Suppr超能文献

非受体酪氨酸激酶SRMS通过磷酸化支架蛋白FKBP51来抑制自噬并促进肿瘤生长。

The nonreceptor tyrosine kinase SRMS inhibits autophagy and promotes tumor growth by phosphorylating the scaffolding protein FKBP51.

作者信息

Park Jung Mi, Yang Seung Wook, Zhuang Wei, Bera Asim K, Liu Yan, Gurbani Deepak, von Hoyningen-Huene Sergei J, Sakurada Sadie Miki, Gan Haiyun, Pruett-Miller Shondra M, Westover Kenneth D, Potts Malia B

机构信息

Department of Cell and Molecular Biology, St. Jude Children's Research Hospital, Memphis, Tennessee, United States of America.

Department of Oncology Research, Amgen Research, Thousand Oaks, California, United States of America.

出版信息

PLoS Biol. 2021 Jun 2;19(6):e3001281. doi: 10.1371/journal.pbio.3001281. eCollection 2021 Jun.

Abstract

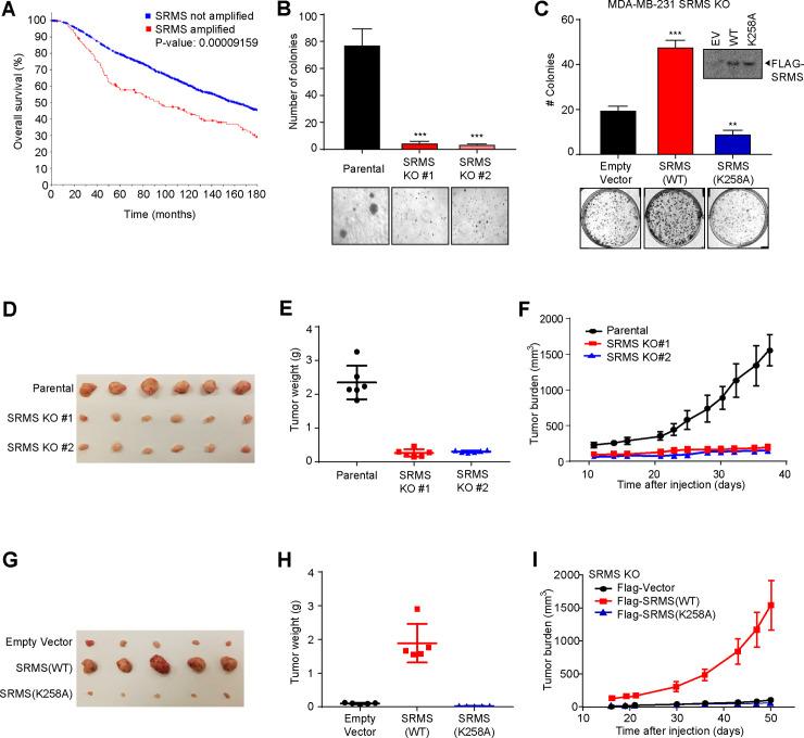
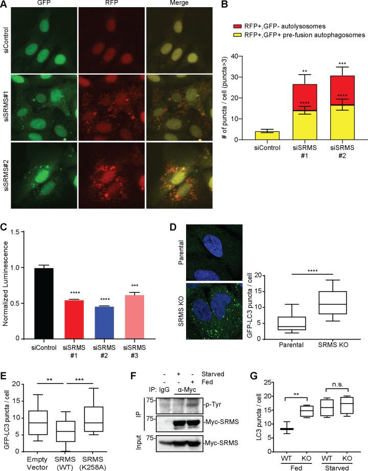
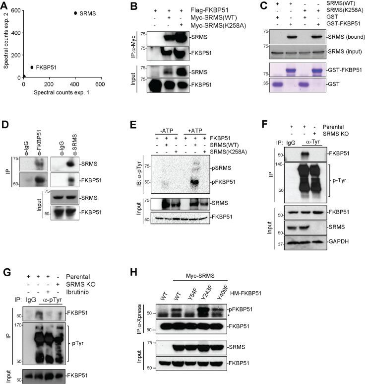
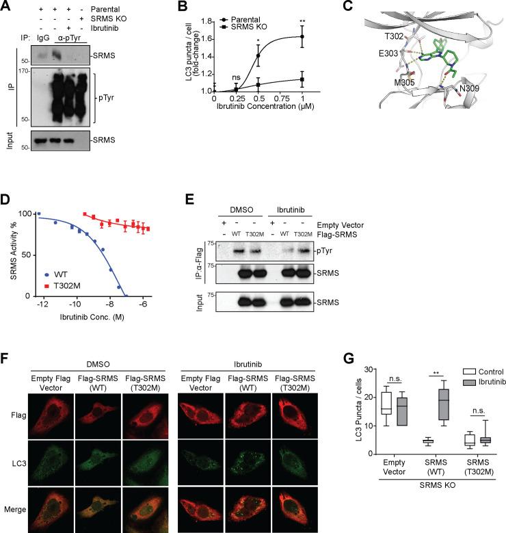
Nutrient-responsive protein kinases control the balance between anabolic growth and catabolic processes such as autophagy. Aberrant regulation of these kinases is a major cause of human disease. We report here that the vertebrate nonreceptor tyrosine kinase Src-related kinase lacking C-terminal regulatory tyrosine and N-terminal myristylation sites (SRMS) inhibits autophagy and promotes growth in a nutrient-responsive manner. Under nutrient-replete conditions, SRMS phosphorylates the PHLPP scaffold FK506-binding protein 51 (FKBP51), disrupts the FKBP51-PHLPP complex, and promotes FKBP51 degradation through the ubiquitin-proteasome pathway. This prevents PHLPP-mediated dephosphorylation of AKT, causing sustained AKT activation that promotes growth and inhibits autophagy. SRMS is amplified and overexpressed in human cancers where it drives unrestrained AKT signaling in a kinase-dependent manner. SRMS kinase inhibition activates autophagy, inhibits cancer growth, and can be accomplished using the FDA-approved tyrosine kinase inhibitor ibrutinib. This illuminates SRMS as a targetable vulnerability in human cancers and as a new target for pharmacological induction of autophagy in vertebrates.

