过氧化氢酶、谷胱甘肽还原酶和谷胱甘肽过氧化物酶的酶活性发生了改变。总体而言,即使在低于法律允许浓度的情况下,两种受试农药也对鲤鱼体内研究的生物标志物产生了影响。然而,比较分析结果表明,在鱼类中,CYP的毒性相对高于CPF。尽管如此,关于观察到的变化是适应性的还是完全破坏性的问题仍然存在。为避免任何危险或风险,必须谨慎使用这些农药,尤其是在水体附近。

https://cdn.ncbi.nlm.nih.gov/pmc/blobs/d287/8229483/5b4009cb9692/toxics-09-00125-g001.jpg

文献AI研究员

20分钟写一篇综述,助力文献阅读效率提升50倍。

立即体验

用中文搜PubMed

大模型驱动的PubMed中文搜索引擎

马上搜索

文档翻译

学术文献翻译模型,支持多种主流文档格式。

立即体验