摘要

营养响应蛋白激酶控制着合成代谢生长与分解代谢过程(如自噬)之间的平衡。这些激酶的异常调节是人类疾病的主要原因。我们在此报告,脊椎动物非受体酪氨酸激酶缺乏C端调节酪氨酸和N端肉豆蔻酰化位点的Src相关激酶(SRMS)以营养响应方式抑制自噬并促进生长。在营养充足的条件下,SRMS磷酸化PHLPP支架FK506结合蛋白51(FKBP51),破坏FKBP51-PHLPP复合物,并通过泛素-蛋白酶体途径促进FKBP51降解。这阻止了PHLPP介导的AKT去磷酸化,导致AKT持续激活,从而促进生长并抑制自噬。SRMS在人类癌症中扩增并过表达,在其中它以激酶依赖的方式驱动不受控制的AKT信号传导。SRMS激酶抑制可激活自噬、抑制癌症生长,并且可以使用FDA批准的酪氨酸激酶抑制剂依鲁替尼来实现。这阐明了SRMS是人类癌症中一个可靶向的弱点,也是脊椎动物中自噬药理学诱导的新靶点。

https://cdn.ncbi.nlm.nih.gov/pmc/blobs/fceb/8202955/eb108c5bd074/pbio.3001281.g001.jpg

文献AI研究员

20分钟写一篇综述,助力文献阅读效率提升50倍。

立即体验

用中文搜PubMed

大模型驱动的PubMed中文搜索引擎

马上搜索

文档翻译

学术文献翻译模型,支持多种主流文档格式。

立即体验